Suppr超能文献

脂质组学和质谱法对小鼠十二指肠在脂质消化过程中脂肪的时空成像。

Lipidomic and spatio-temporal imaging of fat by mass spectrometry in mice duodenum during lipid digestion.

机构信息

Centre de Recherche de Gif, Institut de Chimie des Substances Naturelles, Centre National de la Recherche Scientifique (CNRS), Gif-sur-Yvette, France.

出版信息

PLoS One. 2013;8(4):e58224. doi: 10.1371/journal.pone.0058224. Epub 2013 Apr 3.

Abstract

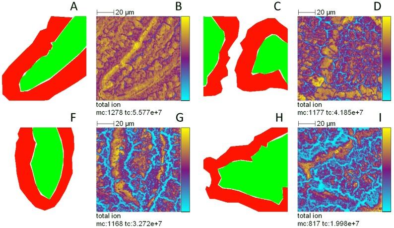
Intestinal absorption of dietary fat is a complex process mediated by enterocytes leading to lipid assembly and secretion of circulating lipoproteins as chylomicrons, vLDL and intestinal HDL (iHDL). Understanding lipid digestion is of importance knowing the correlation between excessive fat absorption and atherosclerosis. By using time-of-flight secondary ion mass spectrometry (TOF-SIMS), we illustrated a spatio-temporal localization of fat in mice duodenum, at different times of digestion after a lipid gavage, for the first time. Fatty acids progressively increased in enterocytes as well as taurocholic acid, secreted by bile and engaged in the entero-hepatic re-absorption cycle. Cytosolic lipid droplets (CLD) from enterocytes were originally purified separating chylomicron-like, intermediate droplets and smaller HDL-like. A lipidomic quantification revealed their contents in triglycerides, free and esterified cholesterol, phosphatidylcholine, sphingomyelin and ceramides but also in free fatty acids, mono- and di-acylglycerols. An acyl-transferase activity was identified and the enzyme monoacylglycerol acyl transferase 2 (MGAT2) was immunodetected in all CLD. The largest droplets was also shown to contain the microsomal triglyceride transfer protein (MTTP), the acyl-coenzyme A-cholesterol acyltransferases (ACAT) 1 and 2, hormone sensitive lipase (HSL) and adipose triglyceride lipase (ATGL). This highlights the fact that during the digestion of fats, enterocyte CLD contain some enzymes involved in the different stages of the metabolism of diet fatty acids and cholesterol, in anticipation of the crucial work of endoplasmic reticulum in the process. The data further underlines the dual role of chylomicrons and iHDL in fat digestion which should help to efficiently complement lipid-lowering therapy.

摘要

肠道对膳食脂肪的吸收是一个复杂的过程,它由肠细胞介导,导致脂质组装和循环脂蛋白的分泌,如乳糜微粒、VLDL 和肠 HDL(iHDL)。了解脂质消化对于理解过量脂肪吸收与动脉粥样硬化之间的相关性非常重要。本研究利用飞行时间二次离子质谱(TOF-SIMS),首次在时间和空间上对喂食脂质后不同消化时间的小鼠十二指肠中的脂肪进行了定位。脂肪酸逐渐在肠细胞中积累,而胆酸钠作为胆汁的分泌成分,参与肠肝再吸收循环。肠细胞中的胞质脂滴(CLD)最初通过分离乳糜微粒样、中间大小的液滴和较小的 HDL 样液滴来进行纯化。脂质组学定量分析显示,它们的成分包括甘油三酯、游离和酯化胆固醇、磷脂酰胆碱、鞘磷脂和神经酰胺,以及游离脂肪酸、单酰基和二酰基甘油。鉴定出一种酰基转移酶活性,并且在所有 CLD 中均检测到单酰基甘油酰基转移酶 2(MGAT2)。最大的液滴还含有微粒体甘油三酯转移蛋白(MTTP)、酰基辅酶 A-胆固醇酰基转移酶 1 和 2(ACAT1 和 ACAT2)、激素敏感脂肪酶(HSL)和脂肪甘油三酯脂肪酶(ATGL)。这表明,在脂肪消化过程中,肠细胞 CLD 包含一些参与膳食脂肪酸和胆固醇代谢不同阶段的酶,为内质网在该过程中的关键作用做好准备。这些数据进一步强调了乳糜微粒和 iHDL 在脂肪消化中的双重作用,这有助于有效补充降脂治疗。

https://cdn.ncbi.nlm.nih.gov/pmc/blobs/06f5/3616127/6d876d29ea84/pone.0058224.g001.jpg

文献AI研究员

20分钟写一篇综述,助力文献阅读效率提升50倍。

立即体验

用中文搜PubMed

大模型驱动的PubMed中文搜索引擎

马上搜索

文档翻译

学术文献翻译模型,支持多种主流文档格式。

立即体验