Suppr超能文献

Rap1 在胃癌细胞系依托泊苷诱导的 DNA 损伤反应中对 TRF2 功能是不可或缺的。

Rap1 is indispensable for TRF2 function in etoposide-induced DNA damage response in gastric cancer cell line.

机构信息

Department of Neurology, Second Affiliated Hospital of Zhengzhou University, Zhengzhou, China.

Department V of Digestive Diseases, First Affiliated Hospital of Zhengzhou University, Zhengzhou, China.

出版信息

Oncogenesis. 2015 Mar 30;4(3):e144. doi: 10.1038/oncsis.2015.1.

Abstract

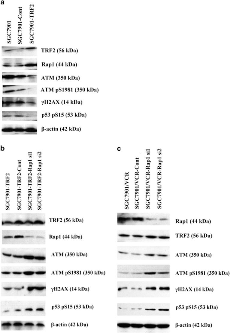
The telomeric protein TRF2, involving in telomeric and extratelomeric DNA damage response, has been previously reported to facilitate multidrug resistance (MDR) in gastric cancer cells by interfering ATM-dependent DNA damage response induced by anticancer drugs. Rap1 is the TRF2-interacting protein in the shelterin complex. Complex formation between Rap1 and TRF2 is essential for their function in telomere and end protection. Here we focus on the effects of Rap1 on TRF2 function in DNA damage response induced by anticancer drugs. Both Rap1 and TRF2 expression were upregulated in SGC7901 and its MDR variant SGC7901/VCR after etoposide treatment, which was more marked in SGC7901/VCR than in SGC7901. Rap1 silencing by siRNA in SGC7901/VCR partially reversed the etoposide resistance. And Rap1 silencing partially reversed the TRF2-mediated resistance to etoposide in SGC7901. Rap1 silencing did not affect the TRF2 upregulation induced by etoposide, but eliminated the inhibition effect of TRF2 on ATM expression and ATM phosphorylation at serine 1981 (ATM pS1981). Furthermore, phosphorylation of ATM targets, including γH2AX and serine 15 (S15) on p53, were increased in Rap1 silencing cells in response to etoposide. Thus, we confirm that Rap1, interacting with TRF2 in the shelterin complex, also has an important role in TRF2-mediated DNA damage response in gastric cancer cells treated by etoposide.

摘要

端粒蛋白 TRF2 参与端粒和端粒外 DNA 损伤反应,先前的研究报道称,它通过干扰抗癌药物诱导的 ATM 依赖性 DNA 损伤反应,促进胃癌细胞的多药耐药(MDR)。Rap1 是庇护复合物中与 TRF2 相互作用的蛋白。Rap1 和 TRF2 之间的复合物形成对于它们在端粒和末端保护中的功能至关重要。在这里,我们专注于 Rap1 对 TRF2 在抗癌药物诱导的 DNA 损伤反应中的功能的影响。依托泊苷处理后,SGC7901 及其 MDR 变体 SGC7901/VCR 中的 Rap1 和 TRF2 表达均上调,SGC7901/VCR 中的上调更为明显。在 SGC7901/VCR 中,用 siRNA 沉默 Rap1 部分逆转了依托泊苷耐药性。并且 Rap1 沉默部分逆转了 SGC7901 中 TRF2 介导的依托泊苷耐药性。Rap1 沉默不影响依托泊苷诱导的 TRF2 上调,但消除了 TRF2 对 ATM 表达和丝氨酸 1981 处 ATM 磷酸化(ATM pS1981)的抑制作用。此外,在 Rap1 沉默细胞中,ATR 靶标(包括 γH2AX 和 p53 上的丝氨酸 15(S15))的磷酸化在响应依托泊苷时增加。因此,我们证实,与庇护复合物中的 TRF2 相互作用的 Rap1,在依托泊苷处理的胃癌细胞中,TRF2 介导的 DNA 损伤反应中也具有重要作用。

https://cdn.ncbi.nlm.nih.gov/pmc/blobs/b4df/4491608/f665d434f242/oncsis20151f1.jpg

文献AI研究员

20分钟写一篇综述,助力文献阅读效率提升50倍。

立即体验

用中文搜PubMed

大模型驱动的PubMed中文搜索引擎

马上搜索

文档翻译

学术文献翻译模型,支持多种主流文档格式。

立即体验