Suppr超能文献

基于核磁共振氢谱代谢组学方法研究蟾酥对大鼠的心脏毒性

Study of the cardiotoxicity of Venenum Bufonis in rats using an 1H NMR-based metabolomics approach.

作者信息

Dong Ge, Wei Dandan, Wang Junsong, Guo Pingping, Li Minghui, Yang Minghua, Kong Lingyi

机构信息

State Key Laboratory of Natural Medicines, Department of Natural Medicinal Chemistry, China Pharmaceutical University, Nanjing, Jiangsu, P.R. China.

Center for Molecular Metabolism, School of Environmental and Biological Engineering, Nanjing University of Science and Technology, Nanjing, Jiangsu, P.R. China.

出版信息

PLoS One. 2015 Mar 17;10(3):e0119515. doi: 10.1371/journal.pone.0119515. eCollection 2015.

Abstract

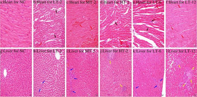
Venenum Bufonis, a well-known traditional Chinese medicine, has been widely used in Asia and has gained popularity in Western countries over the last decade. Venenum Bufonis has obvious side effects that have been observed in clinical settings, but few studies have reported on its cardiotoxicity. In this work, the cardiotoxicity of Venenum Bufonis was investigated using a 11H NMR-based metabolomics approach. The 1H NMR profiles of the serum, myocardial extracts and liver extracts of specific-pathogen-free rats showed that Venenum Bufonis produced significant metabolic perturbations dose-dependently with a distinct time effect, peaking at 2 hr after dosing and attenuating gradually. Clinical chemistry, electrocardiographic recordings, and histopathological evaluation provided additional evidence of Venenum Bufonis-induced cardiac damage that complemented and supported the metabolomics findings. The combined results demonstrated that oxidative stress, mitochondrial dysfunction, and energy metabolism perturbations were associated with the cardiac damage that results from Venenum Bufonis.

摘要

蟾酥是一种著名的中药,在亚洲已被广泛使用,并且在过去十年中在西方国家也越来越受欢迎。蟾酥具有明显的副作用,这在临床环境中已被观察到,但很少有研究报道其心脏毒性。在这项工作中,使用基于1H NMR的代谢组学方法研究了蟾酥的心脏毒性。无特定病原体大鼠的血清、心肌提取物和肝脏提取物的1H NMR谱显示,蟾酥产生了明显的剂量依赖性代谢紊乱,并具有明显的时间效应,给药后2小时达到峰值,随后逐渐减弱。临床化学、心电图记录和组织病理学评估提供了蟾酥诱导心脏损伤的额外证据,补充并支持了代谢组学研究结果。综合结果表明,氧化应激、线粒体功能障碍和能量代谢紊乱与蟾酥导致的心脏损伤有关。

https://cdn.ncbi.nlm.nih.gov/pmc/blobs/5620/4363591/b58daba4eaca/pone.0119515.g001.jpg

文献AI研究员

20分钟写一篇综述,助力文献阅读效率提升50倍。

立即体验

用中文搜PubMed

大模型驱动的PubMed中文搜索引擎

马上搜索

文档翻译

学术文献翻译模型,支持多种主流文档格式。

立即体验