Suppr超能文献

用于可视化碳水化合物代谢与蛋白质修饰之间代谢相互作用的化学报告分子。

Chemical reporter for visualizing metabolic cross-talk between carbohydrate metabolism and protein modification.

作者信息

Zaro Balyn W, Chuh Kelly N, Pratt Matthew R

机构信息

Department of Chemistry and ‡Department of Molecular and Computational Biology, University of Southern California , Los Angeles, California 90089, United States.

出版信息

ACS Chem Biol. 2014 Sep 19;9(9):1991-6. doi: 10.1021/cb5005564. Epub 2014 Jul 29.

Abstract

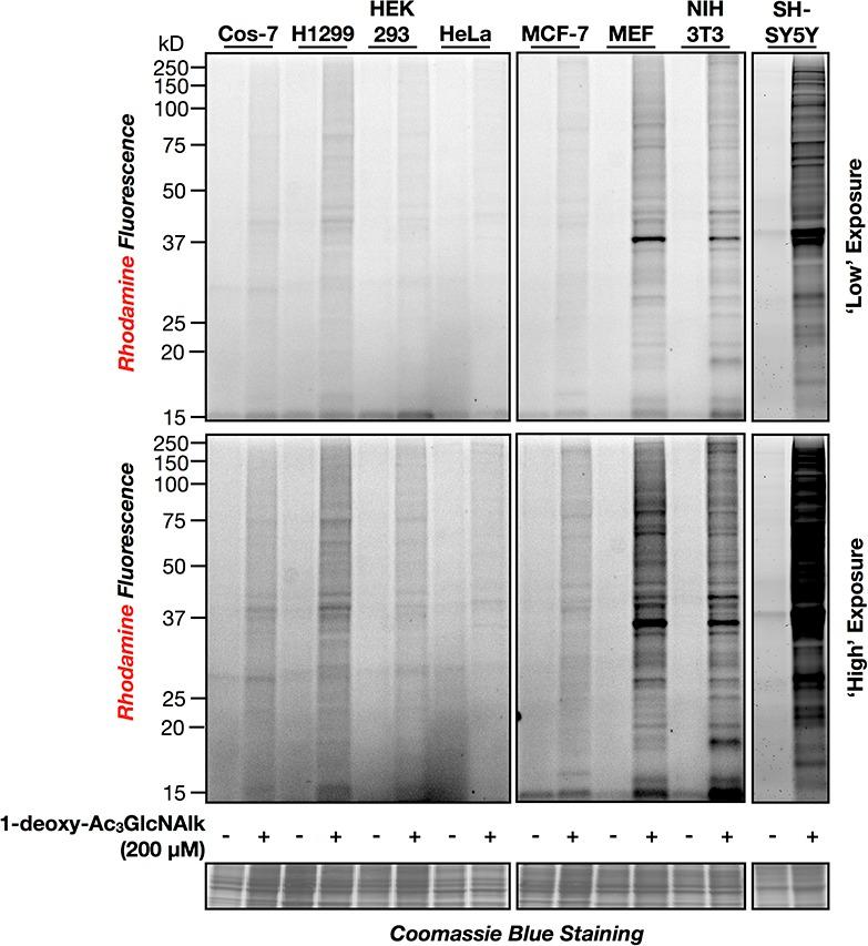
Metabolic chemical reporters have been largely used to study posttranslational modifications. Generally, it was assumed that these reporters entered one biosynthetic pathway, resulting in labeling of one type of modification. However, because they are metabolized by cells before their addition onto proteins, metabolic chemical reporters potentially provide a unique opportunity to read-out on both modifications of interest and cellular metabolism. We report here the development of a metabolic chemical reporter 1-deoxy-N-pentynyl glucosamine (1-deoxy-GlcNAlk). This small-molecule cannot be incorporated into glycans; however, treatment of mammalian cells results in labeling of a variety proteins and enables their visualization and identification. Competition of this labeling with sodium acetate and an acetyltransferase inhibitor suggests that 1-deoxy-GlcNAlk can enter the protein acetylation pathway. These results demonstrate that metabolic chemical reporters have the potential to isolate and potentially discover cross-talk between metabolic pathways in living cells.

摘要

代谢化学报告分子已被广泛用于研究翻译后修饰。一般来说,人们认为这些报告分子进入一条生物合成途径,从而导致一种类型修饰的标记。然而,由于它们在添加到蛋白质之前就被细胞代谢,代谢化学报告分子可能提供了一个独特的机会来读出感兴趣的修饰和细胞代谢情况。我们在此报告一种代谢化学报告分子1-脱氧-N-戊炔基葡糖胺(1-脱氧-GlcNAlk)的开发。这种小分子不能掺入聚糖中;然而,用其处理哺乳动物细胞会导致多种蛋白质被标记,并能够对其进行可视化和鉴定。用乙酸钠和一种乙酰转移酶抑制剂对这种标记进行竞争实验表明,1-脱氧-GlcNAlk可以进入蛋白质乙酰化途径。这些结果表明,代谢化学报告分子有潜力在活细胞中分离并有可能发现代谢途径之间的相互作用。

https://cdn.ncbi.nlm.nih.gov/pmc/blobs/dd2d/4168799/0737802be71e/cb-2014-005564_0001.jpg

文献AI研究员

20分钟写一篇综述,助力文献阅读效率提升50倍。

立即体验

用中文搜PubMed

大模型驱动的PubMed中文搜索引擎

马上搜索

文档翻译

学术文献翻译模型,支持多种主流文档格式。

立即体验