Suppr超能文献

轴突营养蛋白/MARCH7作为一种E3泛素连接酶,在体外使tau蛋白泛素化,损害微管结合。

Axotrophin/MARCH7 acts as an E3 ubiquitin ligase and ubiquitinates tau protein in vitro impairing microtubule binding.

作者信息

Flach Katharina, Ramminger Ellen, Hilbrich Isabel, Arsalan-Werner Annika, Albrecht Franziska, Herrmann Lydia, Goedert Michel, Arendt Thomas, Holzer Max

机构信息

Paul Flechsig Institute of Brain Research, Department of Molecular and Cellular Mechanisms of Neurodegeneration, University of Leipzig, 04109 Leipzig, Germany.

MRC, Laboratory of Molecular Biology, Neurobiology Division, Francis Crick Avenue, Cambridge CB2 0QH, UK.

出版信息

Biochim Biophys Acta. 2014 Sep;1842(9):1527-38. doi: 10.1016/j.bbadis.2014.05.029. Epub 2014 Jun 4.

Abstract

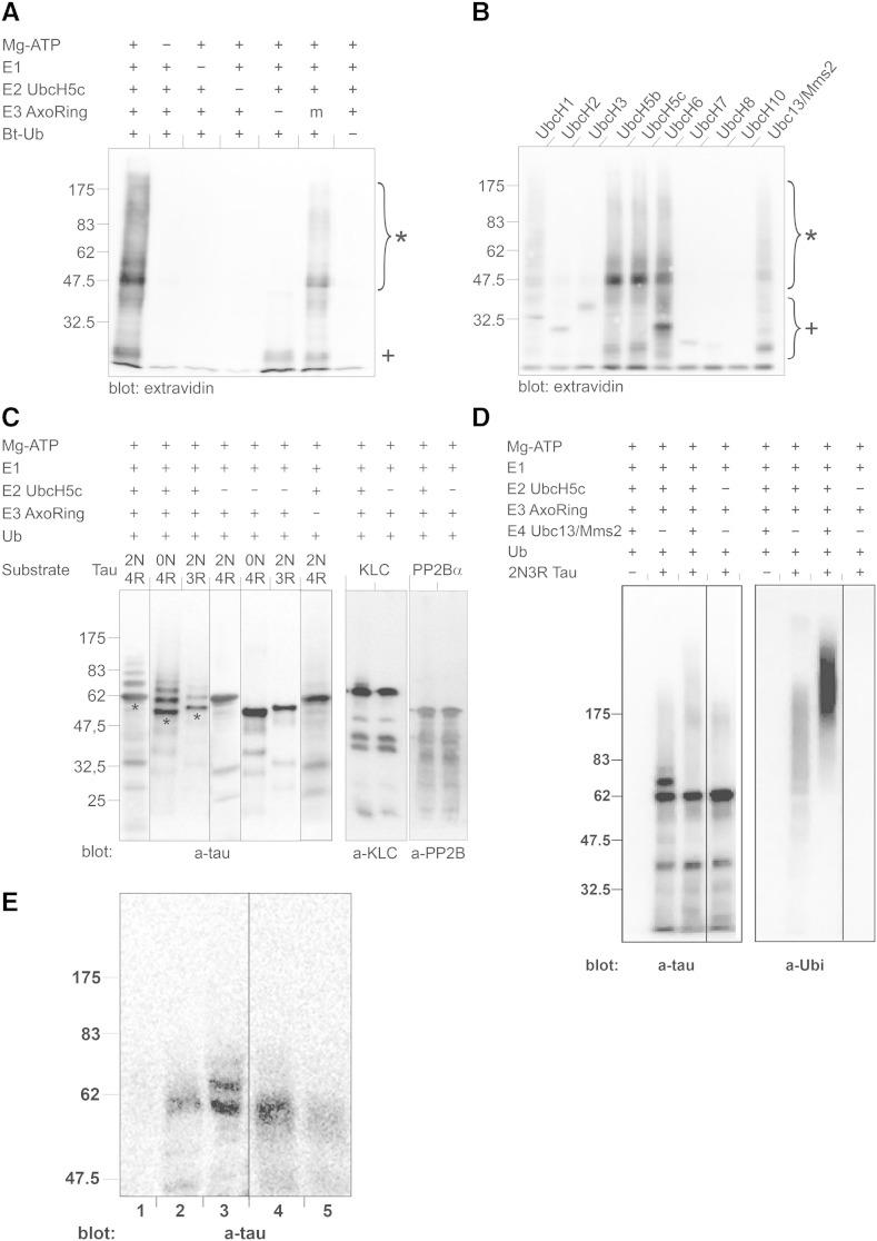
Tau is the major microtubule-associated protein in neurons involved in microtubule stabilization in the axonal compartment. Changes in tau gene expression, alternative splicing and posttranslational modification regulate tau function and in tauopathies can result in tau mislocalization and dysfunction, causing tau aggregation and cell death. To uncover proteins involved in the development of tauopathies, a yeast two-hybrid system was used to screen for tau-interacting proteins. We show that axotrophin/MARCH7, a RING-variant domain containing protein with similarity to E3 ubiquitin ligases interacts with tau. We defined the tau binding domain to amino acids 552-682 of axotrophin comprising the RING-variant domain. Co-immunoprecipitation and co-localization confirmed the specificity of the interaction. Intracellular localization of axotrophin is determined by an N-terminal nuclear targeting signal and a C-terminal nuclear export signal. In AD brain nuclear localization is lost and axotrophin is rather associated with neurofibrillary tangles. We find here that tau becomes mono-ubiquitinated by recombinant tau-interacting RING-variant domain, which diminishes its microtubule-binding. In vitro ubiquitination of four-repeat tau results in incorporation of up to four ubiquitin molecules compared to two molecules in three-repeat tau. In summary, we present a novel tau modification occurring preferentially on 4-repeat tau protein which modifies microtubule-binding and may impact on the pathogenesis of tauopathies.

摘要

Tau是神经元中主要的微管相关蛋白,参与轴突区室的微管稳定。Tau基因表达、可变剪接和翻译后修饰的变化调节Tau功能,在tau蛋白病中可导致Tau定位错误和功能障碍,引起Tau聚集和细胞死亡。为了揭示参与tau蛋白病发展的蛋白质,利用酵母双杂交系统筛选与Tau相互作用的蛋白质。我们发现轴突营养蛋白/MARCH7,一种含有与E3泛素连接酶相似的RING变体结构域的蛋白质,与Tau相互作用。我们将Tau结合结构域定义为轴突营养蛋白的552-682位氨基酸,该区域包含RING变体结构域。免疫共沉淀和共定位证实了这种相互作用的特异性。轴突营养蛋白的细胞内定位由一个N端核靶向信号和一个C端核输出信号决定。在阿尔茨海默病大脑中,核定位丧失,轴突营养蛋白与神经原纤维缠结相关。我们在此发现,重组的与Tau相互作用的RING变体结构域可使Tau单泛素化,这会削弱其与微管的结合。与三重复Tau中两个泛素分子相比,四重复Tau的体外泛素化导致最多四个泛素分子的掺入。总之,我们提出了一种新的Tau修饰,它优先发生在四重复Tau蛋白上,修饰微管结合,并可能影响tau蛋白病的发病机制。

https://cdn.ncbi.nlm.nih.gov/pmc/blobs/cd5b/4311138/dcbe1f404943/gr1.jpg

文献AI研究员

20分钟写一篇综述,助力文献阅读效率提升50倍。

立即体验

用中文搜PubMed

大模型驱动的PubMed中文搜索引擎

马上搜索

文档翻译

学术文献翻译模型,支持多种主流文档格式。

立即体验