Suppr超能文献

神经生长因子通过PI3K/Akt-Rac1-JNK和ERK信号通路促进真皮成纤维细胞迁移,从而加速皮肤伤口愈合。

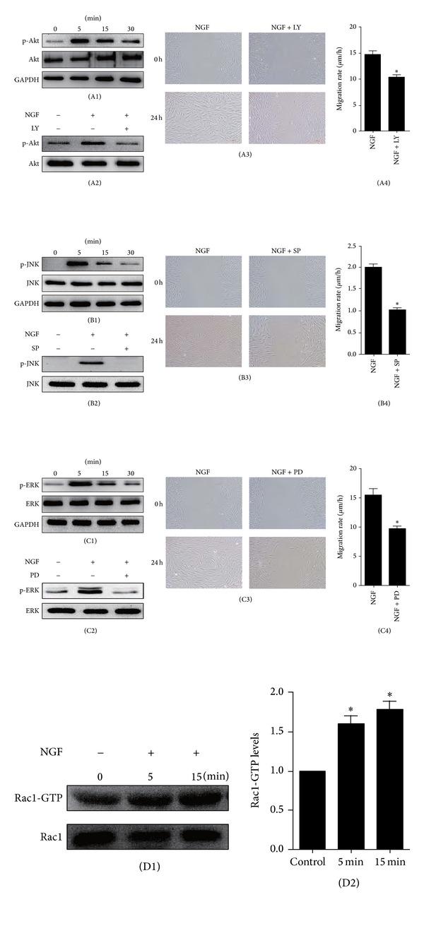
NGF accelerates cutaneous wound healing by promoting the migration of dermal fibroblasts via the PI3K/Akt-Rac1-JNK and ERK pathways.

作者信息

Chen Ji-Cai, Lin Bei-Bei, Hu Hou-Wen, Lin Cai, Jin Wen-Yang, Zhang Fa-Biao, Zhu Yan-An, Lu Cai-Jiao, Wei Xiao-Jie, Chen Rui-Jie

机构信息

Department of Gastrointestinal Surgery, The First Affiliate Hospital, Wenzhou Medical University, Wenzhou 325035, China.

School of Pharmacy, Wenzhou Medical University, Wenzhou 325035, China.

出版信息

Biomed Res Int. 2014;2014:547187. doi: 10.1155/2014/547187. Epub 2014 May 21.

Abstract

As a well-known neurotrophic factor, nerve growth factor (NGF) has also been extensively recognized for its acceleration of healing in cutaneous wounds in both animal models and randomized clinical trials. However, the underlying mechanisms accounting for the therapeutic effect of NGF on skin wounds are not fully understood. NGF treatment significantly accelerated the rate of wound healing by promoting wound reepithelialization, the formation of granulation tissue, and collagen production. To explore the possible mechanisms of this process, the expression levels of CD68, VEGF, PCNA, and TGF-β1 in wounds were detected by immunohistochemical staining. The levels of these proteins were all significantly raised in NGF-treated wounds compared to untreated controls. NGF also significantly promoted the migration, but not the proliferation, of dermal fibroblasts. NGF induced a remarkable increase in the activity of PI3K/Akt, JNK, ERK, and Rac1, and blockade with their specific inhibitors significantly impaired the NGF-induced migration. In conclusion, NGF significantly accelerated the healing of skin excisional wounds in rats and the fibroblast migration induced by NGF may contribute to this healing process. The activation of PI3K/Akt, Rac1, JNK, and ERK were all involved in the regulation of NGF-induced fibroblast migration.

摘要

作为一种著名的神经营养因子,神经生长因子(NGF)在动物模型和随机临床试验中对促进皮肤伤口愈合的作用也已得到广泛认可。然而,NGF对皮肤伤口治疗作用的潜在机制尚未完全明确。NGF治疗通过促进伤口再上皮化、肉芽组织形成和胶原蛋白生成,显著加快了伤口愈合速度。为探究这一过程的可能机制,采用免疫组织化学染色法检测伤口中CD68、VEGF、PCNA和TGF-β1的表达水平。与未处理的对照组相比,NGF处理的伤口中这些蛋白的水平均显著升高。NGF还显著促进了真皮成纤维细胞的迁移,但未促进其增殖。NGF可显著提高PI3K/Akt、JNK、ERK和Rac1的活性,用其特异性抑制剂阻断后,显著削弱了NGF诱导的迁移。总之,NGF显著加速了大鼠皮肤切除伤口的愈合,NGF诱导的成纤维细胞迁移可能有助于这一愈合过程。PI3K/Akt、Rac1、JNK和ERK的激活均参与了NGF诱导的成纤维细胞迁移的调控。

https://cdn.ncbi.nlm.nih.gov/pmc/blobs/43d9/4055427/9e8bf80244d8/BMRI2014-547187.001.jpg

文献AI研究员

20分钟写一篇综述,助力文献阅读效率提升50倍。

立即体验

用中文搜PubMed

大模型驱动的PubMed中文搜索引擎

马上搜索

文档翻译

学术文献翻译模型,支持多种主流文档格式。

立即体验