Suppr超能文献

原发性乳腺癌中的癌睾丸抗原和 NY-BR-1 表达:预后和治疗意义。

Cancer testis antigens and NY-BR-1 expression in primary breast cancer: prognostic and therapeutic implications.

机构信息

Department of Obstetrics and Gynecology, University Hospital Freiburg, Freiburg 79106, Germany.

出版信息

BMC Cancer. 2013 Jun 3;13:271. doi: 10.1186/1471-2407-13-271.

Abstract

BACKGROUND

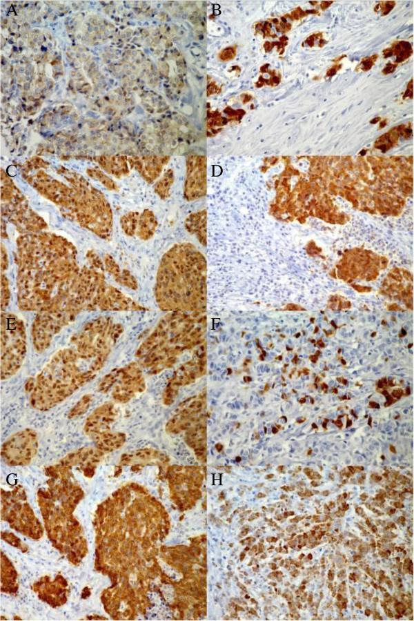
Cancer-testis antigens (CTA) comprise a family of proteins, which are physiologically expressed in adult human tissues solely in testicular germ cells and occasionally placenta. However, CTA expression has been reported in various malignancies. CTAs have been identified by their ability to elicit autologous cellular and or serological immune responses, and are considered potential targets for cancer immunotherapy. The breast differentiation antigen NY-BR-1, expressed specifically in normal and malignant breast tissue, has also immunogenic properties. Here we evaluated the expression patterns of CTAs and NY-BR-1 in breast cancer in correlation to clinico-pathological parameters in order to determine their possible impact as prognostic factors.

METHODS

The reactivity pattern of various mAbs (6C1, MA454, M3H67, 57B, E978, GAGE #26 and NY-BR-1 #5) were assessed by immunohistochemistry in a tissue micro array series of 210 randomly selected primary invasive breast cancers in order to study the diversity of different CTAs (e.g. MAGE-A, NY-ESO-1, GAGE) and NY-BR-1. These expression data were correlated to clinico-pathological parameters and outcome data including disease-free and overall survival.

RESULTS

Expression of at least one CTA was detectable in the cytoplasm of tumor cells in 37.2% of the cases. NY-BR-1 expression was found in 46.6% of tumors, respectively. Overall, CTA expression seemed to be linked to adverse prognosis and M3H67 immunoreactivity specifically was significantly correlated to shorter overall and disease-free survival (p=0.000 and 0.024, respectively).

CONCLUSIONS

Our findings suggest that M3H67 immunoreactivity could serve as potential prognostic marker in primary breast cancer patients. The exclusive expression of CTAs in tumor tissues as well as the frequent expression of NY-BR-1 could define new targets for specific breast cancer therapies.

摘要

背景

癌症睾丸抗原(CTA)是一组蛋白质,它们在成人组织中仅在睾丸生殖细胞中生理表达,偶尔在胎盘组织中表达。然而,已经报道了 CTA 在各种恶性肿瘤中的表达。CTA 被其诱导自体细胞和/或血清免疫反应的能力所识别,并被认为是癌症免疫治疗的潜在靶点。在正常和恶性乳腺组织中特异性表达的乳腺分化抗原 NY-BR-1 也具有免疫原性。在这里,我们评估了 CTA 和 NY-BR-1 在乳腺癌中的表达模式与临床病理参数的相关性,以确定它们作为预后因素的可能影响。

方法

在 210 例随机选择的原发性浸润性乳腺癌组织微阵列系列中,通过免疫组织化学评估了各种 mAb(6C1、MA454、M3H67、57B、E978、GAGE #26 和 NY-BR-1 #5)的反应模式,以研究不同 CTA(如 MAGE-A、NY-ESO-1、GAGE)和 NY-BR-1 的多样性。这些表达数据与临床病理参数和预后数据(包括无病生存和总生存)相关联。

结果

在 37.2%的病例中,肿瘤细胞的细胞质中可检测到至少一种 CTA 的表达。NY-BR-1 的表达在 46.6%的肿瘤中被发现。总体而言,CTA 表达似乎与不良预后相关,而 M3H67 免疫反应性与总生存和无病生存时间较短显著相关(p=0.000 和 0.024)。

结论

我们的研究结果表明,M3H67 免疫反应性可作为原发性乳腺癌患者的潜在预后标志物。CTA 仅在肿瘤组织中表达以及 NY-BR-1 的频繁表达可以为特定的乳腺癌治疗定义新的靶点。

https://cdn.ncbi.nlm.nih.gov/pmc/blobs/474b/3700769/7dfe8d250529/1471-2407-13-271-1.jpg

文献AI研究员

20分钟写一篇综述,助力文献阅读效率提升50倍。

立即体验

用中文搜PubMed

大模型驱动的PubMed中文搜索引擎

马上搜索

文档翻译

学术文献翻译模型,支持多种主流文档格式。

立即体验