Suppr超能文献

IgG4 相关硬化性疾病,一种新兴实体:一种多系统疾病的综述。

IgG4-related sclerosing disease, an emerging entity: a review of a multi-system disease.

机构信息

Department of Pathology, The Methodist Hospital, Weill Medical College of Cornell University, Houston, TX 77030, USA.

出版信息

Yonsei Med J. 2012 Jan;53(1):15-34. doi: 10.3349/ymj.2012.53.1.15.

Abstract

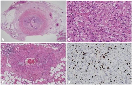
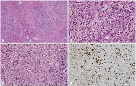
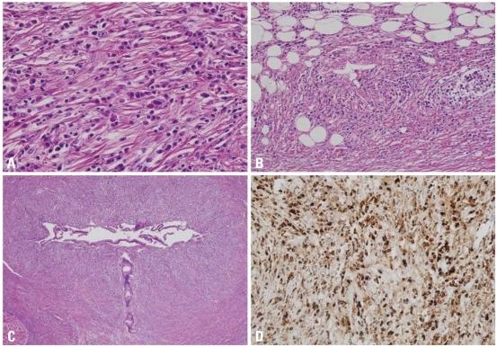
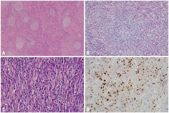
Immunoglobulin G4-related systemic disease (IgG4-RSD) is a recently defined emerging entity characterized by a diffuse or mass forming inflammatory reaction rich in IgG4-positive plasma cells associated with fibrosclerosis and obliterative phlebitis. IgG4-RSD usually affects middle aged and elderly patients, with a male predominance. It is associated with an elevated serum titer of IgG4, which acts as a marker for this recently characterized entity. The prototype is IgG4-related sclerosing pancreatitis or autoimmune pancreatitis (AIP). Other common sites of involvement are the hepatobiliary tract, salivary gland, orbit, and lymph node, however practically any organ can be involved, including upper aerodigestive tract, lung, aorta, mediastinum, retroperitoneum, soft tissue, skin, central nervous system, breast, kidney, and prostate. Fever or constitutional symptoms usually do not comprise part of the clinical picture. Laboratory findings detected include raised serum globulin, IgG and IgG4. An association with autoantibody detection (such as antinuclear antibodies and rheumatoid factor) is seen in some cases. Steroid therapy comprises the mainstay of treatment. Disease progression with involvement of multiple organ-sites may be encountered in a subset of cases and may follow a relapsing-remitting course. The principal histopathologic findings in several extranodal sites include lymphoplasmacytic infiltration, lymphoid follicle formation, sclerosis and obliterative phlebitis, along with atrophy and destruction of tissues. Immunohistochemical staining shows increased IgG4+ cells in the involved tissues (>50 per high-power field, with IgG4/IgG ratio >40%). IgG4-RSD may potentially be rarely associated with the development of lymphoma and carcinoma. However, the nature and pathogenesis of IgG4-RSD are yet to be fully elucidated and provide immense scope for further studies.

摘要

免疫球蛋白 G4 相关系统性疾病(IgG4-RSD)是一种新近定义的、新兴的疾病实体,其特征为富含 IgG4 阳性浆细胞的弥漫性或肿块样炎症反应,伴有纤维硬化和闭塞性静脉炎。IgG4-RSD 通常影响中老年患者,以男性为主。其血清 IgG4 滴度升高,可作为这种新特征性疾病实体的标志物。典型疾病是 IgG4 相关硬化性胰腺炎或自身免疫性胰腺炎(AIP)。其他常见受累部位包括肝胆道、唾液腺、眼眶和淋巴结,但实际上任何器官都可能受累,包括上呼吸道、肺、主动脉、纵隔、腹膜后、软组织、皮肤、中枢神经系统、乳腺、肾脏和前列腺。发热或全身症状通常不是其临床表现的一部分。检测到的实验室发现包括血清球蛋白、IgG 和 IgG4 升高。一些病例中可检测到自身抗体(如抗核抗体和类风湿因子)的存在。类固醇治疗是主要的治疗方法。在一部分病例中,可能会出现多器官受累的疾病进展,并可能呈现出缓解-复发的病程。在一些结外部位的主要组织病理学发现包括淋巴浆细胞浸润、淋巴滤泡形成、硬化和闭塞性静脉炎,以及组织萎缩和破坏。免疫组织化学染色显示受累组织中 IgG4+细胞增加(>50 个高倍视野,IgG4/IgG 比值>40%)。IgG4-RSD 可能与淋巴瘤和癌的发生有关,但关联程度尚不清楚。然而,IgG4-RSD 的性质和发病机制尚未完全阐明,为进一步研究提供了广阔的空间。

https://cdn.ncbi.nlm.nih.gov/pmc/blobs/f650/3250325/fdae9a824942/ymj-53-15-g001.jpg

文献AI研究员

20分钟写一篇综述,助力文献阅读效率提升50倍。

立即体验

用中文搜PubMed

大模型驱动的PubMed中文搜索引擎

马上搜索

文档翻译

学术文献翻译模型,支持多种主流文档格式。

立即体验