Suppr超能文献

多重逆转录环介导等温扩增与免疫层析试纸条联用用于甲型流感病毒亚型分型

Combination of multiplex reverse-transcription loop-mediated isothermal amplification with an immunochromatographic strip for subtyping influenza A virus.

作者信息

Jung Jae Hwan, Oh Seung Jun, Kim Yong Tae, Kim So Yeon, Kim Won-Jung, Jung Jaean, Seo Tae Seok

机构信息

Department of Chemical and Biomolecular Engineering (BK21+ Program) and Institute for the BioCentury, Korea Advanced Institute of Science and Technology (KAIST), 291 Daehak-ro, Yuseong-gu, Daejeon 305-701, Republic of Korea.

Medisensor GH, Inc., 155-1 Nongso-ri, Juchon-myeon, Gimhae-si, Gyeongsangnam-do 621-841, Republic of Korea.

出版信息

Anal Chim Acta. 2015 Jan 1;853:541-547. doi: 10.1016/j.aca.2014.10.020. Epub 2014 Oct 16.

Abstract

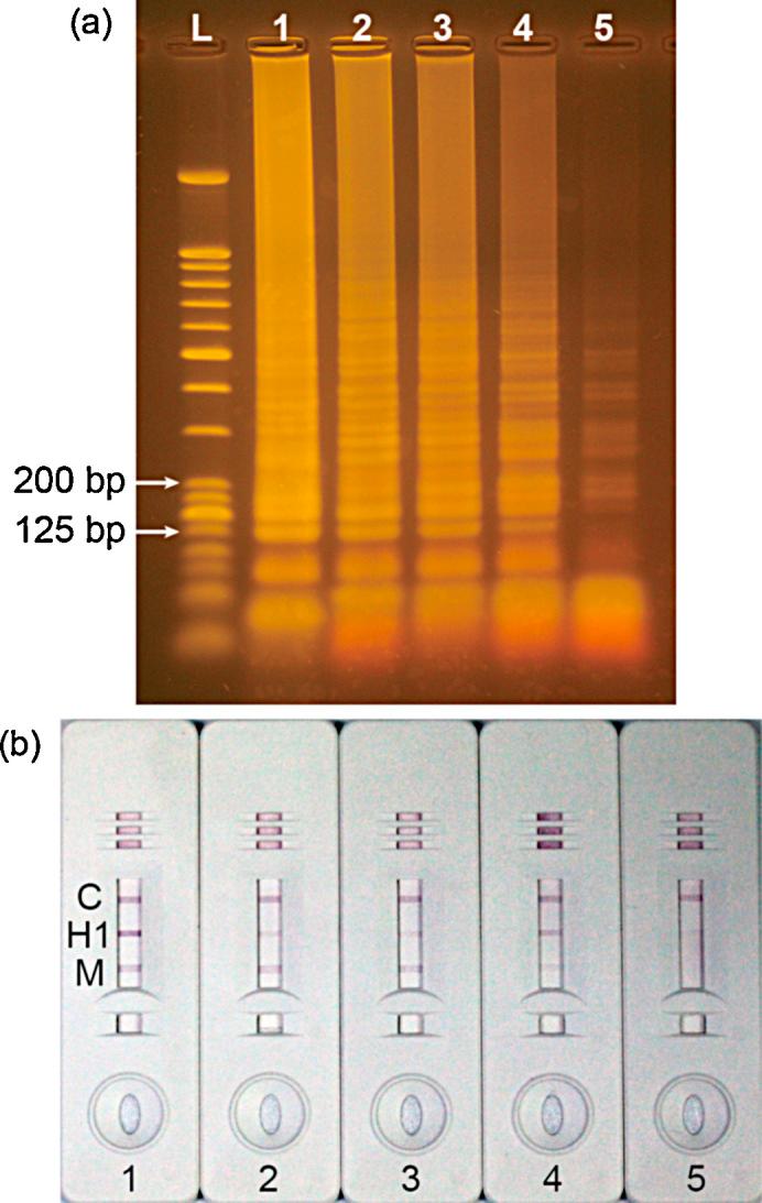
Considering the fatal human victims and economic loss by the annual epidemic influenza virus, the development of a rapid and convenient genetic analysis methodology is demanding for timely on-site pathogen detection. In this study, we utilized reverse-transcription loop-mediated isothermal amplification (RT-LAMP) for multiplex target gene amplification, and the resultant amplicons were analyzed on the immunochromatographic strip (ICS) for subtyping influenza A virus. Through the optimized primer design, reaction temperature and time, and concentration of enzymes (Bst DNA polymerase and AMV reverse transcriptase) and dNTP, the HA (H1, H3, and H5 gene) and conserved M gene were amplified. The ICS contains two test lines in addition to a control line in order to detect the presence of the HA and M gene, thereby informing us of influenza virus A type as well as its subtype (H1N1, H3N2, and H5N1). The combination of the multiplex RT-LAMP with the ICS could be complete in 40 min and the pathotyping and subtyping of influenza A virus were performed even with 10 copies of viral RNA templates. Moreover, the subtyping of clinical samples, which were obtained from patients infected by influenza A virus was successfully confirmed using the multiplex RT-LAMP and ICS techniques, showing great feasibility of our methodology for real sample analysis with high speed, simplicity and sensitivity.

摘要

考虑到每年流行性感冒病毒造成的致命人员伤亡和经济损失,开发一种快速便捷的基因分析方法对于及时进行现场病原体检测至关重要。在本研究中,我们利用逆转录环介导等温扩增(RT-LAMP)进行多重靶基因扩增,并在免疫层析试纸条(ICS)上分析所得扩增产物以对甲型流感病毒进行亚型分型。通过优化引物设计、反应温度和时间以及酶(Bst DNA聚合酶和AMV逆转录酶)和dNTP的浓度,扩增了HA(H1、H3和H5基因)和保守的M基因。ICS除了对照线外还包含两条检测线,以检测HA和M基因的存在,从而告知我们甲型流感病毒及其亚型(H1N1、H3N2和H5N1)的情况。多重RT-LAMP与ICS的结合可在40分钟内完成,即使使用10份病毒RNA模板也能对甲型流感病毒进行致病型和亚型分型。此外,使用多重RT-LAMP和ICS技术成功确认了从甲型流感病毒感染患者获得的临床样本的亚型分型,表明我们的方法在对实际样本进行分析时具有高速、简便和灵敏的巨大可行性。

https://cdn.ncbi.nlm.nih.gov/pmc/blobs/4c8b/7094724/d2039f50c00a/fx1_lrg.jpg

文献AI研究员

20分钟写一篇综述,助力文献阅读效率提升50倍。

立即体验

用中文搜PubMed

大模型驱动的PubMed中文搜索引擎

马上搜索

文档翻译

学术文献翻译模型,支持多种主流文档格式。

立即体验