Suppr超能文献

心血管磁共振标准化图像解读和后处理:心血管磁共振学会(SCMR)董事会后处理标准化工作组。

Standardized image interpretation and post processing in cardiovascular magnetic resonance: Society for Cardiovascular Magnetic Resonance (SCMR) board of trustees task force on standardized post processing.

机构信息

Working Group on Cardiovascular Magnetic Resonance, Experimental and Clinical Research Center, a joint cooperation between the Charité Medical Faculty and the Max-Delbrueck Center for Molecular Medicine, and HELIOS Klinikum Berlin Buch, Department of Cardiology and Nephrology, Charité Medical University Berlin, Berlin, Germany.

出版信息

J Cardiovasc Magn Reson. 2013 May 1;15(1):35. doi: 10.1186/1532-429X-15-35.

Abstract

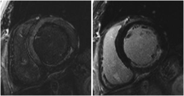
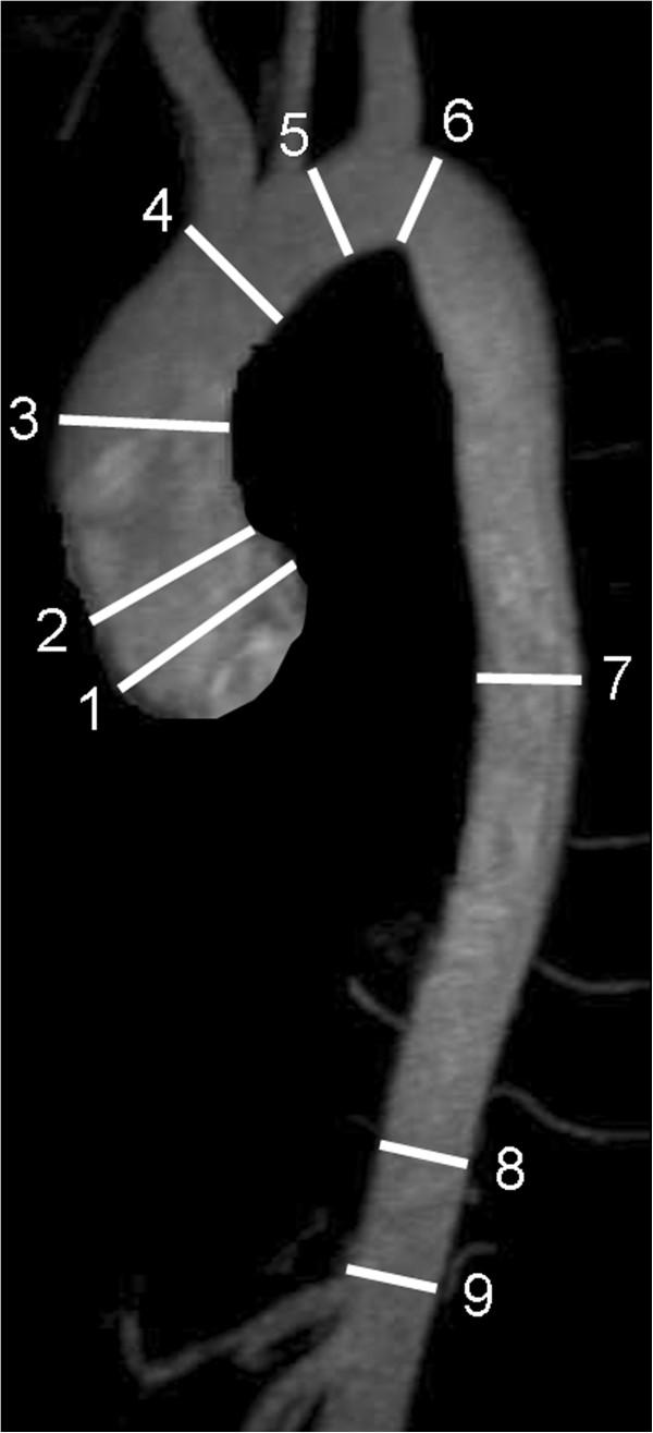
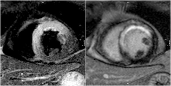
With mounting data on its accuracy and prognostic value, cardiovascular magnetic resonance (CMR) is becoming an increasingly important diagnostic tool with growing utility in clinical routine. Given its versatility and wide range of quantitative parameters, however, agreement on specific standards for the interpretation and post-processing of CMR studies is required to ensure consistent quality and reproducibility of CMR reports. This document addresses this need by providing consensus recommendations developed by the Task Force for Post Processing of the Society for Cardiovascular MR (SCMR). The aim of the task force is to recommend requirements and standards for image interpretation and post processing enabling qualitative and quantitative evaluation of CMR images. Furthermore, pitfalls of CMR image analysis are discussed where appropriate.

摘要

随着心血管磁共振(CMR)在准确性和预后价值方面的数据不断增加,它正成为一种越来越重要的诊断工具,在临床常规中得到了越来越多的应用。然而,鉴于其多功能性和广泛的定量参数,需要就 CMR 研究的解释和后处理的具体标准达成一致意见,以确保 CMR 报告的质量和可重复性一致。本文件通过提供由心血管磁共振学会(SCMR)后处理工作组制定的共识建议来满足这一需求。该工作组的目的是建议图像解释和后处理的要求和标准,以实现 CMR 图像的定性和定量评估。此外,还在适当的地方讨论了 CMR 图像分析的陷阱。

https://cdn.ncbi.nlm.nih.gov/pmc/blobs/979c/3695769/c566c7061b6c/1532-429X-15-35-1.jpg

文献AI研究员

20分钟写一篇综述,助力文献阅读效率提升50倍。

立即体验

用中文搜PubMed

大模型驱动的PubMed中文搜索引擎

马上搜索

文档翻译

学术文献翻译模型,支持多种主流文档格式。

立即体验