Suppr超能文献

TRBP 和 eIF6 同源物在日本对虾中发挥抗病毒反应的关键作用。

TRBP and eIF6 homologue in Marsupenaeus japonicus play crucial roles in antiviral response.

机构信息

The Key Laboratory of Plant Cell Engineering and Germplasm Innovation of Ministry of Education, School of Life Sciences, Shandong University, Jinan, Shandong, People's Republic of China.

出版信息

PLoS One. 2012;7(1):e30057. doi: 10.1371/journal.pone.0030057. Epub 2012 Jan 18.

Abstract

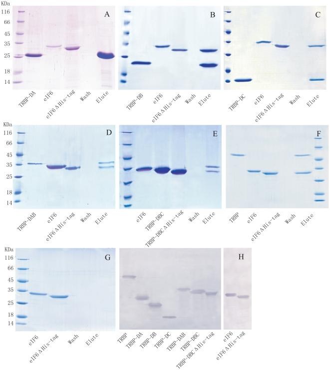
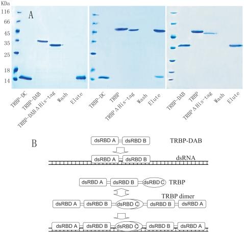
Plants and invertebrates can suppress viral infection through RNA silencing, mediated by RNA-induced silencing complex (RISC). Trans-activation response RNA-binding protein (TRBP), consisting of three double-stranded RNA-binding domains, is a component of the RISC. In our previous paper, a TRBP homologue in Fenneropenaeus chinensis (Fc-TRBP) was reported to directly bind to eukaryotic initiation factor 6 (Fc-eIF6). In this study, we further characterized the function of TRBP and the involvement of TRBP and eIF6 in antiviral RNA interference (RNAi) pathway of shrimp. The double-stranded RNA binding domains (dsRBDs) B and C of the TRBP from Marsupenaeus japonicus (Mj-TRBP) were found to mediate the interaction of TRBP and eIF6. Gel-shift assays revealed that the N-terminal of Mj-TRBP dsRBD strongly binds to double-stranded RNA (dsRNA) and that the homodimer of the TRBP mediated by the C-terminal dsRBD increases the affinity to dsRNA. RNAi against either Mj-TRBP or Mj-eIF6 impairs the dsRNA-induced sequence-specific RNAi pathway and facilitates the proliferation of white spot syndrome virus (WSSV). These results further proved the important roles of TRBP and eIF6 in the antiviral response of shrimp.

摘要

植物和无脊椎动物可以通过 RNA 沉默来抑制病毒感染,这是由 RNA 诱导沉默复合物(RISC)介导的。反式激活反应 RNA 结合蛋白(TRBP)由三个双链 RNA 结合域组成,是 RISC 的一个组成部分。在我们之前的论文中,报道了中国对虾(Fc-TRBP)中的 TRBP 同源物可直接与真核起始因子 6(Fc-eIF6)结合。在这项研究中,我们进一步研究了 TRBP 的功能以及 TRBP 和 eIF6 在虾抗病毒 RNA 干扰(RNAi)途径中的参与情况。发现日本沼虾(Mj-TRBP)TRBP 的双链 RNA 结合域(dsRBD)B 和 C 介导了 TRBP 和 eIF6 的相互作用。凝胶迁移分析显示,Mj-TRBP dsRBD 的 N 端强烈结合双链 RNA(dsRNA),而由 C 端 dsRBD 介导的 TRBP 同源二聚体增加了对 dsRNA 的亲和力。针对 Mj-TRBP 或 Mj-eIF6 的 RNAi 会损害 dsRNA 诱导的序列特异性 RNAi 途径,并促进白斑综合征病毒(WSSV)的增殖。这些结果进一步证明了 TRBP 和 eIF6 在虾抗病毒反应中的重要作用。

https://cdn.ncbi.nlm.nih.gov/pmc/blobs/ab9d/3261181/101d59fafce6/pone.0030057.g001.jpg

文献AI研究员

20分钟写一篇综述,助力文献阅读效率提升50倍。

立即体验

用中文搜PubMed

大模型驱动的PubMed中文搜索引擎

马上搜索

文档翻译

学术文献翻译模型,支持多种主流文档格式。

立即体验