Suppr超能文献

A 组链球菌过氧化物应答调节因子的独特结构特征驱动 DNA 结合。

Distinct structural features of the peroxide response regulator from group A Streptococcus drive DNA binding.

机构信息

Department of Microbiology and Immunology, College of Medicine, National Cheng Kung University, Tainan, Taiwan.

Physical Biosciences Division, Lawrence Berkeley National Laboratory, Berkeley, California, United States of America.

出版信息

PLoS One. 2014 Feb 21;9(2):e89027. doi: 10.1371/journal.pone.0089027. eCollection 2014.

Abstract

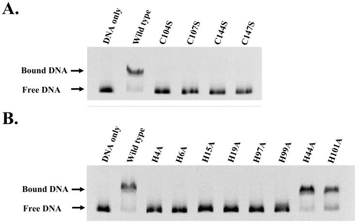
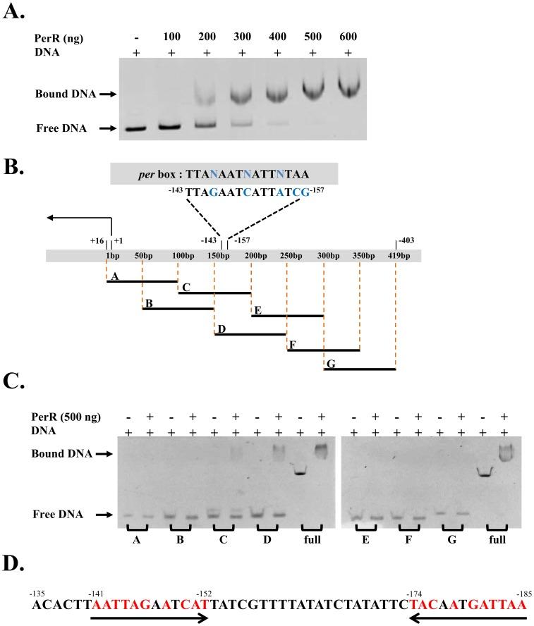
Group A streptococcus (GAS, Streptococcus pyogenes) is a strict human pathogen that causes severe, invasive diseases. GAS does not produce catalase, but has an ability to resist killing by reactive oxygen species (ROS) through novel mechanisms. The peroxide response regulator (PerR), a member of ferric uptake regulator (Fur) family, plays a key role for GAS to cope with oxidative stress by regulating the expression of multiple genes. Our previous studies have found that expression of an iron-binding protein, Dpr, is under the direct control of PerR. To elucidate the molecular interactions of PerR with its cognate promoter, we have carried out structural studies on PerR and PerR-DNA complex. By combining crystallography and small-angle X-ray scattering (SAXS), we confirmed that the determined PerR crystal structure reflects its conformation in solution. Through mutagenesis and biochemical analysis, we have identified DNA-binding residues suggesting that PerR binds to the dpr promoter at the per box through a winged-helix motif. Furthermore, we have performed SAXS analysis and resolved the molecular architecture of PerR-DNA complex, in which two 30 bp DNA fragments wrap around two PerR homodimers by interacting with the adjacent positively-charged winged-helix motifs. Overall, we provide structural insights into molecular recognition of DNA by PerR and define the hollow structural arrangement of PerR-30bpDNA complex, which displays a unique topology distinct from currently proposed DNA-binding models for Fur family regulators.

摘要

A 组链球菌(GAS,化脓性链球菌)是一种严格的人类病原体,可引起严重的侵袭性疾病。GAS 不产生过氧化氢酶,但通过新的机制具有抵抗活性氧(ROS)杀伤的能力。过氧化物应答调节因子(PerR)是铁摄取调节因子(Fur)家族的成员,通过调节多个基因的表达,对 GAS 应对氧化应激起着关键作用。我们之前的研究发现,一种铁结合蛋白 Dpr 的表达受 PerR 的直接控制。为了阐明 PerR 与其同源启动子的分子相互作用,我们对 PerR 和 PerR-DNA 复合物进行了结构研究。通过晶体学和小角 X 射线散射(SAXS)相结合,我们证实了所确定的 PerR 晶体结构反映了其在溶液中的构象。通过突变和生化分析,我们确定了 DNA 结合残基,表明 PerR 通过翼螺旋基序结合在 per 框上的 dpr 启动子。此外,我们进行了 SAXS 分析并解析了 PerR-DNA 复合物的分子结构,其中两个 30bp DNA 片段通过与相邻的带正电荷的翼螺旋基序相互作用,缠绕在两个 PerR 同源二聚体周围。总的来说,我们提供了 PerR 对 DNA 分子识别的结构见解,并定义了 PerR-30bpDNA 复合物的空心结构排列,其显示出与当前提出的 Fur 家族调节剂 DNA 结合模型不同的独特拓扑结构。

https://cdn.ncbi.nlm.nih.gov/pmc/blobs/965c/3931707/86c3e6452b95/pone.0089027.g001.jpg

文献AI研究员

20分钟写一篇综述,助力文献阅读效率提升50倍。

立即体验

用中文搜PubMed

大模型驱动的PubMed中文搜索引擎

马上搜索

文档翻译

学术文献翻译模型,支持多种主流文档格式。

立即体验