Suppr超能文献

整合素 α1 亚基在结直肠癌中上调。

Integrin α1 subunit is up-regulated in colorectal cancer.

机构信息

Laboratory of Intestinal Physiopathology, Department of Anatomy and Cell Biology, Faculty of Medicine and Heath Sciences, Université de Sherbrooke, 3001 12th Avenue N, Sherbrooke, QC J1H 5N4, Canada.

出版信息

Biomark Res. 2013 Mar 7;1(1):16. doi: 10.1186/2050-7771-1-16.

Abstract

BACKGROUND

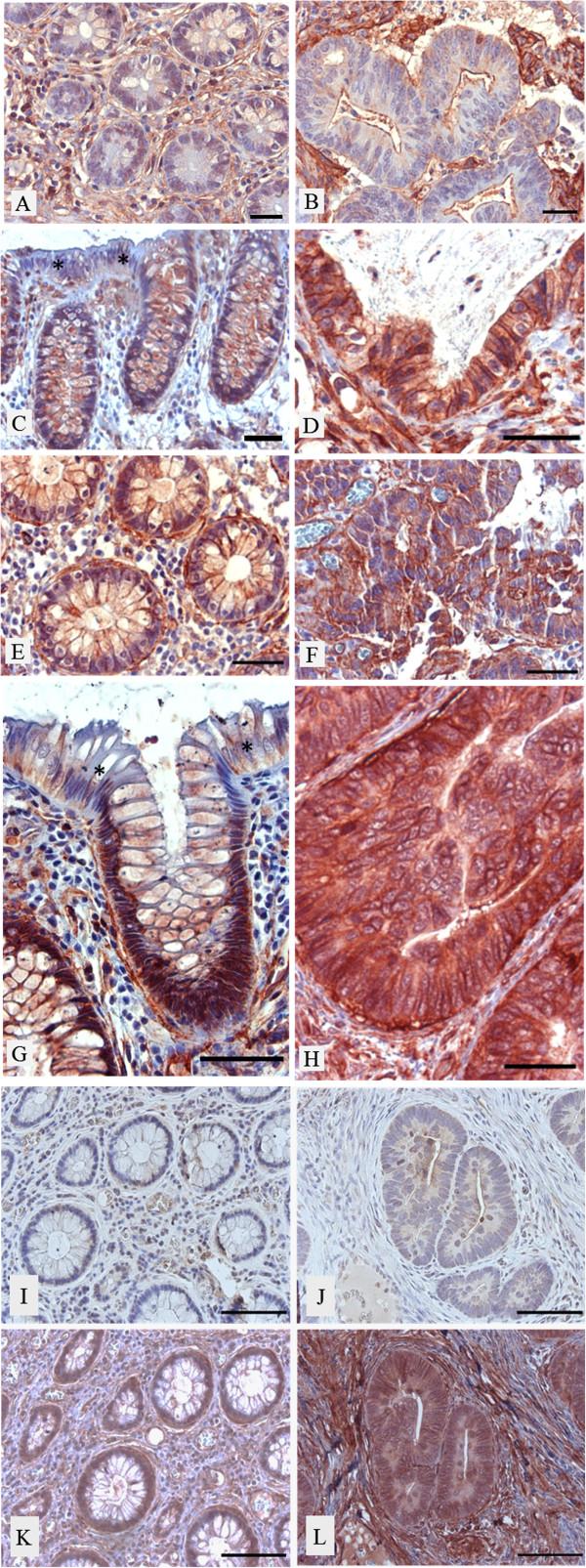
Colorectal cancer remains one of the leading causes of death from cancer in industrialized countries. Integrins are a family of heterodimeric glycoproteins involved in bidirectional cell signaling and participate in the regulation of cell shape, adhesion, migration, differentiation, gene transcription, survival and proliferation. The α1 subunit is known to be involved in RAS/ERK proliferative pathway activation and plays an important role in mammary carcinoma cell proliferation and migration. In the small intestine, α1 is present in the crypt proliferative compartment and absent in the villus, but nothing is known about its expression in the colon mucosa, or in colorectal cancer.

RESULTS

In the present study, we demonstrated that in the colon mucosa, α1 is present in the basolateral domain of the proliferative cells of the crypt, and in the surrounding myofibroblasts. We found higher levels of α1 mRNA in 86% of tumours compared to their corresponding matched margin tissues. Immunohistochemical analysis showed that α1 staining was moderate to high in 65% of tumour cells and 97% of the reactive cells surrounding the tumour cells vs 23% of normal epithelial cells.

CONCLUSION

Our findings suggest an active role for the α1β1 integrin in colorectal cancer progression.

摘要

背景

结直肠癌仍然是工业化国家癌症死亡的主要原因之一。整合素是参与双向细胞信号传递的异二聚体糖蛋白家族,参与调节细胞形态、黏附、迁移、分化、基因转录、存活和增殖。已知 α1 亚基参与 RAS/ERK 增殖途径的激活,在乳腺癌细胞增殖和迁移中发挥重要作用。在小肠中,α1 存在于隐窝增殖区,而不存在于绒毛中,但在结肠黏膜或结直肠癌细胞中其表达情况尚不清楚。

结果

在本研究中,我们证明在结肠黏膜中,α1 存在于隐窝增殖细胞的基底外侧域和周围的肌成纤维细胞中。我们发现,与相应的匹配边缘组织相比,86%的肿瘤中α1 mRNA 水平更高。免疫组织化学分析显示,65%的肿瘤细胞和 97%的肿瘤细胞周围反应性细胞的α1 染色为中度至高度,而正常上皮细胞的比例为 23%。

结论

我们的发现表明 α1β1 整合素在结直肠癌的进展中具有积极作用。

https://cdn.ncbi.nlm.nih.gov/pmc/blobs/e5b2/4177608/6357b66999f1/2050-7771-1-16-1.jpg

文献AI研究员

20分钟写一篇综述,助力文献阅读效率提升50倍。

立即体验

用中文搜PubMed

大模型驱动的PubMed中文搜索引擎

马上搜索

文档翻译

学术文献翻译模型,支持多种主流文档格式。

立即体验