Suppr超能文献

母婴情感联结的神经基础。

The neural basis of maternal bonding.

作者信息

Wan Ming Wai, Downey Darragh, Strachan Hilary, Elliott Rebecca, Williams Steve R, Abel Kathryn M

机构信息

Centre for Women's Mental Health, Institute of Brain, Behaviour and Mental Health, University of Manchester, Manchester, United Kingdom.

Neuroscience and Psychiatry Unit, Institute of Brain, Behaviour and Mental Health, University of Manchester, Manchester, United Kingdom.

出版信息

PLoS One. 2014 Mar 4;9(3):e88436. doi: 10.1371/journal.pone.0088436. eCollection 2014.

Abstract

BACKGROUND

Accumulating evidence suggests that mothers show a different pattern of brain responses when viewing their own compared to other infants. However, there is inconsistency across functional imaging studies regarding the key areas involved, and none have examined relationships between brain and behavioural responses to infants. We examined the brain regions activated when mothers viewed videos of their own infant contrasted with an unknown infant, and whether these are associated with behavioural and self-reported measures of mother-infant relations.

METHOD

Twenty right-handed mothers viewed alternating 30-sec blocks of video of own 4-9 month infant and an unfamiliar matched infant, interspersed with neutral video. Whole brain functional magnetic resonance images (fMRI) were acquired on a 1.5T Philips Intera scanner using a TR of 2.55 s. Videotaped mother-infant interactions were systematically evaluated blind to family information to generate behavioural measures for correlational analysis.

RESULTS

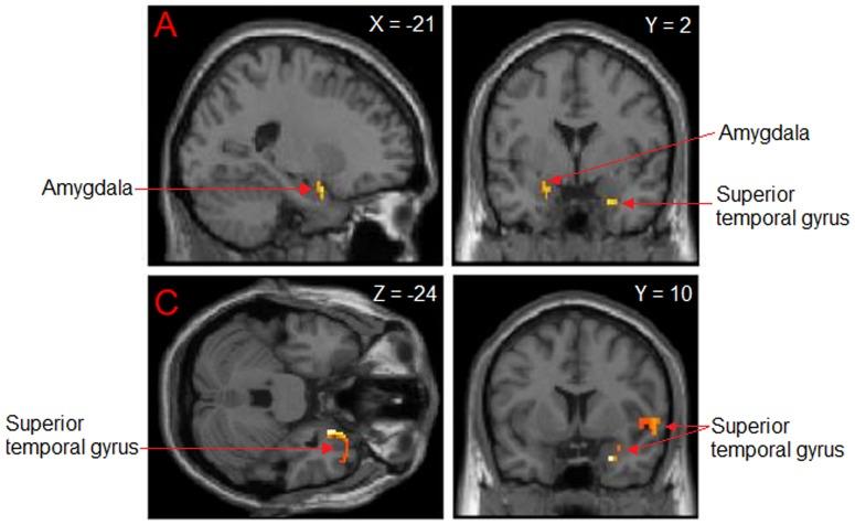
Enhanced blood oxygenation functional imaging responses were found in the own versus unknown infant contrast in the bilateral precuneus, right superior temporal gyrus, right medial and left middle frontal gyri and left amygdala. Positive mother-infant interaction (less directive parent behaviour; more positive/attentive infant behaviour) was significantly associated with greater activation in several regions on viewing own versus unknown infant, particularly the middle frontal gyrus. Mothers' perceived warmth of her infant was correlated with activations in the same contrast, particularly in sensory and visual areas.

CONCLUSION

This study partially replicates previous reports of the brain regions activated in mothers in response to the visual presentation of their own infant. It is the first to report associations between mothers' unique neural responses to viewing their own infant with the quality of her concurrent behaviour when interacting with her infant and with her perceptions of infant warmth. These findings provide support for developing fMRI as a potential biomarker of parenting risk and change.

摘要

背景

越来越多的证据表明,与观看其他婴儿相比,母亲在观看自己的婴儿时会表现出不同的大脑反应模式。然而,在功能成像研究中,关于所涉及的关键区域存在不一致之处,而且尚无研究考察大脑与对婴儿的行为反应之间的关系。我们研究了母亲观看自己婴儿与未知婴儿的视频时激活的脑区,以及这些脑区是否与母婴关系的行为和自我报告测量相关。

方法

20名右利手母亲观看自己4至9个月大婴儿和一名不熟悉的匹配婴儿的30秒视频交替片段,中间穿插中性视频。使用1.5T飞利浦Intera扫描仪,以2.55秒的重复时间采集全脑功能磁共振成像(fMRI)。对母婴互动录像进行系统评估,评估时对家庭信息保密,以生成用于相关分析的行为测量指标。

结果

在双侧楔前叶、右侧颞上回、右侧内侧和左侧额中回以及左侧杏仁核中,与观看未知婴儿相比,观看自己婴儿时发现血氧合功能成像反应增强。积极的母婴互动(较少的指导性父母行为;较多的积极/专注婴儿行为)与观看自己婴儿与未知婴儿时几个区域的更大激活显著相关,特别是额中回。母亲对婴儿的感知温暖程度与相同对比中的激活相关,特别是在感觉和视觉区域。

结论

本研究部分重复了先前关于母亲在观看自己婴儿的视觉呈现时激活的脑区的报告。这是首次报告母亲观看自己婴儿时独特的神经反应与她与婴儿互动时的并发行为质量以及她对婴儿温暖程度的感知之间的关联。这些发现为将功能磁共振成像发展为养育风险和变化的潜在生物标志物提供了支持。

https://cdn.ncbi.nlm.nih.gov/pmc/blobs/8700/3942310/a45498de2260/pone.0088436.g001.jpg

文献AI研究员

20分钟写一篇综述,助力文献阅读效率提升50倍。

立即体验

用中文搜PubMed

大模型驱动的PubMed中文搜索引擎

马上搜索

文档翻译

学术文献翻译模型,支持多种主流文档格式。

立即体验