Suppr超能文献

肌萎缩侧索硬化症中的皮质变薄和临床异质性。

Cortical thinning and clinical heterogeneity in amyotrophic lateral sclerosis.

机构信息

Neurology Unit, Department of Basic Medical Sciences, Neurosciences and Sense Organs, University of Bari, Bari, Italy.

出版信息

PLoS One. 2013 Nov 20;8(11):e80748. doi: 10.1371/journal.pone.0080748. eCollection 2013.

Abstract

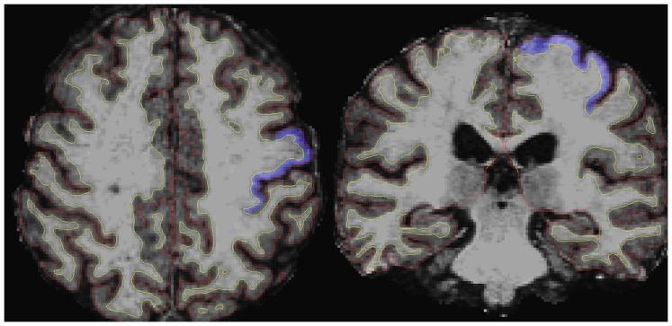
Amyotrophic lateral sclerosis (ALS) has heterogeneous clinical features that could be translated into specific patterns of brain atrophy. In the current study we have evaluated the relationship between different clinical expressions of classical ALS and measurements of brain cortical thickness. Cortical thickness analysis was conducted from 3D-MRI using FreeSurfer software in 29 ALS patients and 20 healthy controls. We explored three clinical traits of the disease, subdividing the patients into two groups for each of them: the bulbar or spinal onset, the higher or lower upper motor neuron burden, the faster or slower disease progression. We used both a whole brain vertex-wise analysis and a ROI analysis on primary motor areas. ALS patients showed cortical thinning in bilateral precentral gyrus, bilateral middle frontal gyrus, right superior temporal gyrus and right occipital cortex. ALS patients with higher upper motor neuron burden showed a significant cortical thinning in the right precentral gyrus and in other frontal extra-motor areas, compared to healthy controls. ALS patients with spinal onset showed a significant cortical thinning in the right precentral gyrus and paracentral lobule, compared to healthy controls. ALS patients with faster progressive disease showed a significant cortical thinning in widespread bilateral frontal and temporal areas, including the bilateral precentral gyrus, compared to healthy controls. Focusing on the primary motor areas, the ROI analysis revealed that the mean cortical thickness values were significantly reduced in ALS patients with higher upper motor neuron burden, spinal onset and faster disease progression related to healthy controls. In conclusion, the thickness of primary motor cortex could be a useful surrogate marker of upper motor neuron involvement in ALS; also our results suggest that cortical thinning in motor and non motor areas seem to reflect the clinical heterogeneity of the disease.

摘要

肌萎缩侧索硬化症(ALS)具有异质性的临床特征,这些特征可以转化为特定的脑萎缩模式。在本研究中,我们评估了不同临床表达的经典 ALS 与大脑皮质厚度测量之间的关系。皮质厚度分析是通过 3D-MRI 使用 FreeSurfer 软件在 29 名 ALS 患者和 20 名健康对照组中进行的。我们探讨了疾病的三种临床特征,将患者分为两组:延髓或脊髓发病、上运动神经元负担更高或更低、疾病进展更快或更慢。我们使用了全脑顶点分析和主要运动区的 ROI 分析。ALS 患者双侧中央前回、双侧额中回、右侧颞上回和右侧枕叶皮质变薄。与健康对照组相比,上运动神经元负担较高的 ALS 患者右侧中央前回和其他额外运动区的皮质变薄更明显。与健康对照组相比,脊髓发病的 ALS 患者右侧中央前回和旁中央小叶的皮质变薄更明显。进展较快的 ALS 患者双侧额、颞广泛区域皮质变薄更明显,包括双侧中央前回,与健康对照组相比。聚焦于主要运动区,ROI 分析显示,与健康对照组相比,上运动神经元负担较高、脊髓发病和疾病进展较快的 ALS 患者的皮质厚度平均值明显降低。总之,初级运动皮质的厚度可能是 ALS 中运动神经元受累的有用替代标志物;我们的结果还表明,运动和非运动区的皮质变薄似乎反映了疾病的临床异质性。

https://cdn.ncbi.nlm.nih.gov/pmc/blobs/9d5b/3835750/222b8ad5cca4/pone.0080748.g001.jpg

文献AI研究员

20分钟写一篇综述,助力文献阅读效率提升50倍。

立即体验

用中文搜PubMed

大模型驱动的PubMed中文搜索引擎

马上搜索

文档翻译

学术文献翻译模型,支持多种主流文档格式。

立即体验