Suppr超能文献

外泌体的蛋白质组学分析导致了前列腺癌新型生物标志物的鉴定。

Proteomic profiling of exosomes leads to the identification of novel biomarkers for prostate cancer.

机构信息

Department of Urology, Erasmus Medical Center, Rotterdam, Netherlands.

Fundamental and Computational Sciences Division, Pacific Northwest National Laboratory, Richland, Washington, United States of America.

出版信息

PLoS One. 2013 Dec 31;8(12):e82589. doi: 10.1371/journal.pone.0082589. eCollection 2013.

Abstract

BACKGROUND

Current markers for prostate cancer, such as PSA lack specificity. Therefore, novel biomarkers are needed. Unfortunately, the complexity of body fluids often hampers biomarker discovery. An attractive alternative approach is the isolation of small vesicles, i.e. exosomes, ∼100 nm, which contain proteins that are specific to the tissue from which they are derived and therefore can be considered as treasure chests for disease-specific biomarker discovery.

MATERIALS AND METHODS

Exosomes were isolated from 2 immortalized primary prostate epithelial cells (PNT2C2 and RWPE-1) and 2 PCa cell lines (PC346C and VCaP) by ultracentrifugation. After tryptic digestion, proteomic analyses utilized a nanoLC coupled with an LTQ-Orbitrap operated in tandem MS (MS/MS) mode. Accurate Mass and Time (AMT) tag approach was employed for peptide identification and quantitation. Candidate biomarkers were validated by Western blotting and Immunohistochemistry.

RESULTS

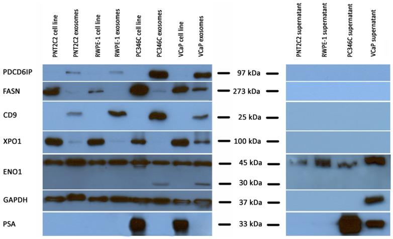
Proteomic characterization resulted in the identification of 248, 233, 169, and 216 proteins by at least 2 peptides in exosomes from PNT2C2, RWPE-1, PC346C, and VCaP, respectively. Statistical analyses revealed 52 proteins differently abundant between PCa and control cells, 9 of which were more abundant in PCa. Validation by Western blotting confirmed a higher abundance of FASN, XPO1 and PDCD6IP (ALIX) in PCa exosomes.

CONCLUSIONS

Identification of exosomal proteins using high performance LC-FTMS resulted in the discovery of PDCD6IP, FASN, XPO1 and ENO1 as new candidate biomarkers for prostate cancer.

摘要

背景

目前的前列腺癌标志物,如 PSA,缺乏特异性。因此,需要新的生物标志物。不幸的是,体液的复杂性常常阻碍了生物标志物的发现。一种有吸引力的替代方法是分离小泡,即外泌体,约 100nm,其中包含特定于其来源组织的蛋白质,因此可以被视为疾病特异性生物标志物发现的宝库。

材料与方法

通过超速离心从 2 个永生化的原代前列腺上皮细胞(PNT2C2 和 RWPE-1)和 2 个 PCa 细胞系(PC346C 和 VCaP)中分离出外泌体。经胰蛋白酶消化后,利用纳升液相色谱与 LTQ-Orbitrap 串联质谱(MS/MS)联用进行蛋白质组学分析。采用精确质量和时间(AMT)标签法进行肽鉴定和定量。通过 Western blot 和免疫组化验证候选生物标志物。

结果

蛋白质组学分析鉴定了 248、233、169 和 216 种蛋白质,它们分别至少由 2 种肽在 PNT2C2、RWPE-1、PC346C 和 VCaP 的外泌体中被识别。统计学分析显示,PCa 和对照细胞之间有 52 种蛋白丰度不同,其中 9 种在 PCa 中更为丰富。Western blot 验证证实了 FASN、XPO1 和 PDCD6IP(ALIX)在 PCa 外泌体中的丰度更高。

结论

使用高性能 LC-FTMS 鉴定外泌体蛋白,发现 PDCD6IP、FASN、XPO1 和 ENO1 是前列腺癌的新候选生物标志物。

https://cdn.ncbi.nlm.nih.gov/pmc/blobs/78d3/3876995/bbc4c177994f/pone.0082589.g001.jpg

文献AI研究员

20分钟写一篇综述,助力文献阅读效率提升50倍。

立即体验

用中文搜PubMed

大模型驱动的PubMed中文搜索引擎

马上搜索

文档翻译

学术文献翻译模型,支持多种主流文档格式。

立即体验