Suppr超能文献

氟康唑会改变加氏隐球菌的多糖荚膜,并在小鼠隐球菌病中导致不同的表现。

Fluconazole alters the polysaccharide capsule of Cryptococcus gattii and leads to distinct behaviors in murine Cryptococcosis.

作者信息

Santos Julliana Ribeiro Alves, Holanda Rodrigo Assunção, Frases Susana, Bravim Mayara, Araujo Glauber de S, Santos Patrícia Campi, Costa Marliete Carvalho, Ribeiro Maira Juliana Andrade, Ferreira Gabriella Freitas, Baltazar Ludmila Matos, Miranda Aline Silva, Oliveira Danilo Bretas, Santos Carolina Maria Araújo, Fontes Alide Caroline Lima, Gouveia Ludmila Ferreira, Resende-Stoianoff Maria Aparecida, Abrahão Jonatas Santos, Teixeira Antônio Lúcio, Paixão Tatiane Alves, Souza Danielle G, Santos Daniel Assis

机构信息

Departamento de Microbiologia, Instituto de Ciências Biológicas, Universidade Federal de Minas Gerais, Minas Gerais, Brazil.

Laboratório de Ultraestrutura Celular Hertha Meyer, Instituto de Biofísica Carlos Chagas Filho, Universidade Federal do Rio de Janeiro, Rio de Janeiro, Brazil; Laboratório de Biotecnologia (LABIO), Instituto Nacional de Metrologia, Normalização e Qualidade Industrial (INMETRO), Rio de Janeiro, Brazil.

出版信息

PLoS One. 2014 Nov 13;9(11):e112669. doi: 10.1371/journal.pone.0112669. eCollection 2014.

Abstract

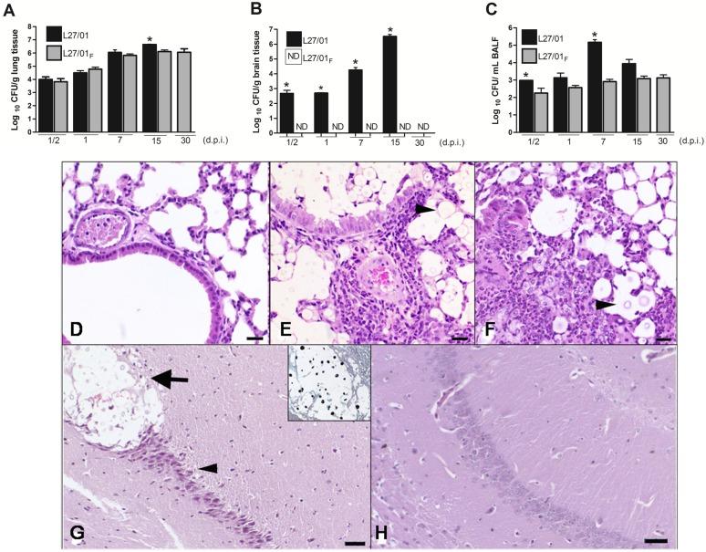
Cryptococcus gattii is an emergent human pathogen. Fluconazole is commonly used for treatment of cryptococcosis, but the emergence of less susceptible strains to this azole is a global problem and also the data regarding fluconazole-resistant cryptococcosis are scarce. We evaluate the influence of fluconazole on murine cryptococcosis and whether this azole alters the polysaccharide (PS) from cryptococcal cells. L27/01 strain of C. gattii was cultivated in high fluconazole concentrations and developed decreased drug susceptibility. This phenotype was named L27/01F, that was less virulent than L27/01 in mice. The physical, structural and electrophoretic properties of the PS capsule of L27/01F were altered by fluconazole. L27/01F presented lower antiphagocytic properties and reduced survival inside macrophages. The L27/01F did not affect the central nervous system, while the effect in brain caused by L27/01 strain began after only 12 hours. Mice infected with L27/01F presented lower production of the pro-inflammatory cytokines, with increased cellular recruitment in the lungs and severe pulmonary disease. The behavioral alterations were affected by L27/01, but no effects were detected after infection with L27/01F. Our results suggest that stress to fluconazole alters the capsule of C. gattii and influences the clinical manifestations of cryptococcosis.

摘要

加氏隐球菌是一种新出现的人类病原体。氟康唑常用于治疗隐球菌病,但对这种唑类药物敏感性降低的菌株的出现是一个全球性问题,而且关于耐氟康唑隐球菌病的数据也很稀少。我们评估了氟康唑对小鼠隐球菌病的影响,以及这种唑类药物是否会改变隐球菌细胞的多糖(PS)。加氏隐球菌L27/01菌株在高浓度氟康唑中培养后对药物的敏感性降低。这种表型被命名为L27/01F,其在小鼠中的毒力低于L27/01。氟康唑改变了L27/01F的PS荚膜的物理、结构和电泳特性。L27/01F表现出较低的抗吞噬特性,在巨噬细胞内的存活率降低。L27/01F不会影响中枢神经系统,而L27/01菌株对大脑的影响仅在12小时后开始。感染L27/01F的小鼠促炎细胞因子的产生较低,肺部细胞募集增加,肺部疾病严重。行为改变受L27/01影响,但感染L27/01F后未检测到影响。我们的结果表明,氟康唑应激会改变加氏隐球菌的荚膜,并影响隐球菌病的临床表现。

https://cdn.ncbi.nlm.nih.gov/pmc/blobs/7b64/4231059/902e858a27f4/pone.0112669.g001.jpg

文献AI研究员

20分钟写一篇综述,助力文献阅读效率提升50倍。

立即体验

用中文搜PubMed

大模型驱动的PubMed中文搜索引擎

马上搜索

文档翻译

学术文献翻译模型,支持多种主流文档格式。

立即体验