Suppr超能文献

VRC01的特性研究,VRC01是一种强效且具有广泛中和作用的抗HIV单克隆抗体,由瞬时和稳定转化的烟草产生。

Characterization of VRC01, a potent and broadly neutralizing anti-HIV mAb, produced in transiently and stably transformed tobacco.

作者信息

Teh Audrey Y-H, Maresch Daniel, Klein Katja, Ma Julian K-C

机构信息

Molecular Immunology Unit, Infection and Immunity Research Centre, St. George's University of London, London, UK.

出版信息

Plant Biotechnol J. 2014 Apr;12(3):300-11. doi: 10.1111/pbi.12137. Epub 2013 Nov 21.

Abstract

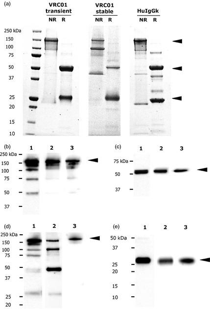
The proposed clinical trial in Africa of VRC01, a potent broadly neutralizing antibody (bNAb) capable of neutralizing 91% of known HIV-1 isolates, raises concerns about testing a treatment which will be too expensive to be accessible by the most important target population, the poor in under-developed regions such as sub-Saharan Africa. Here, we report the expression of VRC01 in plants as an economic alternative to conventional mammalian-cell-based production platforms. The heavy and light chain genes of VRC01 were cloned onto a single vector, pTRAk.2, which was transformed into Nicotiana benthamiana or Nicotiana tabacum using transient and stable expression production systems respectively. VRC01 has been successfully expressed transiently in plants with expression level of approximately 80 mg antibody/kg; stable transgenic lines expressing up to 100 mg antibody/kg were also obtained. Plant-produced VRC01 from both systems showed a largely homogeneous N-glycosylation profile with a single dominant glycoform. The binding kinetics to gp120 IIIB (approximately 1 nM), neutralization of HIV-1 BaL or a panel of 10 VRC01-sensitive HIV-1 Env pseudoviruses of VRC01 produced in transient and stable plants were also consistent with VRC01 from HEK cells.

摘要

在非洲开展的VRC01临床试验引发了人们的担忧。VRC01是一种强效的广谱中和抗体(bNAb),能够中和91%的已知HIV-1分离株。对于撒哈拉以南非洲等欠发达地区的贫困人口这一最重要的目标人群来说,测试一种过于昂贵而难以获得的治疗方法令人担忧。在此,我们报道了VRC01在植物中的表达,作为传统基于哺乳动物细胞的生产平台的一种经济替代方案。VRC01的重链和轻链基因被克隆到单个载体pTRAk.2上,该载体分别使用瞬时表达和稳定表达生产系统转化到本氏烟草或烟草中。VRC01已在植物中成功瞬时表达,表达水平约为80毫克抗体/千克;还获得了表达量高达100毫克抗体/千克的稳定转基因株系。来自这两种系统的植物产生的VRC01显示出基本均一的N-糖基化谱,具有单一的主要糖型。瞬时和稳定植物中产生的VRC01与来自HEK细胞的VRC01在与gp120 IIIB的结合动力学(约1 nM)、对HIV-1 BaL或一组10种对VRC01敏感的HIV-1 Env假病毒的中和作用方面也一致。

https://cdn.ncbi.nlm.nih.gov/pmc/blobs/72e4/4112721/be6c85b7a7cb/pbi-12-300-g01.jpg

文献AI研究员

20分钟写一篇综述,助力文献阅读效率提升50倍。

立即体验

用中文搜PubMed

大模型驱动的PubMed中文搜索引擎

马上搜索

文档翻译

学术文献翻译模型,支持多种主流文档格式。

立即体验