Suppr超能文献

迭代同源预测揭示了新的线粒体蛋白,并确定 C12orf62 是 COX14 的人类同源物,COX14 蛋白参与细胞色素 c 氧化酶的组装。

Iterative orthology prediction uncovers new mitochondrial proteins and identifies C12orf62 as the human ortholog of COX14, a protein involved in the assembly of cytochrome c oxidase.

机构信息

Centre for Molecular and Biomolecular Informatics, Radboud University Nijmegen Medical Centre, Nijmegen, 6500 HB, The Netherlands.

出版信息

Genome Biol. 2012 Feb 22;13(2):R12. doi: 10.1186/gb-2012-13-2-r12.

Abstract

BACKGROUND

Orthology is a central tenet of comparative genomics and ortholog identification is instrumental to protein function prediction. Major advances have been made to determine orthology relations among a set of homologous proteins. However, they depend on the comparison of individual sequences and do not take into account divergent orthologs.

RESULTS

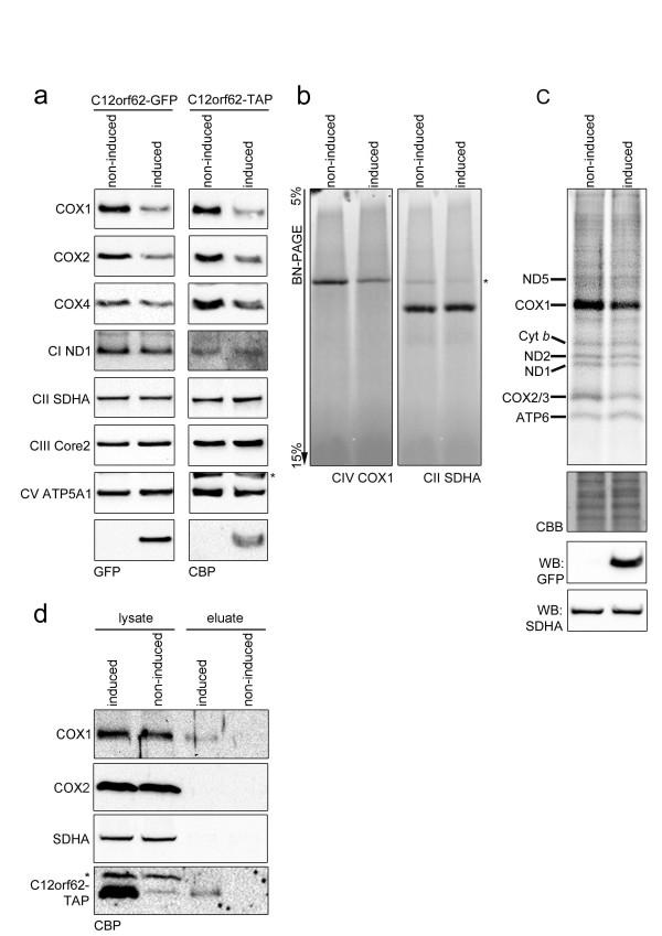
We have developed an iterative orthology prediction method, Ortho-Profile, that uses reciprocal best hits at the level of sequence profiles to infer orthology. It increases ortholog detection by 20% compared to sequence-to-sequence comparisons. Ortho-Profile predicts 598 human orthologs of mitochondrial proteins from Saccharomyces cerevisiae and Schizosaccharomyces pombe with 94% accuracy. Of these, 181 were not known to localize to mitochondria in mammals. Among the predictions of the Ortho-Profile method are 11 human cytochrome c oxidase (COX) assembly proteins that are implicated in mitochondrial function and disease. Their co-expression patterns, experimentally verified subcellular localization, and co-purification with human COX-associated proteins support these predictions. For the human gene C12orf62, the ortholog of S. cerevisiae COX14, we specifically confirm its role in negative regulation of the translation of cytochrome c oxidase.

CONCLUSIONS

Divergent homologs can often only be detected by comparing sequence profiles and profile-based hidden Markov models. The Ortho-Profile method takes advantage of these techniques in the quest for orthologs.

摘要

背景

同源性是比较基因组学的一个基本原理,而同源基因的鉴定对于蛋白质功能预测至关重要。目前已经取得了重大进展,以确定一组同源蛋白之间的同源关系。然而,这些方法依赖于对单个序列的比较,并未考虑到分化的同源基因。

结果

我们开发了一种迭代同源预测方法 Ortho-Profile,它使用序列轮廓的相互最佳匹配来推断同源性。与序列到序列的比较相比,它将同源基因的检测率提高了 20%。Ortho-Profile 准确预测了来自酿酒酵母和裂殖酵母的 598 个人线粒体蛋白的同源基因,准确率为 94%。其中,181 个在哺乳动物中不定位在线粒体中。Ortho-Profile 方法的预测结果包括 11 个人细胞色素 c 氧化酶(COX)组装蛋白,这些蛋白与线粒体功能和疾病有关。它们的共表达模式、实验验证的亚细胞定位以及与人类 COX 相关蛋白的共纯化支持了这些预测。对于 S. cerevisiae COX14 的同源基因 C12orf62,我们特别证实了它在负调控细胞色素 c 氧化酶翻译中的作用。

结论

分化的同源物通常只能通过比较序列轮廓和基于轮廓的隐马尔可夫模型来检测。Ortho-Profile 方法利用这些技术来寻找同源基因。

https://cdn.ncbi.nlm.nih.gov/pmc/blobs/89f0/3334569/b154bb4e8f0f/gb-2012-13-2-r12-1.jpg

文献AI研究员

20分钟写一篇综述,助力文献阅读效率提升50倍。

立即体验

用中文搜PubMed

大模型驱动的PubMed中文搜索引擎

马上搜索

文档翻译

学术文献翻译模型,支持多种主流文档格式。

立即体验