Suppr超能文献

BRAF 突变型胃肠道间质瘤:BRAF 抑制剂达拉非尼(GSK2118436)治疗后肿瘤消退的首例报告及用于分析获得性耐药的全外显子测序

BRAF mutant gastrointestinal stromal tumor: first report of regression with BRAF inhibitor dabrafenib (GSK2118436) and whole exomic sequencing for analysis of acquired resistance.

作者信息

Falchook G S, Trent J C, Heinrich M C, Beadling C, Patterson J, Bastida C C, Blackman S C, Kurzrock R

机构信息

Department of Investigational Cancer Therapeutics (Phase I Clinical Trials Program), Division of Cancer Medicine, The University of Texas M.D. Anderson Cancer Center, Houston, Texas, USA.

出版信息

Oncotarget. 2013 Feb;4(2):310-5. doi: 10.18632/oncotarget.864.

Abstract

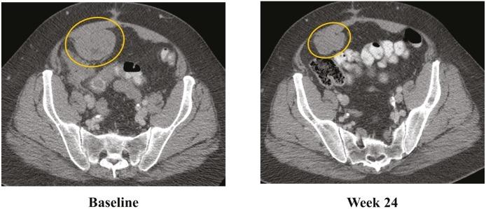
Activating oncogenic mutations of BRAF have been described in patients with gastrointestinal stromal tumor (GIST), but treatment of GIST with BRAF inhibitors and mechanisms of mediating the emergence of resistance in GIST have not been reported. Dabrafenib is a potent ATP-competitive inhibitor of BRAF kinase and is highly selective for mutant BRAF in kinase panel screening, cell lines, and xenografts. We report prolonged antitumor activity in the first patient with V600E BRAF-mutated GIST who was treated with a BRAF inhibitor. Whole exome sequencing performed in tumor tissue obtained at the time of progressive disease demonstrated a somatic gain-of-function PIK3CA mutation (H1047R) as well as a CDKN2A aberration, which may have contributed to eventual resistance to treatment.

摘要

胃肠道间质瘤(GIST)患者中已发现BRAF的致癌激活突变,但BRAF抑制剂治疗GIST及其介导GIST耐药出现的机制尚未见报道。达拉非尼是一种有效的BRAF激酶ATP竞争性抑制剂,在激酶组筛选、细胞系和异种移植中对突变型BRAF具有高度选择性。我们报告了首例接受BRAF抑制剂治疗的V600E BRAF突变型GIST患者的长期抗肿瘤活性。在疾病进展时获取的肿瘤组织中进行的全外显子测序显示存在体细胞功能获得性PIK3CA突变(H1047R)以及CDKN2A异常,这可能导致了最终的治疗耐药。

https://cdn.ncbi.nlm.nih.gov/pmc/blobs/84d1/3712576/0e6d66181918/oncotarget-04-310-g001.jpg

文献AI研究员

20分钟写一篇综述,助力文献阅读效率提升50倍。

立即体验

用中文搜PubMed

大模型驱动的PubMed中文搜索引擎

马上搜索

文档翻译

学术文献翻译模型,支持多种主流文档格式。

立即体验