Suppr超能文献

接种血管内皮生长因子165修饰毛囊干细胞的明胶-硫酸软骨素-6-硫酸酯-透明质酸支架作为三维皮肤替代物。

Gelatin-chondroitin-6-sulfate-hyaluronic acid scaffold seeded with vascular endothelial growth factor 165 modified hair follicle stem cells as a three-dimensional skin substitute.

作者信息

Quan Renfu, Zheng Xuan, Xu Shichao, Zhang Liang, Yang Disheng

出版信息

Stem Cell Res Ther. 2014 Oct 20;5(5):118. doi: 10.1186/scrt508.

Abstract

INTRODUCTION

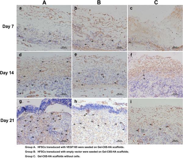
In the field of skin tissue engineering, gelatin-chondroitin-6-sulfate-hyaluronic acid (Gel-C6S-HA) stents are a suitable bio skin substitute. The purpose was to investigate the effect of genetically-modified hair follicle stem cells (HFSCs), combined with Gel-C6S-HA scaffolds, on the vascularization of tissue-engineered skin.

METHODS

Three-dimensional (3D) Gel-C6S-HA scaffolds were prepared by freeze-drying. Vascular endothelial growth factor (VEGF) 165 gene-modified rat HFSCs (rHFSCs) were inoculated into the scaffolds and cultured for 7 days. Two bilateral full-thickness skin defects were created on the back of 18 Sprague-Dawley rats. Rats were randomly divided into four groups: Group A, HFSCs transduced with VEGF165 seeded onto Gel-C6S-HA scaffolds; Group B, HFSCs transduced with empty vector seeded onto Gel-C6S-HA scaffolds; Group C, Gel-C6S-HA scaffold only; Group D, Vaseline gauze dressing. These compositions were implanted onto the defects and harvested at 7, 14 and 21 days. Wound healing was assessed and compared among groups according to hematoxylin-eosin staining, CD31 expression, alpha smooth muscle actin (α-SMA) and major histocompatibility complex class I (MHC-I) immunohistochemistry, and microvessel density (MVD) count, to evaluate the new blood vessels.

RESULTS

SEM revealed the Gel-C6S-HA scaffold was spongy and 3D, with an average pore diameter of 133.23 ± 43.36 μm. Cells seeded on scaffolds showed good adherent growth after 7 days culture. No significant difference in rHFSC morphology, adherence and proliferative capacity was found before and after transfection (P >0.05). After 14 and 21 days, the highest rate of wound healing was observed in Group A (P <0.05). Histological and immunological examination showed that after 21 days, MVD also reached a maximum in Group A (P <0.05). Therefore, the number of new blood vessels formed within the skin substitutes was greatest in Group A, followed by Group B. In Group C, only trace amounts of mature subcutaneous blood vessels were observed, and few subcutaneous tissue cells migrated into the scaffolds.

CONCLUSIONS

Tissue-engineered skin constructs, using 3D Gel-C6S-HA scaffolds seeded with VEGF165-modified rHFSCs, resulted in promotion of angiogenesis during wound healing and facilitation of vascularization in skin substitutes. This may be a novel approach for tissue-engineered skin substitutes.

摘要

引言

在皮肤组织工程领域,明胶-6-硫酸软骨素-透明质酸(Gel-C6S-HA)支架是一种合适的生物皮肤替代品。目的是研究基因修饰的毛囊干细胞(HFSCs)与Gel-C6S-HA支架相结合对组织工程皮肤血管化的影响。

方法

通过冷冻干燥制备三维(3D)Gel-C6S-HA支架。将血管内皮生长因子(VEGF)165基因修饰的大鼠HFSCs(rHFSCs)接种到支架中并培养7天。在18只Sprague-Dawley大鼠的背部制造两个双侧全层皮肤缺损。大鼠被随机分为四组:A组,将转导VEGF165的HFSCs接种到Gel-C6S-HA支架上;B组,将转导空载体的HFSCs接种到Gel-C6S-HA支架上;C组,仅使用Gel-C6S-HA支架;D组,凡士林纱布敷料。将这些组合物植入缺损处,并在7、14和21天收获。根据苏木精-伊红染色、CD31表达、α平滑肌肌动蛋白(α-SMA)和主要组织相容性复合体I类(MHC-I)免疫组织化学以及微血管密度(MVD)计数评估并比较各组的伤口愈合情况,以评估新生血管。

结果

扫描电子显微镜显示Gel-C6S-HA支架呈海绵状且为三维结构,平均孔径为133.23±43.36μm。接种在支架上的细胞在培养7天后显示出良好的贴壁生长。转染前后rHFSC的形态、黏附及增殖能力无显著差异(P>0.05)。14天和21天后,A组观察到最高的伤口愈合率(P<0.05)。组织学和免疫学检查显示,21天后,A组的MVD也达到最大值(P<0.05)。因此皮肤替代物中形成的新生血管数量在A组最多,其次是B组。在C组中,仅观察到微量成熟的皮下血管,很少有皮下组织细胞迁移到支架中。

结论

使用接种VEGF165修饰的rHFSCs的3D Gel-C6S-HA支架构建的组织工程皮肤,在伤口愈合过程中促进了血管生成,并促进了皮肤替代物的血管化。这可能是一种用于组织工程皮肤替代物的新方法。

https://cdn.ncbi.nlm.nih.gov/pmc/blobs/1cf6/4535258/22b9afb2bce4/13287_2014_431_Fig1_HTML.jpg

文献AI研究员

20分钟写一篇综述,助力文献阅读效率提升50倍。

立即体验

用中文搜PubMed

大模型驱动的PubMed中文搜索引擎

马上搜索

文档翻译

学术文献翻译模型,支持多种主流文档格式。

立即体验