Suppr超能文献

长期跑步机运动可减轻P301S tau转基因小鼠的tau病理变化。

Long-term treadmill exercise attenuates tau pathology in P301S tau transgenic mice.

作者信息

Ohia-Nwoko Odochi, Montazari Saghi, Lau Yuen-Sum, Eriksen Jason L

机构信息

Department of Pharmacological and Pharmaceutical Sciences, University of Houston, 521 Science and Research Building 2, 4800 Calhoun Road, Houston, TX 77204, USA.

出版信息

Mol Neurodegener. 2014 Nov 28;9:54. doi: 10.1186/1750-1326-9-54.

Abstract

BACKGROUND

Recent epidemiological evidence suggests that modifying lifestyle by increasing physical activity could be a non-pharmacological approach to improving symptoms and slowing disease progression in Alzheimer's disease and other tauopathies. Previous studies have shown that exercise reduces tau hyperphosphorylation, however, it is not known whether exercise reduces the accumulation of soluble or insoluble tau aggregates and neurofibrillary tangles, which are both neuropathological hallmarks of neurodegenerative tauopathy. In this study, 7-month old P301S tau transgenic mice were subjected to 12-weeks of forced treadmill exercise and evaluated for effects on motor function and tau pathology at 10 months of age.

RESULTS

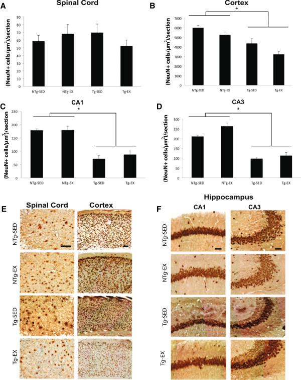
Exercise improved general locomotor and exploratory activity and resulted in significant reductions in full-length and hyperphosphorylated tau in the spinal cord and hippocampus as well as a reduction in sarkosyl-insoluble AT8-tau in the spinal cord. Exercise did not attenuate significant neuron loss in the hippocampus or cortex. Key proteins involved in autophagy-microtubule-associated protein 1A/1B light chain 3 and p62/sequestosome 1 -were also measured to assess whether autophagy is implicated in the exercised-induced reduction of aggregated tau protein. There were no significant effects of forced treadmill exercise on autophagy protein levels in P301S mice.

CONCLUSIONS

Our results suggest that forced treadmill exercise differently affects the brain and spinal cord of aged P301S tau mice, with greater benefits observed in the spinal cord versus the brain. Our work adds to the growing body of evidence that exercise is beneficial in tauopathy, however these benefits may be more limited at later stages of disease.

摘要

背景

近期的流行病学证据表明,通过增加体育活动来改变生活方式可能是一种改善阿尔茨海默病和其他tau蛋白病症状并减缓疾病进展的非药物方法。先前的研究表明运动可减少tau蛋白的过度磷酸化,然而,尚不清楚运动是否能减少可溶性或不可溶性tau蛋白聚集体及神经原纤维缠结的积累,而这两者都是神经退行性tau蛋白病的神经病理学特征。在本研究中,对7月龄的P301S tau转基因小鼠进行为期12周的强迫跑步机运动,并在10月龄时评估其对运动功能和tau蛋白病理学的影响。

结果

运动改善了一般运动和探索活动,并导致脊髓和海马中全长和过度磷酸化tau蛋白显著减少,以及脊髓中 Sarkosyl不溶性AT8-tau减少。运动并未减轻海马或皮质中明显的神经元损失。还测量了参与自噬的关键蛋白——微管相关蛋白1A/1B轻链3和p62/隔离小体1——以评估自噬是否与运动诱导的聚集tau蛋白减少有关。强迫跑步机运动对P301S小鼠的自噬蛋白水平没有显著影响。

结论

我们的结果表明,强迫跑步机运动对老年P301S tau小鼠的大脑和脊髓有不同影响,脊髓中的益处比大脑中更明显。我们的工作进一步证明了运动对tau蛋白病有益,然而这些益处可能在疾病后期更为有限。

https://cdn.ncbi.nlm.nih.gov/pmc/blobs/81ee/4280713/f00f98751df3/13024_2014_567_Fig1_HTML.jpg

文献AI研究员

20分钟写一篇综述,助力文献阅读效率提升50倍。

立即体验

用中文搜PubMed

大模型驱动的PubMed中文搜索引擎

马上搜索

文档翻译

学术文献翻译模型,支持多种主流文档格式。

立即体验