Suppr超能文献

哺乳动物培养系统中表观遗传和转录图谱的快速重编程。

Rapid reprogramming of epigenetic and transcriptional profiles in mammalian culture systems.

作者信息

Nestor Colm E, Ottaviano Raffaele, Reinhardt Diana, Cruickshanks Hazel A, Mjoseng Heidi K, McPherson Rhoanne C, Lentini Antonio, Thomson John P, Dunican Donncha S, Pennings Sari, Anderton Stephen M, Benson Mikael, Meehan Richard R

机构信息

Centre for Individualised Medicine, Faculty of Health Sciences, Linköping University, Linköping, 581 83, Sweden.

MRC Human Genetics Unit, Institute of Genetics and Molecular Medicine, Western General Hospital, Crewe Road, Edinburgh, EH4 2XU, UK.

出版信息

Genome Biol. 2015 Feb 4;16(1):11. doi: 10.1186/s13059-014-0576-y.

Abstract

BACKGROUND

The DNA methylation profiles of mammalian cell lines differ from those of the primary tissues from which they were derived, exhibiting increasing divergence from the in vivo methylation profile with extended time in culture. Few studies have directly examined the initial epigenetic and transcriptional consequences of adaptation of primary mammalian cells to culture, and the potential mechanisms through which this epigenetic dysregulation occurs is unknown.

RESULTS

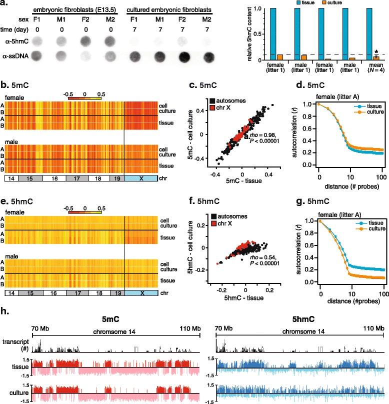
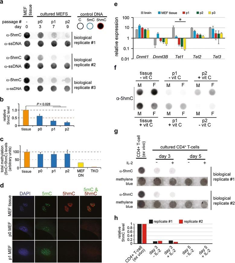
We demonstrate that adaptation of mouse embryonic fibroblasts to cell culture results in a rapid reprogramming of epigenetic and transcriptional states. We observed global 5-hydroxymethylcytosine (5hmC) erasure within three days of culture initiation. Loss of genic 5hmC was independent of global 5-methylcytosine (5mC) levels and could be partially rescued by addition of vitamin C. Significantly, 5hmC loss was not linked to concomitant changes in transcription. Discrete promoter-specific gains of 5mC were also observed within seven days of culture initiation. Against this background of global 5hmC loss we identified a handful of developmentally important genes that maintained their 5hmC profile in culture, including the imprinted loci Gnas and H19. Similar outcomes were identified in the adaption of CD4(+) T cells to culture.

CONCLUSIONS

We report a dramatic and novel consequence of adaptation of mammalian cells to culture in which global loss of 5hmC occurs, suggesting rapid concomitant loss of methylcytosine dioxygenase activity. The observed epigenetic and transcriptional re-programming occurs much earlier than previously assumed, and has significant implications for the use of cell lines as faithful mimics of in vivo epigenetic and physiological processes.

摘要

背景

哺乳动物细胞系的DNA甲基化图谱与其来源的原代组织不同,随着培养时间的延长,与体内甲基化图谱的差异越来越大。很少有研究直接检测原代哺乳动物细胞适应培养后的初始表观遗传和转录后果,这种表观遗传失调发生的潜在机制尚不清楚。

结果

我们证明小鼠胚胎成纤维细胞适应细胞培养会导致表观遗传和转录状态的快速重编程。我们观察到在培养开始后的三天内全局5-羟甲基胞嘧啶(5hmC)消除。基因5hmC的丢失与全局5-甲基胞嘧啶(5mC)水平无关,并且可以通过添加维生素C部分挽救。重要的是,5hmC的丢失与转录的伴随变化无关。在培养开始后的七天内还观察到离散的启动子特异性5mC增加。在全局5hmC丢失的背景下,我们鉴定出少数在培养中维持其5hmC图谱的发育重要基因,包括印记位点Gnas和H19。在CD4(+) T细胞适应培养中也发现了类似的结果。

结论

我们报告了哺乳动物细胞适应培养的一个显著且新颖的后果,即发生全局5hmC丢失,这表明甲基胞嘧啶双加氧酶活性迅速伴随丧失。观察到的表观遗传和转录重编程比以前假设的要早得多,并且对将细胞系用作体内表观遗传和生理过程的忠实模拟物具有重要意义。

https://cdn.ncbi.nlm.nih.gov/pmc/blobs/dca2/4334405/afba6d0f5396/13059_2014_576_Fig1_HTML.jpg

文献AI研究员

20分钟写一篇综述,助力文献阅读效率提升50倍。

立即体验

用中文搜PubMed

大模型驱动的PubMed中文搜索引擎

马上搜索

文档翻译

学术文献翻译模型,支持多种主流文档格式。

立即体验