Suppr超能文献

新型索拉非尼类似物通过依赖SHP-1的STAT3失活诱导人乳腺癌细胞凋亡。

Novel sorafenib analogues induce apoptosis through SHP-1 dependent STAT3 inactivation in human breast cancer cells.

作者信息

Liu Chun-Yu, Tseng Ling-Ming, Su Jung-Chen, Chang Kung-Chi, Chu Pei-Yi, Tai Wei-Tien, Shiau Chung-Wai, Chen Kuen-Feng

出版信息

Breast Cancer Res. 2013;15(4):R63. doi: 10.1186/bcr3457.

Abstract

INTRODUCTION

Signal transducers and activators of transcription 3 (STAT3) signaling is constitutively activated in various cancers including breast cancer and has emerged as a novel potential anti-cancer target. STAT3 has been demonstrated to be a target of sorafenib, and a protein tyrosine phosphatase Src homology 2-domain containing tyrosine phosphatase 1 (SHP-1) has been demonstrated to downregulate p-STAT3 via its phosphatase activity. Here, we tested the efficacy of two sorafenib analogues, SC-1 and SC-43, in breast cancer cells and examined the drug mechanism.

METHODS

Breast cancer cell lines were used for in vitro studies. Cell viability was examined by the 3-(4,5-dimethylthiazol-2-yl)-2,5-diphenyltetrazolium bromide (MTT) assay. Apoptosis was examined by flow cytometry and western blot. Signal transduction pathways in cells were assessed by western blot. In vivo efficacy of sorafenib, SC-1 and SC-43 was tested in xenografted nude mice.

RESULTS

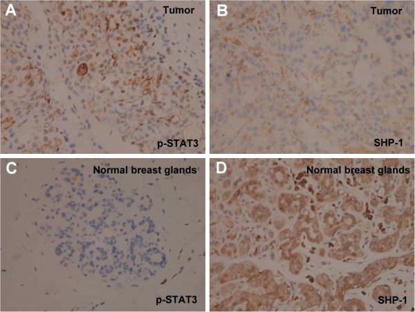
SC-1 and SC-43 induced more potent apoptosis than sorafenib, in association with downregulation of p-STAT3 and its downstream proteins cyclin D1 and survivin in a dose-dependent manner in breast cancer cell lines (HCC-1937, MDA-MB-468, MDA-MB-231, MDA-MB-453, SK-BR3, MCF-7). Overexpression of STAT3 in MDA-MB-468 cells protected the cells from apoptosis induced by sorafenib, SC-1 and SC-43. Moreover, SC-1 and SC-43 upregulated SHP-1 activity to a greater extent than sorafenib as measured by in vitro phosphatase assays. Knockdown of SHP-1 by siRNA reduced apoptosis induced by SC-1 and SC-43. Importantly, SC-1 and SC-43 showed more efficacious antitumor activity and p-STAT3 downregulation than sorafenib in MDA-MB-468 xenograft tumors.

CONCLUSIONS

Novel sorafenib analogues SC-1 and SC-43 induce apoptosis through SHP-1 dependent STAT3 inactivation and demonstrate greater potency than sorafenib in human breast cancer cells.

摘要

引言

信号转导与转录激活因子3(STAT3)信号通路在包括乳腺癌在内的多种癌症中持续激活,已成为一种新的潜在抗癌靶点。STAT3已被证明是索拉非尼的靶点,含Src同源2结构域的蛋白酪氨酸磷酸酶1(SHP-1)已被证明可通过其磷酸酶活性下调磷酸化STAT3(p-STAT3)。在此,我们测试了两种索拉非尼类似物SC-1和SC-43在乳腺癌细胞中的疗效,并研究了其作用机制。

方法

采用乳腺癌细胞系进行体外研究。通过3-(4,5-二甲基噻唑-2-基)-2,5-二苯基四氮唑溴盐(MTT)法检测细胞活力。通过流式细胞术和蛋白质印迹法检测细胞凋亡。通过蛋白质印迹法评估细胞中的信号转导通路。在异种移植裸鼠中测试索拉非尼、SC-1和SC-43的体内疗效。

结果

在乳腺癌细胞系(HCC-1937、MDA-MB-468、MDA-MB-231、MDA-MB-453、SK-BR3、MCF-7)中,SC-1和SC-43比索拉非尼诱导更强的细胞凋亡,且与p-STAT3及其下游蛋白细胞周期蛋白D1和生存素的下调呈剂量依赖性。在MDA-MB-468细胞中过表达STAT3可保护细胞免受索拉非尼、SC-1和SC-43诱导的细胞凋亡。此外,通过体外磷酸酶检测发现,SC-1和SC-43比索拉非尼更能上调SHP-1活性。用小干扰RNA(siRNA)敲低SHP-1可减少SC-1和SC-43诱导的细胞凋亡。重要的是,在MDA-MB-468异种移植瘤中,SC-1和SC-43比索拉非尼显示出更有效的抗肿瘤活性和p-STAT3下调。

结论

新型索拉非尼类似物SC-1和SC-43通过SHP-1依赖的STAT3失活诱导细胞凋亡,在人乳腺癌细胞中比索拉非尼具有更强的效力。

https://cdn.ncbi.nlm.nih.gov/pmc/blobs/83d0/3978748/2e4ebf8e7989/bcr3457-1.jpg

文献AI研究员

20分钟写一篇综述,助力文献阅读效率提升50倍。

立即体验

用中文搜PubMed

大模型驱动的PubMed中文搜索引擎

马上搜索

文档翻译

学术文献翻译模型,支持多种主流文档格式。

立即体验