Suppr超能文献

微小RNA-146a通过抑制NADPH氧化酶4的表达来减轻高糖/凝血酶诱导的内皮炎症。

MicroRNA-146a decreases high glucose/thrombin-induced endothelial inflammation by inhibiting NAPDH oxidase 4 expression.

作者信息

Wang Huang-Joe, Huang Yuan-Li, Shih Ya-Yun, Wu Hsing-Yu, Peng Ching-Tien, Lo Wan-Yu

机构信息

School of Medicine, China Medical University, No. 91, Hsueh-Shih Road, Taichung 40402, Taiwan ; Division of Cardiology, Department of Medicine, China Medical University Hospital, No. 2, Yuh-Der Road, Taichung 40447, Taiwan.

Department of Biotechnology, College of Medical and Health Science, Asia University, No. 500, Lioufeng Road, Wufeng, Taichung 41354, Taiwan ; Graduate Institute of Basic Medical Science, China Medical University, No. 91, Hsueh-Shih Road, Taichung 40402, Taiwan.

出版信息

Mediators Inflamm. 2014;2014:379537. doi: 10.1155/2014/379537. Epub 2014 Sep 14.

Abstract

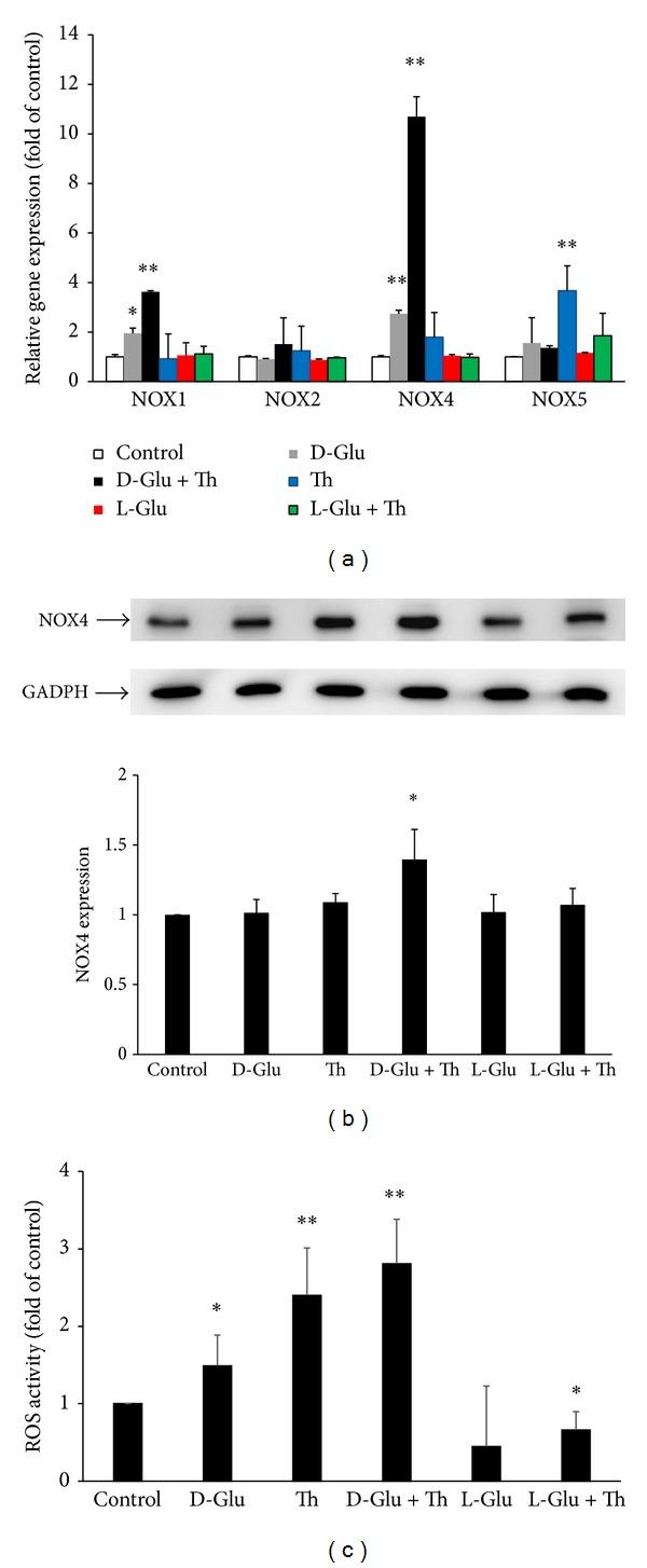
Diabetes is associated with hyperglycemia and increased thrombin production. However, it is unknown whether a combination of high glucose and thrombin can modulate the expression of NAPDH oxidase (Nox) subtypes in human aortic endothelial cells (HAECs). Moreover, we investigated the role of a diabetes-associated microRNA (miR-146a) in a diabetic atherothrombosis model. We showed that high glucose (HG) exerted a synergistic effect with thrombin to induce a 10.69-fold increase in Nox4 mRNA level in HAECs. Increased Nox4 mRNA expression was associated with increased Nox4 protein expression and ROS production. Inflammatory cytokine kit identified that the treatment increased IL-8 and IL-6 levels. Moreover, HG/thrombin treatment caused an 11.43-fold increase of THP-1 adhesion to HAECs. In silico analysis identified the homology between miR-146a and the 3'-untranslated region of the Nox4 mRNA, and a luciferase reporter assay confirmed that the miR-146a mimic bound to this Nox4 regulatory region. Additionally, miR-146a expression was decreased to 58% of that in the control, indicating impaired feedback restraint of HG/thrombin-induced endothelial inflammation. In contrast, miR-146a mimic transfection attenuated HG/thrombin-induced upregulation of Nox4 expression, ROS generation, and inflammatory phenotypes. In conclusion, miR-146a is involved in the regulation of endothelial inflammation via modulation of Nox4 expression in a diabetic atherothrombosis model.

摘要

糖尿病与高血糖及凝血酶生成增加有关。然而,高糖和凝血酶的组合是否能调节人主动脉内皮细胞(HAECs)中NADPH氧化酶(Nox)亚型的表达尚不清楚。此外,我们在糖尿病动脉粥样硬化血栓形成模型中研究了一种与糖尿病相关的微小RNA(miR-146a)的作用。我们发现高糖(HG)与凝血酶发挥协同作用,使HAECs中Nox4 mRNA水平升高10.69倍。Nox4 mRNA表达增加与Nox4蛋白表达增加及活性氧生成增加有关。炎性细胞因子检测表明,该处理使IL-8和IL-6水平升高。此外,HG/凝血酶处理使THP-1对HAECs的黏附增加了11.43倍。计算机分析确定了miR-146a与Nox4 mRNA的3'-非翻译区之间的同源性,荧光素酶报告基因检测证实miR-146a模拟物与该Nox4调控区域结合。此外,miR-146a表达降至对照组的58%,表明HG/凝血酶诱导的内皮炎症的反馈抑制受损。相反,miR-146a模拟物转染减弱了HG/凝血酶诱导的Nox4表达上调、活性氧生成及炎症表型。总之,在糖尿病动脉粥样硬化血栓形成模型中,miR-146a通过调节Nox4表达参与内皮炎症的调控。

https://cdn.ncbi.nlm.nih.gov/pmc/blobs/ba3e/4179945/eb4bfd94bab3/MI2014-379537.001.jpg

文献AI研究员

20分钟写一篇综述,助力文献阅读效率提升50倍。

立即体验

用中文搜PubMed

大模型驱动的PubMed中文搜索引擎

马上搜索

文档翻译

学术文献翻译模型,支持多种主流文档格式。

立即体验