Suppr超能文献

抑制死亡基因 Bik 是 MCF-7 乳腺癌细胞对他莫昔芬耐药的关键因素。

Suppression of the death gene BIK is a critical factor for resistance to tamoxifen in MCF-7 breast cancer cells.

机构信息

Unit of Medical Research in Human Genetics, Medical National Center, Century XXI, Mexican Institute of Social Insurance, Mexico City, Mexico.

出版信息

Int J Oncol. 2013 Dec;43(6):1777-86. doi: 10.3892/ijo.2013.2127. Epub 2013 Oct 4.

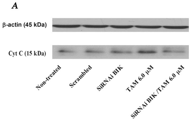
Abstract

Apoptosis is controlled by the BCL-2 family of proteins, which can be divided into three different subclasses based on the conservation of BCL-2 homology domains. BIK is a founding member of the BH3-only pro-apoptotic protein family. BIK is predominantly localized in the endoplasmic reticulum (ER) and induces apoptosis through the mitochondrial pathway by mobilizing calcium from the ER to the mitochondria. In this study, we determined that suppression of the death gene Bik promotes resistance to tamoxifen (TAM) in MCF-7 breast cancer cells. We utilized small interfering (siRNA) to specifically knockdown BIK in MCF-7 cells and studied their response to tamoxifen. The levels of cell apoptosis, the potential mitochondrial membrane (∆Ψ(m)), and the activation of total caspases were analyzed. Western blot analysis was used to determine the expression of some BCL-2 family proteins. Flow cytometry studies revealed an increase in apoptosis level in MCF-7 cells and a 2-fold increase in relative BIK messenger RNA (mRNA) expression at a concentration of 6.0 μM of TAM. BIK silencing, with a specific RNAi, blocked TAM-induced apoptosis in 45 ± 6.78% of cells. Moreover, it decreased mitochondrial membrane potential (Ψm) and total caspase activity, and exhibited low expression of pro-apoptotic proteins BAX, BAK, PUMA and a high expression of BCl-2 and MCL-1. The above suggests resistance to TAM, regulating the intrinsic pathway and indicate that BIK comprises an important factor in the process of apoptosis, which may exert an influence the ER pathway, which regulates mitochondrial integrity. Collectively, our results show that BIK is a central component of the programmed cell death of TAM-induced MCF-7 breast cancer cells. The silencing of BIK gene will be useful for future studies to establish the mechanisms of regulation of resistance to TAM.

摘要

细胞凋亡受 BCL-2 家族蛋白的调控,根据 BCL-2 同源结构域的保守性,可将其分为 3 个不同亚类。BIK 是 BH3 仅包含的促凋亡蛋白家族的创始成员之一。BIK 主要定位于内质网(ER),通过将钙从 ER 动员到线粒体来诱导通过线粒体途径的细胞凋亡。在这项研究中,我们确定抑制死亡基因 Bik 可促进 MCF-7 乳腺癌细胞对他莫昔芬(TAM)的耐药性。我们利用小干扰(siRNA)特异性敲低 MCF-7 细胞中的 Bik,并研究它们对 TAM 的反应。分析了细胞凋亡水平、潜在的线粒体膜(∆Ψ(m))和总半胱天冬酶的激活。Western blot 分析用于确定一些 BCL-2 家族蛋白的表达。流式细胞术研究表明,MCF-7 细胞中的凋亡水平增加,TAM 浓度为 6.0 μM 时,BIK 信使 RNA(mRNA)表达相对增加 2 倍。用特异性 RNAi 沉默 Bik 可阻止 TAM 诱导的 45 ± 6.78%细胞中的细胞凋亡。此外,它降低了线粒体膜电位(Ψm)和总半胱天冬酶活性,并表现出促凋亡蛋白 BAX、BAK、PUMA 的低表达和 BCL-2 和 MCL-1 的高表达。上述结果表明对 TAM 的耐药性,调节内在途径,并表明 Bik 是 TAM 诱导的 MCF-7 乳腺癌细胞凋亡过程中的重要因素,可能对调节线粒体完整性的 ER 途径产生影响。总之,我们的研究结果表明,Bik 是 TAM 诱导的 MCF-7 乳腺癌细胞程序性细胞死亡的核心组成部分。BIK 基因的沉默将有助于未来研究确定 TAM 耐药性的调节机制。

https://cdn.ncbi.nlm.nih.gov/pmc/blobs/3cf3/3833859/cf9641ec6d16/IJO-43-06-1777-g00.jpg

文献AI研究员

20分钟写一篇综述,助力文献阅读效率提升50倍。

立即体验

用中文搜PubMed

大模型驱动的PubMed中文搜索引擎

马上搜索

文档翻译

学术文献翻译模型,支持多种主流文档格式。

立即体验