Suppr超能文献

Rab27a 效应因子 exophilin7 促进未与质膜对接的分泌颗粒融合。

The Rab27a effector exophilin7 promotes fusion of secretory granules that have not been docked to the plasma membrane.

机构信息

Department of Molecular Medicine, Institute for Molecular and Cellular Regulation, Gunma University, Maebashi 371-8512, Japan.

出版信息

Mol Biol Cell. 2013 Feb;24(3):319-30. doi: 10.1091/mbc.E12-04-0265. Epub 2012 Dec 5.

Abstract

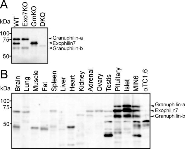
Granuphilin, an effector of the small GTPase Rab27a, mediates the stable attachment (docking) of insulin granules to the plasma membrane and inhibits subsequent fusion of docked granules, possibly through interaction with a fusion-inhibitory Munc18-1/syntaxin complex. However, phenotypes of insulin exocytosis differ considerably between Rab27a- and granuphilin-deficient pancreatic β cells, suggesting that other Rab27a effectors function in those cells. We found that one of the putative Rab27a effector family proteins, exophilin7/JFC1/Slp1, is expressed in β cells; however, unlike granuphilin, exophilin7 overexpressed in the β-cell line MIN6 failed to show granule-docking or fusion-inhibitory activity. Furthermore, exophilin7 has no affinities to either Munc18-1 or Munc18-1-interacting syntaxin-1a, in contrast to granuphilin. Although β cells of exophilin7-knockout mice show no apparent abnormalities in intracellular distribution or in ordinary glucose-induced exocytosis of insulin granules, they do show impaired fusion in response to some stronger stimuli, specifically from granules that have not been docked to the plasma membrane. Exophilin7 appears to mediate the fusion of undocked granules through the affinity of its C2A domain toward the plasma membrane phospholipids. These findings indicate that the two Rab27a effectors, granuphilin and exophilin7, differentially regulate the exocytosis of either stably or minimally docked granules, respectively.

摘要

颗粒结合蛋白,一种小 GTP 酶 Rab27a 的效应蛋白,介导胰岛素颗粒与质膜的稳定附着(对接),并抑制随后对接颗粒的融合,这可能是通过与融合抑制性 Munc18-1/syntaxin 复合物相互作用实现的。然而,Rab27a 缺陷和颗粒结合蛋白缺陷的胰腺β细胞之间的胰岛素分泌表型差异很大,这表明其他 Rab27a 效应物在这些细胞中发挥作用。我们发现,一种假定的 Rab27a 效应蛋白家族蛋白,外泌素 7/JFC1/Slp1,在β细胞中表达;然而,与颗粒结合蛋白不同,β细胞系 MIN6 中过度表达的外泌素 7 未能显示颗粒对接或融合抑制活性。此外,与颗粒结合蛋白不同,外泌素 7 与 Munc18-1 或 Munc18-1 相互作用的 syntaxin-1a 均无亲和力。尽管外泌素 7 敲除小鼠的β细胞在胰岛素颗粒的细胞内分布或普通葡萄糖诱导的胰岛素颗粒分泌方面没有明显异常,但它们确实显示出融合受损,特别是对那些尚未与质膜对接的颗粒。外泌素 7 似乎通过其 C2A 结构域与质膜磷脂的亲和力来介导未对接颗粒的融合。这些发现表明,两种 Rab27a 效应物,颗粒结合蛋白和外泌素 7,分别调节稳定或最小对接颗粒的分泌。

https://cdn.ncbi.nlm.nih.gov/pmc/blobs/7d02/3564536/25e46c98c702/319fig1.jpg

文献AI研究员

20分钟写一篇综述,助力文献阅读效率提升50倍。

立即体验

用中文搜PubMed

大模型驱动的PubMed中文搜索引擎

马上搜索

文档翻译

学术文献翻译模型,支持多种主流文档格式。

立即体验