Suppr超能文献

肌萎缩侧索硬化症小鼠模型肢体和眼外肌中神经营养因子的分析

Analysis of neurotrophic factors in limb and extraocular muscles of mouse model of amyotrophic lateral sclerosis.

作者信息

Harandi Vahid M, Lindquist Susanne, Kolan Shrikant Shantilal, Brännström Thomas, Liu Jing-Xia

机构信息

Department of Integrative Medical Biology, Section for Anatomy, Umeå University, Umeå, Sweden.

Department of Clinical Sciences, Pediatrics, Umeå University, Umeå, Sweden.

出版信息

PLoS One. 2014 Oct 15;9(10):e109833. doi: 10.1371/journal.pone.0109833. eCollection 2014.

Abstract

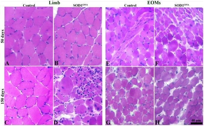
Amyotrophic lateral sclerosis (ALS) is currently an incurable fatal motor neuron syndrome characterized by progressive weakness, muscle wasting and death ensuing 3-5 years after diagnosis. Neurotrophic factors (NTFs) are known to be important in both nervous system development and maintenance. However, the attempt to translate the potential of NTFs into the therapeutic options remains limited despite substantial number of approaches, which have been tested clinically. Using quantitative RT-PCR (qRT-PCR) technique, the present study investigated mRNA expression of four different NTFs: brain-derived neurotrophic factor (BDNF), neurotrophin-3 (NT-3), neurotrophin-4/5 (NT-4) and glial cell line-derived neurotrophic factor (GDNF) in limb muscles and extraocular muscles (EOMs) from SOD1G93A transgenic mice at early and terminal stages of ALS. General morphological examination revealed that muscle fibres were well preserved in both limb muscles and EOMs in early stage ALS mice. However, in terminal ALS mice, most muscle fibres were either atrophied or hypertrophied in limb muscles but unaffected in EOMs. qRT-PCR analysis showed that in early stage ALS mice, NT-4 was significantly down-regulated in limb muscles whereas NT-3 and GDNF were markedly up-regulated in EOMs. In terminal ALS mice, only GDNF was significantly up-regulated in limb muscles. We concluded that the early down-regulation of NT-4 in limb muscles is closely associated with muscle dystrophy and dysfunction at late stage, whereas the early up-regulations of GDNF and NT-3 in EOMs are closely associated with the relatively well-preserved muscle morphology at late stage. Collectively, the data suggested that comparing NTFs expression between limb muscles and EOMs from different stages of ALS animal models is a useful method in revealing the patho-physiology and progression of ALS, and eventually rescuing motor neuron in ALS patients.

摘要

肌萎缩侧索硬化症(ALS)目前是一种无法治愈的致命性运动神经元综合征,其特征为进行性肌无力、肌肉萎缩,且在确诊后3至5年内会导致死亡。已知神经营养因子(NTFs)在神经系统发育和维持过程中都很重要。然而,尽管已经有大量方法在临床上进行了测试,但将NTFs的潜力转化为治疗选择的尝试仍然有限。本研究使用定量逆转录聚合酶链反应(qRT-PCR)技术,调查了超氧化物歧化酶1甘氨酸93丙氨酸(SOD1G93A)转基因小鼠在ALS早期和终末期时,四肢肌肉和眼外肌(EOMs)中四种不同神经营养因子的信使核糖核酸(mRNA)表达情况,这四种神经营养因子分别是脑源性神经营养因子(BDNF)、神经营养因子-3(NT-3)、神经营养因子-4/5(NT-4)和胶质细胞系源性神经营养因子(GDNF)。大体形态学检查显示,在ALS早期小鼠的四肢肌肉和EOMs中,肌纤维保存良好。然而,在ALS终末期小鼠中,四肢肌肉中的大多数肌纤维要么萎缩要么肥大,但EOMs未受影响。qRT-PCR分析表明,在ALS早期小鼠中,NT-4在四肢肌肉中显著下调,而NT-3和GDNF在EOMs中显著上调。在ALS终末期小鼠中,只有GDNF在四肢肌肉中显著上调。我们得出结论,四肢肌肉中NT-4的早期下调与后期的肌肉萎缩和功能障碍密切相关,而EOMs中GDNF和NT-3的早期上调与后期相对保存良好的肌肉形态密切相关。总体而言,数据表明,比较ALS动物模型不同阶段的四肢肌肉和EOMs中的NTFs表达,是揭示ALS病理生理学和进展情况,并最终拯救ALS患者运动神经元的一种有用方法。

https://cdn.ncbi.nlm.nih.gov/pmc/blobs/ccc9/4198138/3c79fc04978d/pone.0109833.g001.jpg

文献AI研究员

20分钟写一篇综述,助力文献阅读效率提升50倍。

立即体验

用中文搜PubMed

大模型驱动的PubMed中文搜索引擎

马上搜索

文档翻译

学术文献翻译模型,支持多种主流文档格式。

立即体验