Suppr超能文献

PD-L1 阻断可减轻盲肠结扎穿刺诱导的小鼠脓毒症肝损伤。

PD-L1 blockade attenuated sepsis-induced liver injury in a mouse cecal ligation and puncture model.

机构信息

Department of Anesthesiology, Changhai Hospital, Second Military Medical University, 168 Changhai Road, Shanghai 200433, China.

出版信息

Mediators Inflamm. 2013;2013:361501. doi: 10.1155/2013/361501. Epub 2013 Nov 11.

Abstract

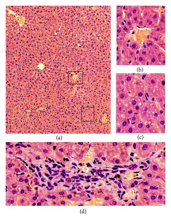
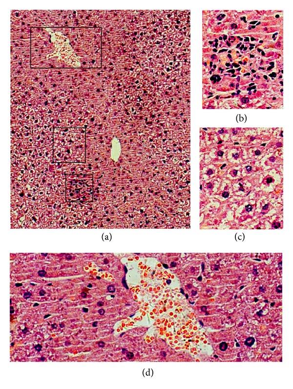
Liver plays a major role in hypermetabolism and produces acute phase proteins during systemic inflammatory response syndrome and it is of vital importance in host defense and bacteria clearance. Our previous studies indicated that programmed death-1 (PD-1) and its ligand programmed death ligand-1 (PD-L1) are crucial modulators of host immune responses during sepsis. Our current study was designed to investigate the role of PD-L1 in sepsis-induced liver injury by a mouse cecal ligation and puncture (CLP) model. Our results indicated that there was a significant increase of PD-L1 expression in liver after CLP challenge compared to sham-operated controls, in terms of levels of mRNA transcription and immunohistochemistry. Anti-PD-L1 antibody significantly alleviated the morphology of liver injury in CLP mice. Anti-PD-L1 antibody administration decreased ALT and AST release in CLP mice, decreased the levels of tumor necrosis factor (TNF)-α , interleukin (IL)-6, and IL-10 mRNA in liver after sepsis challenge. Thus, anti-PD-L1 antibody might have a therapeutic potential in attenuating liver injury in sepsis.

摘要

肝脏在代谢亢进中起主要作用,并在全身炎症反应综合征期间产生急性期蛋白,在宿主防御和细菌清除中至关重要。我们之前的研究表明,程序性死亡受体 1(PD-1)及其配体程序性死亡配体 1(PD-L1)是脓毒症期间宿主免疫反应的关键调节剂。我们的研究旨在通过小鼠盲肠结扎和穿刺(CLP)模型研究 PD-L1 在脓毒症诱导的肝损伤中的作用。我们的结果表明,与假手术对照组相比,CLP 后肝脏中 PD-L1 的表达在 mRNA 转录和免疫组化水平上均显著增加。抗 PD-L1 抗体显著减轻 CLP 小鼠的肝损伤形态。抗 PD-L1 抗体给药降低了 CLP 小鼠中 ALT 和 AST 的释放,降低了脓毒症后肝脏中肿瘤坏死因子(TNF)-α、白细胞介素(IL)-6 和 IL-10 mRNA 的水平。因此,抗 PD-L1 抗体在减轻脓毒症中的肝损伤方面可能具有治疗潜力。

https://cdn.ncbi.nlm.nih.gov/pmc/blobs/fb9e/3844221/bbe65d7444e5/MI2013-361501.001.jpg

文献AI研究员

20分钟写一篇综述,助力文献阅读效率提升50倍。

立即体验

用中文搜PubMed

大模型驱动的PubMed中文搜索引擎

马上搜索

文档翻译

学术文献翻译模型,支持多种主流文档格式。

立即体验