Suppr超能文献

hsa-mir-30c 通过靶向 NOV/CCN3 促进转移性乳腺癌细胞的侵袭表型。

hsa-mir-30c promotes the invasive phenotype of metastatic breast cancer cells by targeting NOV/CCN3.

机构信息

Department of Cell and Developmental Biology, University of Massachusetts Medical School, 55 Lake Ave, North, Worcester 01655, MA, USA ; Current address: Center for Computational Molecular Biology, Department of Molecular Biology, Cell Biology, and Biochemistry, and Department of Computer Science, Brown University, 115 Waterman Street, Providence 02912, RI, USA.

Department of Cell and Developmental Biology, University of Massachusetts Medical School, 55 Lake Ave, North, Worcester 01655, MA, USA ; Current address: Heisenberg-Group for Molecular Skeletal Biology, Department of Trauma, Hand, and Reconstructive Surgery, University Medical Center Hamburg-Eppendorf, Hamburg, Germany.

出版信息

Cancer Cell Int. 2014 Aug 2;14:73. doi: 10.1186/s12935-014-0073-0. eCollection 2014.

Abstract

BACKGROUND

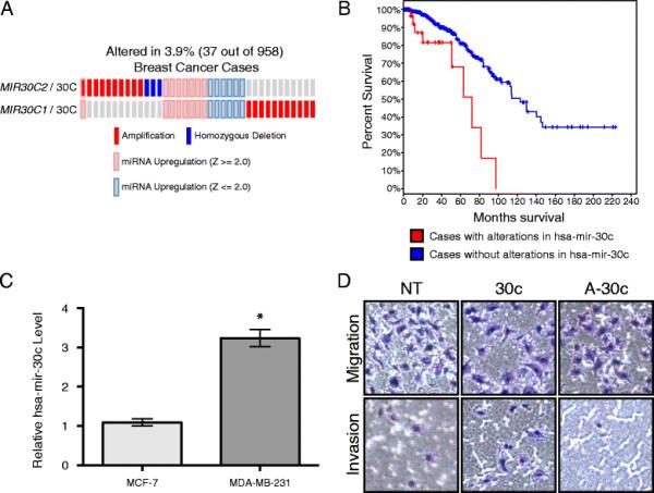
For treatment and prevention of metastatic disease, one of the premier challenges is the identification of pathways and proteins to target for clinical intervention. Micro RNAs (miRNAs) are short, non-coding RNAs, which regulate cellular activities by either mRNA degradation or translational inhibition. Our studies focused on the invasive properties of hsa-mir30c based on its high expression in MDA-MB-231 metastatic cells and our bioinformatic analysis of the Cancer Genome Atlas that identified aberrant hsa-mir-30c to be associated with poor survival.

METHODS

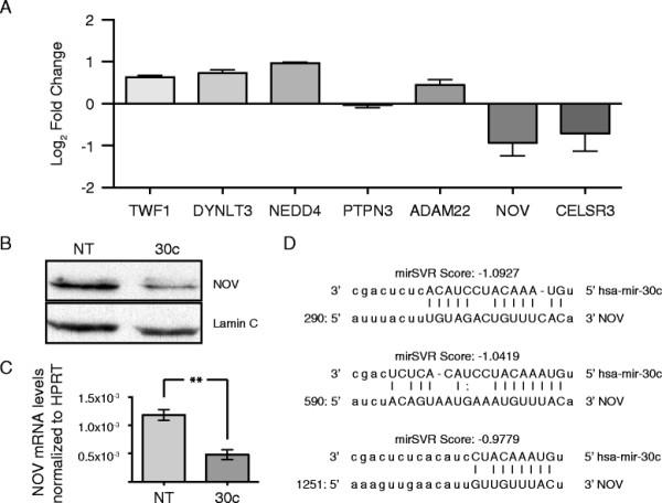
Contributions of hsa-mir-30c to breast cancer cell invasion were examined by Matrigel invasion transwell assays following modulation of hsa-mir-30c or hsa-mir-30c* levels in MDA-MB-231 cells. hsa-mir-30c in silico predicted targets linked to cell invasion were screened for targeting by hsa-mir-30c in metastatic breast cancer cells by RT-qPCR. The contribution to invasion by a target of hsa-mir-30c, Nephroblastoma overexpressed (NOV), was characterized by siRNA and invasion assays. Significant effects were determined using Student's T-tests with Welch's correction for unequal variance.

RESULTS

MCF-7 and MDA-MB-231 cells were used as models of poorly invasive and late-stage metastatic disease, respectively. By modulating the levels of hsa-mir-30c in these cells, we observed concomitant changes in breast cancer cell invasiveness. From predicted targets of hsa-mir-30c that were related to cellular migration and invasion, NOV/CCN3 was identified as a novel target of hsa-mir-30c. Depleting NOV by siRNA caused a significant increase in the invasiveness of MDA-MB-231 cells is a regulatory protein associated with the extracellular matrix.

CONCLUSIONS

NOV/CCN3 expression, which protects cells from invasion, is known in patient tumors to inversely correlate with advanced breast cancer and metastasis. This study has identified a novel target of hsa-mir-30c, NOV, which is an inhibitor of the invasiveness of metastatic breast cancer cells. Thus, hsa-mir-30c-mediated inhibition of NOV levels promotes the invasive phenotype of MDA-MB-231 cells and significantly, the miR-30/NOV pathways is independent of RUNX2, a known target of hsa-mir-30c that promotes osteolytic disease in metastatic breast cancer cells. Our findings allow for mechanistic insight into the clinical observation of poor survival of patients with elevated hsa-mir-30c levels, which can be considered for miRNA-based translational studies.

摘要

背景

为了治疗和预防转移性疾病,首要挑战之一是确定可用于临床干预的途径和蛋白质。微小 RNA(miRNA)是短的非编码 RNA,通过 mRNA 降解或翻译抑制来调节细胞活动。我们的研究集中在基于 hsa-mir30c 在 MDA-MB-231 转移性细胞中高表达的侵袭特性上,并且我们的癌症基因组图谱的生物信息学分析表明异常 hsa-mir-30c 与不良预后相关。

方法

通过在 MDA-MB-231 细胞中调节 hsa-mir-30c 或 hsa-mir-30c*水平,通过 Matrigel 侵袭 Transwell 测定法检查 hsa-mir-30c 对乳腺癌细胞侵袭的贡献。通过 RT-qPCR 筛选与细胞侵袭相关的 hsa-mir-30c 的预测靶标,以确定转移性乳腺癌细胞中 hsa-mir-30c 的靶标。通过 siRNA 和侵袭测定法表征 hsa-mir-30c 靶标 Nephroblastoma overexpressed(NOV)的侵袭贡献。使用具有 Welch 校正的 Student's T 检验确定显著影响,用于不等方差。

结果

MCF-7 和 MDA-MB-231 细胞分别用作侵袭性差和晚期转移性疾病的模型。通过调节这些细胞中 hsa-mir-30c 的水平,我们观察到乳腺癌细胞侵袭性的伴随变化。从与细胞迁移和侵袭相关的 hsa-mir-30c 的预测靶标中,鉴定出 NOV/CCN3 是 hsa-mir-30c 的新靶标。用 siRNA 耗尽 NOV 会导致 MDA-MB-231 细胞的侵袭性显着增加,这是一种与细胞外基质相关的调节蛋白。

结论

NOV/CCN3 表达可保护细胞免受侵袭,在患者肿瘤中已知与晚期乳腺癌和转移呈负相关。这项研究确定了 hsa-mir-30c 的一个新靶标 NOV,它是转移性乳腺癌细胞侵袭性的抑制剂。因此,hsa-mir-30c 介导的 NOV 水平抑制促进了 MDA-MB-231 细胞的侵袭表型,并且显着地,miR-30/NOV 途径独立于 RUNX2,RUNX2 是 hsa-mir-30c 的已知靶标,可促进转移性乳腺癌细胞中的溶骨性疾病。我们的研究结果为临床观察到高水平 hsa-mir-30c 的患者生存不良提供了机制见解,可用于基于 miRNA 的转化研究。

https://cdn.ncbi.nlm.nih.gov/pmc/blobs/0a99/4129468/c466ac8e8c50/s12935-014-0073-0-1.jpg

文献AI研究员

20分钟写一篇综述,助力文献阅读效率提升50倍。

立即体验

用中文搜PubMed

大模型驱动的PubMed中文搜索引擎

马上搜索

文档翻译

学术文献翻译模型,支持多种主流文档格式。

立即体验