Suppr超能文献

ATP7A 基因突变导致 T1048I,引起不典型 Menkes 病。

The T1048I mutation in ATP7A gene causes an unusual Menkes disease presentation.

机构信息

Department of Biochemistry, National School of Biological Sciences, National Polytechnic Institute (IPN), Mexico City, 11340, Mexico.

出版信息

BMC Pediatr. 2012 Sep 19;12:150. doi: 10.1186/1471-2431-12-150.

Abstract

BACKGROUND

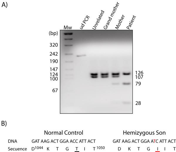
The ATP7A gene encodes the ATP7A protein, which is a trans-Golgi network copper transporter expressed in the brain and other organs. Mutations in this gene cause disorders of copper metabolism, such as Menkes disease. Here we describe the novel and unusual mutation (p.T1048I) in the ATP7A gene of a child with Menkes disease. The mutation affects a conserved DKTGT1048 phosphorylation motif that is involved in the catalytic activity of ATP7A. We also describe the clinical course and the response to copper treatment in this patient.

CASE PRESENTATION

An 11-month-old male Caucasian infant was studied because of hypotonia, ataxia and global developmental delay. The patient presented low levels of serum copper and ceruloplasmin, and was shown to be hemizygous for the p.T1048I mutation in ATP7A. The diagnosis was confirmed when the patient was 18 months old, and treatment with copper-histidinate (Cu-His) was started immediately. The patient showed some neurological improvement and he is currently 8 years old. Because the p.T1048I mutation affects its catalytic site, we expected a complete loss of functional ATP7A and a classical Menkes disease presentation. However, the clinical course of the patient was mild, and he responded to Cu-His treatment, which suggests that this mutation leads to partial conservation of the activity of ATP7A.

CONCLUSION

This case emphasizes the important correlation between genotype and phenotype in patients with Menkes disease. The prognosis in Menkes disease is associated with early detection, early initiation of treatment and with the preservation of some ATP7A activity, which is necessary for Cu-His treatment response. The description of this new mutation and the response of the patient to Cu-His treatment will contribute to the growing body of knowledge about treatment response in Menkes disease.

摘要

背景

ATP7A 基因编码 ATP7A 蛋白,该蛋白是一种在大脑和其他器官中表达的跨高尔基网络铜转运蛋白。该基因的突变会导致铜代谢紊乱,如 Menkes 病。在此,我们描述了 Menkes 病患儿 ATP7A 基因中的一种新的、不常见的突变(p.T1048I)。该突变影响参与 ATP7A 催化活性的保守 DKTGT1048 磷酸化模体。我们还描述了该患者的临床病程和对铜治疗的反应。

病例介绍

一名 11 月龄的白人男性婴儿因肌张力低下、共济失调和全面发育迟缓而接受研究。该患者血清铜和铜蓝蛋白水平较低,且 ATP7A 基因杂合子携带 p.T1048I 突变。18 个月大时确诊为该病,随后立即开始铜-组氨酸(Cu-His)治疗。该患者表现出一定程度的神经改善,目前 8 岁。由于 p.T1048I 突变影响其催化部位,我们预计会完全丧失功能性 ATP7A,呈现典型的 Menkes 病表现。然而,该患者的临床病程较轻,对 Cu-His 治疗有反应,这表明该突变导致 ATP7A 活性部分保留。

结论

该病例强调了 Menkes 病患者基因型与表型之间的重要相关性。Menkes 病的预后与早期发现、早期开始治疗以及部分保留 ATP7A 活性有关,后者是 Cu-His 治疗反应所必需的。该新突变的描述和患者对 Cu-His 治疗的反应将有助于丰富 Menkes 病治疗反应的知识体系。

https://cdn.ncbi.nlm.nih.gov/pmc/blobs/aa92/3489546/c98c680a6175/1471-2431-12-150-1.jpg

文献AI研究员

20分钟写一篇综述,助力文献阅读效率提升50倍。

立即体验

用中文搜PubMed

大模型驱动的PubMed中文搜索引擎

马上搜索

文档翻译

学术文献翻译模型,支持多种主流文档格式。

立即体验