Suppr超能文献

Epstein-Barr 病毒、人乳头瘤病毒和鼠乳腺瘤病毒作为乳腺癌中的多种病毒。

Epstein-Barr virus, human papillomavirus and mouse mammary tumour virus as multiple viruses in breast cancer.

机构信息

School of Biotechnology and Biomolecular Sciences, University of New South Wales, Sydney, Australia.

出版信息

PLoS One. 2012;7(11):e48788. doi: 10.1371/journal.pone.0048788. Epub 2012 Nov 19.

Abstract

BACKGROUND

The purpose of this investigation is to determine if Epstein Barr virus (EBV), high risk human papillomavirus (HPV), and mouse mammary tumour viruses (MMTV) co-exist in some breast cancers.

MATERIALS AND METHODS

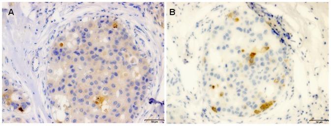
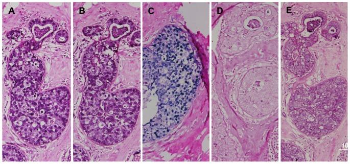
All the specimens were from women residing in Australia. For investigations based on standard PCR, we used fresh frozen DNA extracts from 50 unselected invasive breast cancers. For normal breast specimens, we used DNA extracts from epithelial cells from milk donated by 40 lactating women. For investigations based on in situ PCR we used 27 unselected archival formalin fixed breast cancer specimens and 18 unselected archival formalin fixed normal breast specimens from women who had breast reduction surgery. Thirteen of these fixed breast cancer specimens were ductal carcinoma in situ (dcis) and 14 were predominantly invasive ductal carcinomas (idc).

RESULTS

EBV sequences were identified in 68%, high risk HPV sequences in 50%, and MMTV sequences in 78% of DNA extracted from 50 invasive breast cancer specimens. These same viruses were identified in selected normal and breast cancer specimens by in situ PCR. Sequences from more than one viral type were identified in 72% of the same breast cancer specimens. Normal controls showed these viruses were also present in epithelial cells in human milk - EBV (35%), HPV, 20%) and MMTV (32%) of 40 milk samples from normal lactating women, with multiple viruses being identified in 13% of the same milk samples.

CONCLUSIONS

We conclude that (i) EBV, HPV and MMTV gene sequences are present and co-exist in many human breast cancers, (ii) the presence of these viruses in breast cancer is associated with young age of diagnosis and possibly an increased grade of breast cancer.

摘要

背景

本研究旨在确定 Epstein Barr 病毒(EBV)、高危型人乳头瘤病毒(HPV)和鼠乳腺肿瘤病毒(MMTV)是否存在于某些乳腺癌中。

材料和方法

所有标本均来自澳大利亚的女性。对于基于标准 PCR 的研究,我们使用了 50 例未经选择的浸润性乳腺癌的新鲜冷冻 DNA 提取物。对于正常乳腺标本,我们使用了 40 名哺乳期妇女捐献的乳汁中的上皮细胞的 DNA 提取物。对于基于原位 PCR 的研究,我们使用了 27 例未经选择的存档福尔马林固定的乳腺癌标本和 18 例来自行乳房缩小术的女性的存档福尔马林固定的正常乳腺标本。其中 13 例固定乳腺癌标本为导管原位癌(dcis),14 例为主要浸润性导管癌(idc)。

结果

从 50 例浸润性乳腺癌标本中提取的 DNA 中,68%鉴定出 EBV 序列,50%鉴定出高危型 HPV 序列,78%鉴定出 MMTV 序列。通过原位 PCR 在选定的正常和乳腺癌标本中也鉴定出了这些病毒。在 72%的相同乳腺癌标本中鉴定出了一种以上病毒类型的序列。正常对照组显示,这些病毒也存在于人乳中的上皮细胞中- EBV(35%)、HPV(20%)和 MMTV(32%),在相同的 40 份正常哺乳期妇女的乳汁样本中,有 13%的样本中发现了多种病毒。

结论

我们的结论是:(i)EBV、HPV 和 MMTV 基因序列存在于许多人类乳腺癌中,并共存;(ii)这些病毒在乳腺癌中的存在与诊断时的年轻年龄有关,并且可能与乳腺癌的分级增加有关。

https://cdn.ncbi.nlm.nih.gov/pmc/blobs/ba4a/3501510/20c9c8b7379a/pone.0048788.g001.jpg

文献AI研究员

20分钟写一篇综述,助力文献阅读效率提升50倍。

立即体验

用中文搜PubMed

大模型驱动的PubMed中文搜索引擎

马上搜索

文档翻译

学术文献翻译模型,支持多种主流文档格式。

立即体验