Suppr超能文献

粪便样本中的微生物多样性取决于DNA提取方法:与QIAamp DNA粪便微型试剂盒提取法相比,easyMag DNA提取法的情况。

Microbial diversity in fecal samples depends on DNA extraction method: easyMag DNA extraction compared to QIAamp DNA stool mini kit extraction.

作者信息

Mirsepasi Hengameh, Persson Søren, Struve Carsten, Andersen Lee O B, Petersen Andreas M, Krogfelt Karen A

机构信息

Department of Microbiology & Infection Control, Statens Serum Institut, Copenhagen DK-2300 S, Denmark.

出版信息

BMC Res Notes. 2014 Jan 21;7:50. doi: 10.1186/1756-0500-7-50.

Abstract

BACKGROUND

There are challenges, when extracting bacterial DNA from specimens for molecular diagnostics, since fecal samples also contain DNA from human cells and many different substances derived from food, cell residues and medication that can inhibit downstream PCR. The purpose of the study was to evaluate two different DNA extraction methods in order to choose the most efficient method for studying intestinal bacterial diversity using Denaturing Gradient Gel Electrophoresis (DGGE).

FINDINGS

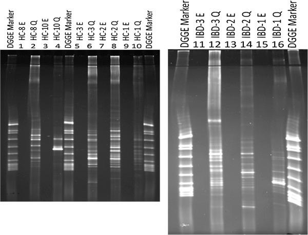
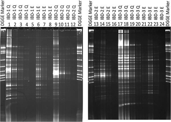
In this study, a semi-automatic DNA extraction system (easyMag®, BioMérieux, Marcy I'Etoile, France) and a manual one (QIAamp DNA Stool Mini Kit, Qiagen, Hilden, Germany) were tested on stool samples collected from 3 patients with Inflammatory Bowel disease (IBD) and 5 healthy individuals. DNA extracts obtained by the QIAamp DNA Stool Mini Kit yield a higher amount of DNA compared to DNA extracts obtained by easyMag® from the same fecal samples. Furthermore, DNA extracts obtained using easyMag® seemed to contain inhibitory compounds, since in order to perform a successful PCR-analysis, the sample should be diluted at least 10 times. DGGE performed on PCR from DNA extracted by QIAamp DNA Stool Mini Kit DNA was very successful.

CONCLUSION

QIAamp DNA Stool Mini Kit DNA extracts are optimal for DGGE runs and this extraction method yields a higher amount of DNA compared to easyMag®.

摘要

背景

从标本中提取细菌DNA用于分子诊断存在挑战,因为粪便样本中还含有来自人类细胞的DNA以及许多源自食物、细胞残渣和药物的不同物质,这些物质会抑制下游的聚合酶链反应(PCR)。本研究的目的是评估两种不同的DNA提取方法,以便选择使用变性梯度凝胶电泳(DGGE)研究肠道细菌多样性的最有效方法。

研究结果

在本研究中,对从3例炎症性肠病(IBD)患者和5名健康个体采集的粪便样本,测试了一种半自动DNA提取系统(easyMag®,法国生物梅里埃公司,马西伊图瓦勒)和一种手动提取方法(QIAamp DNA粪便迷你试剂盒,德国希尔德的凯杰公司)。与从相同粪便样本中用easyMag®获得的DNA提取物相比,用QIAamp DNA粪便迷你试剂盒获得的DNA提取物产生的DNA量更高。此外,用easyMag®获得的DNA提取物似乎含有抑制性化合物,因为为了成功进行PCR分析,样本应至少稀释10倍。对用QIAamp DNA粪便迷你试剂盒提取的DNA进行PCR后再进行的DGGE非常成功。

结论

QIAamp DNA粪便迷你试剂盒的DNA提取物最适合进行DGGE分析,并且与easyMag®相比,这种提取方法产生的DNA量更高。

https://cdn.ncbi.nlm.nih.gov/pmc/blobs/fe88/4015497/66c8c60dc4d6/1756-0500-7-50-1.jpg

文献AI研究员

20分钟写一篇综述,助力文献阅读效率提升50倍。

立即体验

用中文搜PubMed

大模型驱动的PubMed中文搜索引擎

马上搜索

文档翻译

学术文献翻译模型,支持多种主流文档格式。

立即体验