Suppr超能文献

mTORC1 抑制通过 AKT/GSK-3β 信号通路介导的 E-钙黏蛋白抑制复合物的上调诱导非小细胞肺癌细胞中 E-钙黏蛋白的丢失。

Inhibition of mTORC1 induces loss of E-cadherin through AKT/GSK-3β signaling-mediated upregulation of E-cadherin repressor complexes in non-small cell lung cancer cells.

机构信息

Department of Internal Medicine, Yonsei University College of Medicine, 50-1, Yonsei-ro, Seodaemun-gu, Seoul 120-752, Republic of Korea.

出版信息

Respir Res. 2014 Feb 26;15(1):26. doi: 10.1186/1465-9921-15-26.

Abstract

BACKGROUND

mTOR, which can form mTOR Complex 1 (mTORC1) or mTOR Complex 2 (mTORC2) depending on its binding partners, is frequently deregulated in the pulmonary neoplastic conditions and interstitial lung diseases of the patients treated with rapalogs. In this study, we investigated the relationship between mTOR signaling and epithelial mesenchymal transition (EMT) by dissecting mTOR pathways.

METHODS

Components of mTOR signaling pathway were silenced by shRNA in a panel of non-small cell lung cancer cell lines and protein expression of epithelial and mesenchymal markers were evaluated by immunoblotting and immunocytochemistry. mRNA level of the E-cadherin repressor complexes were evaluated by qRT-PCR.

RESULTS

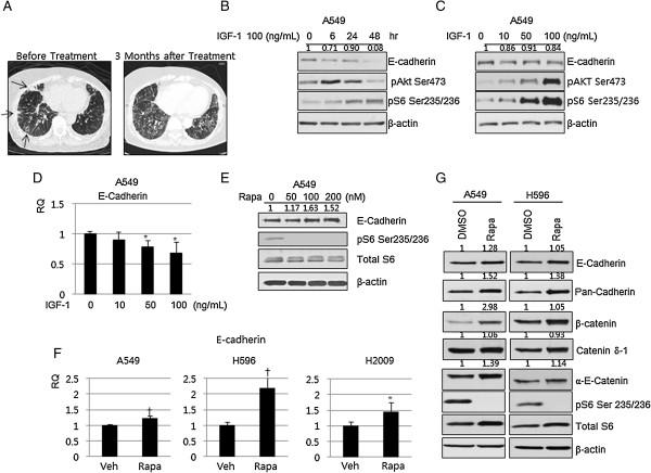
IGF-1 treatment decreased expression of the E-cadherin and rapamycin increased its expression, suggesting hyperactivation of mTOR signaling relates to the loss of E-cadherin. Genetic ablation of rapamycin-insensitive companion of mTOR (Rictor), a component of mTORC2, did not influence E-cadherin expression, whereas genetic ablation of regulatory-associated protein of mTOR (Raptor), a component of mTORC1, led to a decrease in E-cadherin expression at the mRNA level. Increased phosphorylation of AKT at Ser473 and GSK-3β at Ser9 were observed in the Raptor-silenced NSCLC cells. Of the E-cadherin repressor complexes tested, Snail, Zeb2, and Twist1 mRNAs were elevated in raptor-silenced A549 cells, and Zeb2 and Twist1 mRNAs were elevated in Raptor-silenced H2009 cells. These findings were recapitulated by treatment with the GSK-3β inhibitor, LiCl. Raptor knockdown A549 cells showed increased expression of N-cadherin and vimentin with mesenchymal phenotypic changes.

CONCLUSIONS

In conclusion, selective inhibition of mTORC1 leads to hyperactivation of the AKT/GSK-3β pathway, inducing E-cadherin repressor complexes and EMT. These findings imply the existence of a feedback inhibition loop of mTORC1 onto mTORC2 that plays a role in the homeostasis of E-cadherin expression and EMT, requiring caution in the clinical use of rapalog and selective mTORC1 inhibitors.

摘要

背景

mTOR 可以根据其结合伙伴形成 mTOR 复合物 1(mTORC1)或 mTOR 复合物 2(mTORC2),在接受雷帕霉素类药物治疗的患者的肺部肿瘤性疾病和间质性肺病中经常发生失调。在这项研究中,我们通过剖析 mTOR 通路来研究 mTOR 信号与上皮间质转化(EMT)之间的关系。

方法

通过 shRNA 沉默非小细胞肺癌细胞系中的 mTOR 信号通路成分,并通过免疫印迹和免疫细胞化学评估上皮和间充质标志物的蛋白表达。通过 qRT-PCR 评估 E-钙粘蛋白抑制复合物的 mRNA 水平。

结果

IGF-1 处理降低了 E-钙粘蛋白的表达,而雷帕霉素增加了其表达,这表明 mTOR 信号的过度激活与 E-钙粘蛋白的丢失有关。雷帕霉素不敏感的 mTOR 伴侣(Rictor),即 mTORC2 的一个组成部分,的遗传缺失并不影响 E-钙粘蛋白的表达,而 mTORC1 的组成部分调节相关蛋白(Raptor)的遗传缺失导致 E-钙粘蛋白在 mRNA 水平上的表达降低。在 Raptor 沉默的非小细胞肺癌细胞中观察到 AKT 丝氨酸 473 和 GSK-3β 丝氨酸 9 的磷酸化增加。在 Raptor 沉默的 A549 细胞中,测试的 E-钙粘蛋白抑制复合物中的 Snail、Zeb2 和 Twist1mRNA 升高,而 Raptor 沉默的 H2009 细胞中 Zeb2 和 Twist1mRNA 升高。用 GSK-3β 抑制剂 LiCl 处理可重现这些发现。Raptor 敲低的 A549 细胞表现出 N-钙粘蛋白和波形蛋白的表达增加,具有间充质表型变化。

结论

总之,选择性抑制 mTORC1 导致 AKT/GSK-3β 通路的过度激活,诱导 E-钙粘蛋白抑制复合物和 EMT。这些发现表明 mTORC1 对 mTORC2 存在反馈抑制环,在 E-钙粘蛋白表达和 EMT 的动态平衡中发挥作用,这提示在雷帕霉素和选择性 mTORC1 抑制剂的临床应用中需要谨慎。

https://cdn.ncbi.nlm.nih.gov/pmc/blobs/50f1/3941688/6e6b9092f37c/1465-9921-15-26-1.jpg

文献AI研究员

20分钟写一篇综述,助力文献阅读效率提升50倍。

立即体验

用中文搜PubMed

大模型驱动的PubMed中文搜索引擎

马上搜索

文档翻译

学术文献翻译模型,支持多种主流文档格式。

立即体验