Suppr超能文献

使用药物偶联磁性微球鉴定SHetA2对mortalin与p66shc和p53结合的干扰作用。

SHetA2 interference with mortalin binding to p66shc and p53 identified using drug-conjugated magnetic microspheres.

作者信息

Benbrook Doris Mangiaracina, Nammalwar Baskar, Long Andrew, Matsumoto Hiroyuki, Singh Anil, Bunce Richard A, Berlin K Darrell

机构信息

Department of Obstetrics and Gynecology, University of Oklahoma Health Sciences Center, 975 NE 10th Street, Room 1372, Oklahoma City, OK, USA,

出版信息

Invest New Drugs. 2014 Jun;32(3):412-23. doi: 10.1007/s10637-013-0041-x. Epub 2013 Nov 20.

Abstract

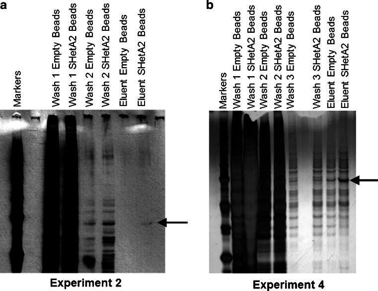
SHetA2 is a small molecule flexible heteroarotinoid (Flex-Het) with promising cancer prevention and therapeutic activity. Extensive preclinical testing documented lack of SHetA2 toxicity at doses 25 to 150 fold above effective doses. Knowledge of the SHetA2 molecular target(s) that mediate(s) the mechanism of SHetA2 action is critical to appropriate design of clinical trials and improved analogs. The aim of this study was to develop a method to identify SHetA2 binding proteins in cancer cells. A known metabolite of SHetA2 that has a hydroxyl group available for attachment was synthesized and conjugated to a linker for attachment to a magnetic microsphere. SHetA2-conjugated magnetic microspheres and unconjugated magnetic microspheres were separately incubated with aliquots of a whole cell protein extract from the A2780 human ovarian cancer cell line. After washing away non-specifically bound proteins with the protein extraction buffer, SHetA2-binding proteins were eluted with an excess of free SHetA2. In two independent experiments, an SDS gel band of about 72 kDa was present at differential levels in wells of eluent from SHetA2-microspheres in comparison to wells of eluent from unconjugated microspheres. Mass spectrometry analysis of the bands (QStar) and straight eluents (Orbitrap) identified mortalin (HSPA9) to be present in the eluent from SHetA2-microspheres and not in eluent from unconjugated microspheres. Co-immunoprecipitation experiments demonstrated that SHetA2 interfered with mortalin binding to p53 and p66 Src homologous-collagen homologue (p66shc) inside cancer cells. Mortalin and SHetA2 conflictingly regulate the same molecules involved in mitochondria-mediated intrinsic apoptosis. The results validate the power of this protocol for revealing drug targets.

摘要

SHetA2是一种小分子柔性杂芳维甲酸(Flex-Het),具有良好的癌症预防和治疗活性。广泛的临床前测试表明,在有效剂量以上25至150倍的剂量下,SHetA2没有毒性。了解介导SHetA2作用机制的分子靶点对于临床试验的合理设计和改进类似物至关重要。本研究的目的是开发一种方法来鉴定癌细胞中SHetA2的结合蛋白。合成了一种已知的SHetA2代谢物,其具有可用于连接的羟基,并与连接子缀合以连接到磁性微球上。将SHetA2缀合的磁性微球和未缀合的磁性微球分别与来自A2780人卵巢癌细胞系的全细胞蛋白提取物的等分试样孵育。用蛋白提取缓冲液洗去非特异性结合的蛋白质后,用过量的游离SHetA2洗脱SHetA2结合蛋白。在两个独立的实验中,与未缀合微球的洗脱液孔相比,SHetA2微球洗脱液孔中存在一条约72 kDa的SDS凝胶带,其水平不同。对这些条带(QStar)和直接洗脱液(Orbitrap)进行质谱分析,确定mortalin(HSPA9)存在于SHetA2微球的洗脱液中,而不存在于未缀合微球的洗脱液中。免疫共沉淀实验表明,SHetA2干扰了癌细胞内mortalin与p53和p66 Src同源胶原蛋白同系物(p66shc)的结合。Mortalin和SHetA2对线粒体介导的内源性凋亡中涉及的相同分子具有相反的调节作用。这些结果验证了该方案在揭示药物靶点方面的能力。

https://cdn.ncbi.nlm.nih.gov/pmc/blobs/81c4/4045313/54fb3e965949/10637_2013_41_Fig1_HTML.jpg

文献AI研究员

20分钟写一篇综述,助力文献阅读效率提升50倍。

立即体验

用中文搜PubMed

大模型驱动的PubMed中文搜索引擎

马上搜索

文档翻译

学术文献翻译模型,支持多种主流文档格式。

立即体验