Suppr超能文献

Gli1基因单倍体不足会导致成年小鼠骨量减少,并伴有骨代谢解偶联。

Gli1 haploinsufficiency leads to decreased bone mass with an uncoupling of bone metabolism in adult mice.

作者信息

Kitaura Yoshiaki, Hojo Hironori, Komiyama Yuske, Takato Tsuyoshi, Chung Ung-il, Ohba Shinsuke

机构信息

Department of Sensory and Motor System Medicine, The University of Tokyo Graduate School of Medicine, Bunkyo-ku, Tokyo, Japan; Division of Clinical Biotechnology, The University of Tokyo Graduate School of Medicine, Bunkyo-ku, Tokyo, Japan.

Department of Sensory and Motor System Medicine, The University of Tokyo Graduate School of Medicine, Bunkyo-ku, Tokyo, Japan.

出版信息

PLoS One. 2014 Oct 14;9(10):e109597. doi: 10.1371/journal.pone.0109597. eCollection 2014.

Abstract

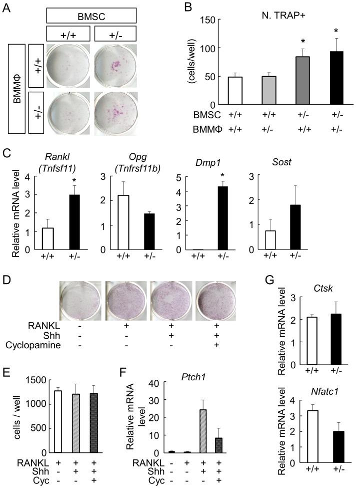
Hedgehog (Hh) signaling plays important roles in various development processes. This signaling is necessary for osteoblast formation during endochondral ossification. In contrast to the established roles of Hh signaling in embryonic bone formation, evidence of its roles in adult bone homeostasis is not complete. Here we report the involvement of Gli1, a transcriptional activator induced by Hh signaling activation, in postnatal bone homeostasis under physiological and pathological conditions. Skeletal analyses of Gli1+/- adult mice revealed that Gli1 haploinsufficiency caused decreased bone mass with reduced bone formation and accelerated bone resorption, suggesting an uncoupling of bone metabolism. Hh-mediated osteoblast differentiation was largely impaired in cultures of Gli1+/- precursors, and the impairment was rescued by Gli1 expression via adenoviral transduction. In addition, Gli1+/- precursors showed premature differentiation into osteocytes and increased ability to support osteoclastogenesis. When we compared fracture healing between wild-type and Gli1+/- adult mice, we found that the Gli1+/- mice exhibited impaired fracture healing with insufficient soft callus formation. These data suggest that Gli1, acting downstream of Hh signaling, contributes to adult bone metabolism, in which this molecule not only promotes osteoblast differentiation but also represses osteoblast maturation toward osteocytes to maintain normal bone homeostasis.

摘要

刺猬信号通路(Hh)在多种发育过程中发挥着重要作用。该信号通路在软骨内成骨过程中对成骨细胞的形成是必需的。与Hh信号通路在胚胎骨形成中已确立的作用相反,其在成年骨稳态中的作用证据尚不完整。在此,我们报告Gli1(一种由Hh信号通路激活诱导的转录激活因子)在生理和病理条件下参与出生后骨稳态的维持。对Gli1+/-成年小鼠的骨骼分析显示,Gli1单倍体不足导致骨量减少,骨形成减少且骨吸收加速,提示骨代谢失衡。在Gli1+/-前体细胞培养物中,Hh介导的成骨细胞分化在很大程度上受损,通过腺病毒转导表达Gli1可挽救这种损伤。此外,Gli1+/-前体细胞表现出过早分化为骨细胞,并增强了支持破骨细胞生成的能力。当我们比较野生型和Gli1+/-成年小鼠的骨折愈合情况时,发现Gli1+/-小鼠骨折愈合受损,软痂形成不足。这些数据表明,Gli1作为Hh信号通路的下游分子,有助于成年骨代谢,其中该分子不仅促进成骨细胞分化,还抑制成骨细胞向骨细胞的成熟,以维持正常的骨稳态。

https://cdn.ncbi.nlm.nih.gov/pmc/blobs/36d5/4196929/cd793c474db4/pone.0109597.g001.jpg

文献AI研究员

20分钟写一篇综述,助力文献阅读效率提升50倍。

立即体验

用中文搜PubMed

大模型驱动的PubMed中文搜索引擎

马上搜索

文档翻译

学术文献翻译模型,支持多种主流文档格式。

立即体验