Suppr超能文献

利用化学加热装置进行等温扩增,用于即时检测 HIV-1。

Isothermal amplification using a chemical heating device for point-of-care detection of HIV-1.

机构信息

Laboratory Branch, Division of HIV/AIDS Prevention, National Center for HIV/AIDS, Hepatitis, STD, and TB Prevention, Centers for Disease Control and Prevention, Atlanta, Georgia, United States of America.

出版信息

PLoS One. 2012;7(2):e31432. doi: 10.1371/journal.pone.0031432. Epub 2012 Feb 23.

Abstract

BACKGROUND

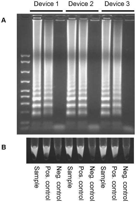
To date, the use of traditional nucleic acid amplification tests (NAAT) for detection of HIV-1 DNA or RNA has been restricted to laboratory settings due to time, equipment, and technical expertise requirements. The availability of a rapid NAAT with applicability for resource-limited or point-of-care (POC) settings would fill a great need in HIV diagnostics, allowing for timely diagnosis or confirmation of infection status, as well as facilitating the diagnosis of acute infection, screening and evaluation of infants born to HIV-infected mothers. Isothermal amplification methods, such as reverse-transcription, loop-mediated isothermal amplification (RT-LAMP), exhibit characteristics that are ideal for POC settings, since they are typically quicker, easier to perform, and allow for integration into low-tech, portable heating devices.

METHODOLOGY/SIGNIFICANT FINDINGS: In this study, we evaluated the HIV-1 RT-LAMP assay using portable, non-instrumented nucleic acid amplification (NINA) heating devices that generate heat from the exothermic reaction of calcium oxide and water. The NINA heating devices exhibited stable temperatures throughout the amplification reaction and consistent amplification results between three separate devices and a thermalcycler. The performance of the NINA heaters was validated using whole blood specimens from HIV-1 infected patients.

CONCLUSION

The RT-LAMP isothermal amplification method used in conjunction with a chemical heating device provides a portable, rapid and robust NAAT platform that has the potential to facilitate HIV-1 testing in resource-limited settings and POC.

摘要

背景

迄今为止,由于时间、设备和技术专业知识的要求,传统的核酸扩增检测(NAAT)用于检测 HIV-1 DNA 或 RNA 一直局限于实验室环境。如果有一种快速的 NAAT 适用于资源有限或即时检测(POC)环境,将极大地满足 HIV 诊断的需求,从而能够及时诊断或确认感染状态,并有助于诊断急性感染、对 HIV 感染母亲所生婴儿进行筛查和评估。等温扩增方法,如逆转录、环介导等温扩增(RT-LAMP),具有适用于 POC 环境的理想特性,因为它们通常更快、更容易操作,并允许整合到低技术、便携式加热设备中。

方法/显著发现:在这项研究中,我们使用便携式、非仪器化核酸扩增(NINA)加热设备评估了 HIV-1 RT-LAMP 检测,该设备通过氧化钙和水的放热反应产生热量。NINA 加热设备在整个扩增反应过程中表现出稳定的温度,并且在三个独立设备和热循环器之间具有一致的扩增结果。通过使用来自 HIV-1 感染患者的全血样本验证了 NINA 加热器的性能。

结论

与化学加热设备一起使用的 RT-LAMP 等温扩增方法提供了一种便携式、快速且强大的 NAAT 平台,有可能促进资源有限环境和 POC 中的 HIV-1 检测。

https://cdn.ncbi.nlm.nih.gov/pmc/blobs/34ff/3285652/00f701f37c85/pone.0031432.g001.jpg

文献AI研究员

20分钟写一篇综述,助力文献阅读效率提升50倍。

立即体验

用中文搜PubMed

大模型驱动的PubMed中文搜索引擎

马上搜索

文档翻译

学术文献翻译模型,支持多种主流文档格式。

立即体验