Suppr超能文献

一例由侵袭性胸腺瘤血管内侵犯引起的上腔静脉综合征罕见病例。

An unusual case of superior vena cava syndrome caused by the intravascular invasion of an invasive thymoma.

作者信息

Kim Hyung Joon, Cho Sun Young, Cho Woo Hee, Lee Do Hyun, Lim Do Hyoung, Seo Pil Won, Park Mi-Hyun, Lee Wonae, Lee Jai Hyuen, Kim Doh Hyung

机构信息

Department of Internal Medicine, Dankook University College of Medicine, Cheonan, Korea.

Department of Thoracic and Cardiovascular Surgery, Dankook University College of Medicine, Cheonan, Korea.

出版信息

Tuberc Respir Dis (Seoul). 2013 Nov;75(5):210-3. doi: 10.4046/trd.2013.75.5.210. Epub 2013 Nov 29.

Abstract

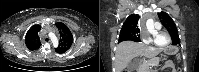
Superior vena cava syndrome (SVCS) is usually caused by extrinsic compression or invasion of the superior vena cava (SVC) by malignant tumors involving mediastinal structures. Although thymomas are well-known causes of SVCS, cases of SVCS caused by malignant thymomas protruding into adjacent vessels draining the SVC with thrombosis have been very rarely reported worldwide. We experienced a 39-year-old female patient with SVCS that developed after the direct invasion of the left brachiocephalic vein (LBCV) and SVC by an anterior mediastinal mass with a high maximum standardized uptake value on the chest computed tomography (CT) and positron emission tomography-CT. Based on these results, she underwent en bloc resection of the tumor, including removal of the involved vessels, and was eventually diagnosed as having a type B2 thymoma permeating into the LBCV and SVC. We present this case as a very rare form of SVCS caused by an invasive thymoma.

摘要

上腔静脉综合征(SVCS)通常是由涉及纵隔结构的恶性肿瘤对外侧上腔静脉(SVC)的外在压迫或侵犯所致。虽然胸腺瘤是SVCS的常见病因,但全球范围内,由恶性胸腺瘤突入引流SVC的相邻血管并伴有血栓形成导致SVCS的病例却鲜有报道。我们接诊了一名39岁的女性SVCS患者,该患者因前纵隔肿物直接侵犯左头臂静脉(LBCV)和SVC而发病,胸部计算机断层扫描(CT)及正电子发射断层扫描-CT显示该肿物的最大标准摄取值较高。基于这些检查结果,患者接受了肿瘤整块切除术,包括切除受累血管,最终被诊断为B2型胸腺瘤侵犯LBCV和SVC。我们将此病例作为侵袭性胸腺瘤导致的一种极为罕见的SVCS形式进行展示。

https://cdn.ncbi.nlm.nih.gov/pmc/blobs/598e/3861377/39c385659289/trd-75-210-g001.jpg

文献AI研究员

20分钟写一篇综述,助力文献阅读效率提升50倍。

立即体验

用中文搜PubMed

大模型驱动的PubMed中文搜索引擎

马上搜索

文档翻译

学术文献翻译模型,支持多种主流文档格式。

立即体验