Suppr超能文献

苗药传统方剂糖宁通络方对两种啮齿动物模型降血糖疗效的评价

Evaluation of hypoglycemic efficacy of tangningtongluo formula, a traditional Chinese Miao medicine, in two rodent animal models.

作者信息

Cheng Long, Meng Xiang-bao, Lu Shan, Wang Ting-ting, Liu Yue, Sun Gui-bo, Sun Xiao-bo

机构信息

Key Laboratory of Bioactive Substances and Resources Utilization of Chinese Herbal Medicine, Institute of Medicinal Plant Development, Chinese Academy of Medical Sciences and Peking Union Medical College, Ministry of Education, No. 151, Malianwa North Road, Haidian District, Beijing 100193, China.

Heilongjiang University of Chinese Medicine, Harbin, Heilongjiang 150040, China.

出版信息

J Diabetes Res. 2014;2014:745419. doi: 10.1155/2014/745419. Epub 2014 Nov 5.

Abstract

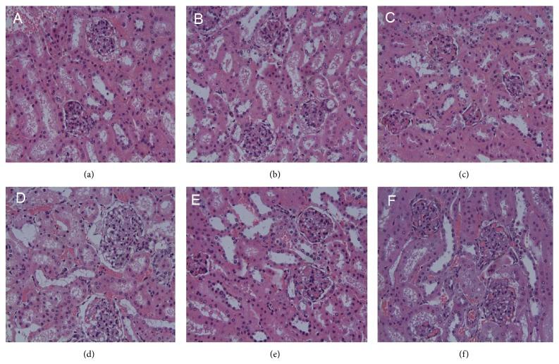
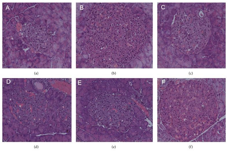
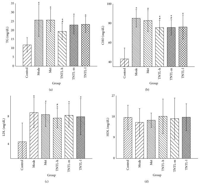
Traditional Chinese medicines largely lack adequate and scientifically rigorous evidence regarding efficacy and functional mechanisms. The present study was aimed to confirm the hypoglycemic effect of Tangningtongluo (TNTL) formula, a traditional Chinese Miao medicine, in two animal models: high-fat diet and streptozotocin- (STZ-) induced diabetic rats and C57BL/KsJ-db/db diabetic mice. After 4 weeks, TNTL intervention in STZ-induced diabetic rats yielded in significant improvement on the glucose tolerance test. Moreover, the islet histopathology showed that oral TNTL reduced the severity of islet necrosis in pancreases tissue. Compared with diabetic controls, a 12-week TNTL treatment regimen (dosages = 0.9, 1.8, and 3.6 g/kg) in db/db mice significantly decreased fasting glucose and HbA1c. Additionally, oral glucose tolerance in TNTL-treated mice improved significantly, compared with diabetic mice receiving metformin. Finally, tissue histopathology and biochemical index evaluations revealed significant improvement in TNTL-treated mice. Taken together, our results show that TNTL exerted a strong hypoglycemic effect in two diabetic rodent animal models, preserving β-cells in the pancreas islet and reducing the risk of diabetic retinopathy and nephropathy.

摘要

中药在很大程度上缺乏关于疗效和作用机制的充分且科学严谨的证据。本研究旨在证实一种传统中国苗族药物糖宁通络(TNTL)配方在两种动物模型中的降血糖作用:高脂饮食和链脲佐菌素(STZ)诱导的糖尿病大鼠以及C57BL/KsJ-db/db糖尿病小鼠。4周后,对STZ诱导的糖尿病大鼠进行TNTL干预,葡萄糖耐量试验有显著改善。此外,胰岛组织病理学显示,口服TNTL降低了胰腺组织中胰岛坏死的严重程度。与糖尿病对照组相比,对db/db小鼠进行为期12周的TNTL治疗方案(剂量=0.9、1.8和3.6 g/kg)可显著降低空腹血糖和糖化血红蛋白(HbA1c)。此外,与接受二甲双胍治疗的糖尿病小鼠相比,TNTL治疗的小鼠口服葡萄糖耐量有显著改善。最后,组织病理学和生化指标评估显示TNTL治疗的小鼠有显著改善。综上所述,我们的结果表明,TNTL在两种糖尿病啮齿动物模型中具有强大的降血糖作用,可保护胰腺胰岛中的β细胞,并降低糖尿病视网膜病变和肾病的风险。

https://cdn.ncbi.nlm.nih.gov/pmc/blobs/21b5/4238278/a63e97d86845/JDR2014-745419.001.jpg

文献AI研究员

20分钟写一篇综述,助力文献阅读效率提升50倍。

立即体验

用中文搜PubMed

大模型驱动的PubMed中文搜索引擎

马上搜索

文档翻译

学术文献翻译模型,支持多种主流文档格式。

立即体验