Suppr超能文献

SMAD4 表达与异型增生的组织学分级相结合是预测口腔白斑恶变的更好指标。

The combination of SMAD4 expression and histological grade of dysplasia is a better predictor for the malignant transformation of oral leukoplakia.

机构信息

Department of Oral Pathology, 9th People's Hospital, Shanghai Jiao Tong University, School of Medicine, Shanghai Key Laboratory of Stomatology, Shanghai, China.

出版信息

PLoS One. 2013 Jun 24;8(6):e66794. doi: 10.1371/journal.pone.0066794. Print 2013.

Abstract

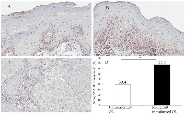
Oral leukoplakia (OL) is the most common premalignancy in the oral cavity and can progress to oral squamous cell carcinoma (OSCC). SMAD4 is a tumor suppressor implicated in multiple cancer types including OSCC. To assess the role of SMAD4 in oral leukoplakia malignant transformation, the authors investigated SMAD4 expression patterns in OL and OSCC using a highly specific antibody and correlated the patterns with the risk of malignant transformation oral leukoplakia. Immunohistochemistry and a quantitative imaging system were used to measure SMAD4 expression in OL from 88 OL patients, including 22 who later went through malignant transformation, and their OSCC counterpart. Forty-three (48.9%) of the 88 OL patients had strong SMAD4 expression. SMAD4 expression had no significant correlation with patients' clinicopathological parameters. Interestingly, 17 (39.5%) of the 43 OL lesions with strong SMAD4 expression went through malignant transformation whereas only 5 (11.1%) of the 45 OL lesions with weak SMAD4 expression did so (p = 0.002). The SMAD4 expression in OL was much higher than that in their OSCC counterpart. Kaplan-Meier analysis revealed that the combination of SMAD4 expression and histological grade of dysplasia (p = 0.007) is a better predictor for the malignant transformation of oral leukoplakia. In the multivariate analysis, both SMAD4 expression and grade of dysplasia were identified as independent factors for OL malignant transformation risk (p = 0.013 and 0.021, respectively). It was concluded that high SMAD4 expression may be indicative of an early carcinogenic process in OL and serve as an independent biomarker in assessing malignant transformation risk in patients with OL, and the combination of SMAD4 expression and histological grade of dysplasia is a better predictor for the malignant transformation of oral leukoplakia.

摘要

口腔白斑病(OL)是口腔最常见的癌前病变,可进展为口腔鳞状细胞癌(OSCC)。SMAD4 是一种肿瘤抑制因子,涉及多种癌症类型,包括 OSCC。为了评估 SMAD4 在口腔白斑病恶性转化中的作用,作者使用高度特异性抗体研究了 OL 和 OSCC 中 SMAD4 的表达模式,并将这些模式与口腔白斑病恶性转化的风险相关联。免疫组织化学和定量成像系统用于测量 88 例 OL 患者(其中 22 例后来发生恶性转化)及其 OSCC 对应物中 SMAD4 的表达。88 例 OL 患者中有 43 例(48.9%)SMAD4 表达较强。SMAD4 表达与患者的临床病理参数无显著相关性。有趣的是,在 43 例 SMAD4 表达较强的 OL 病变中有 17 例(39.5%)发生恶性转化,而在 45 例 SMAD4 表达较弱的 OL 病变中仅有 5 例(11.1%)发生恶性转化(p=0.002)。OL 中的 SMAD4 表达明显高于其 OSCC 对应物。Kaplan-Meier 分析显示,SMAD4 表达与组织学异型增生程度的组合(p=0.007)是预测口腔白斑病恶性转化的更好指标。在多变量分析中,SMAD4 表达和异型增生程度均被确定为 OL 恶性转化风险的独立因素(p=0.013 和 0.021)。研究结论为,SMAD4 高表达可能表明 OL 中存在早期致癌过程,并作为评估 OL 患者恶性转化风险的独立生物标志物,SMAD4 表达与组织学异型增生程度的组合是预测口腔白斑病恶性转化的更好指标。

https://cdn.ncbi.nlm.nih.gov/pmc/blobs/ac35/3691281/db5f0a71b81c/pone.0066794.g001.jpg

文献AI研究员

20分钟写一篇综述,助力文献阅读效率提升50倍。

立即体验

用中文搜PubMed

大模型驱动的PubMed中文搜索引擎

马上搜索

文档翻译

学术文献翻译模型,支持多种主流文档格式。

立即体验