Suppr超能文献

证据表明 Pun1 编码蛋白具有辣椒素合成酶的活性,并且是辣椒素积累的决定因素。

Evidence of capsaicin synthase activity of the Pun1-encoded protein and its role as a determinant of capsaicinoid accumulation in pepper.

机构信息

Graduate School of Agriculture, Hokkaido University, Sapporo, 060-8589, Japan.

Plant Molecular Technology Research Group, Research Institute of Bioproduction, National Institute of Advanced Industrial Science and Technology, Sapporo, 062-8517, Japan.

出版信息

BMC Plant Biol. 2015 Mar 28;15:93. doi: 10.1186/s12870-015-0476-7.

Abstract

BACKGROUND

Capsaicinoids, including capsaicin and its analogs, are responsible for the pungency of pepper (Capsicum species) fruits. Even though capsaicin is familiar and used daily by humans, the genes involved in the capsaicin biosynthesis pathway have not been well characterized. The putative aminotransferase (pAMT) and Pungent gene 1 (Pun1) proteins are believed to catalyze the second to last and the last steps in the pathway, respectively, making the Pun1 protein the putative capsaicin synthase. However, there is no direct evidence that Pun1 has capsaicin synthase activity.

RESULTS

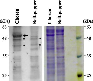
To verify that the Pun1 protein actually plays a role in capsaicin production, we generated anti-Pun1 antibodies against an Escherichia coli-synthesized Pun1 protein and used them to antagonize endogenous Pun1 activity. To confirm the anti-Pun1 antibodies' specificity, we targeted Pun1 mRNA using virus-induced gene silencing. In the Pun1-down-regulated placental tissues, the accumulated levels of the Pun1 protein, which was identified on a western blot using the anti-Pun1 antibodies, were reduced, and simultaneously, capsaicin accumulations were reduced in the same tissues. In the de novo capsaicin synthesis in vitro cell-free assay, which uses protoplasts isolated from placental tissues, capsaicin synthesis was inhibited by the addition of anti-Pun1 antibodies. We next analyzed the expression profiles of pAMT and Pun1 in various pepper cultivars and found that high levels of capsaicin accumulation always accompanied high expression levels of both pAMT and Pun1, indicating that both genes are important for capsaicin synthesis. However, comparisons of the accumulated levels of vanillylamine (a precursor of capsaicin) and capsaicin between pungent and nonpungent cultivars revealed that vanillylamine levels in the pungent cultivars were very low, probably owing to its rapid conversion to capsaicin by Pun1 soon after synthesis, and that in nonpungent cultivars, vanillylamine accumulated to quite high levels owing to the lack of Pun1.

CONCLUSIONS

Using a newly developed protoplast-based assay for de novo capsaicin synthesis and the anti-Pun1 antibodies, we successfully demonstrated that the Pun1 gene and its gene product are involved in capsaicin synthesis. The analysis of the vanillylamine accumulation relative to that of capsaicin indicated that Pun1 was the primary determinant of their accumulation levels.

摘要

背景

辣椒素类化合物,包括辣椒素及其类似物,是辣椒(辣椒属)果实辣味的来源。尽管辣椒素为人类所熟悉并每天使用,但参与辣椒素生物合成途径的基因尚未得到很好的描述。推测的氨基转移酶(pAMT)和辣味基因 1(Pun1)蛋白分别被认为催化途径中的倒数第二步和最后一步,使 Pun1 蛋白成为推测的辣椒素合酶。然而,没有直接证据表明 Pun1 具有辣椒素合酶活性。

结果

为了验证 Pun1 蛋白实际上在辣椒素产生中起作用,我们针对大肠杆菌合成的 Pun1 蛋白生成了抗 Pun1 抗体,并使用它们拮抗内源性 Pun1 活性。为了确认抗 Pun1 抗体的特异性,我们使用病毒诱导的基因沉默靶向 Pun1 mRNA。在 Pun1 下调的胎盘组织中,使用抗 Pun1 抗体在 Western blot 上鉴定的 Pun1 蛋白的积累水平降低,同时,同一组织中的辣椒素积累也降低。在使用来自胎盘组织的原生质体的体外无细胞从头合成辣椒素测定中,添加抗 Pun1 抗体抑制了辣椒素的合成。接下来,我们分析了各种辣椒品种中 pAMT 和 Pun1 的表达谱,发现高水平的辣椒素积累总是伴随着 pAMT 和 Pun1 的高表达水平,表明这两个基因对辣椒素合成很重要。然而,在辣味和非辣味品种之间比较香草胺(辣椒素的前体)和辣椒素的积累水平表明,在辣味品种中香草胺的积累水平非常低,可能是由于 Pun1 合成后很快将其快速转化为辣椒素所致,而在非辣味品种中,由于缺乏 Pun1,香草胺积累到相当高的水平。

结论

使用新开发的基于原生质体的从头合成辣椒素测定法和抗 Pun1 抗体,我们成功地证明了 Pun1 基因及其基因产物参与了辣椒素的合成。香草胺积累相对于辣椒素积累的分析表明,Pun1 是它们积累水平的主要决定因素。

https://cdn.ncbi.nlm.nih.gov/pmc/blobs/7838/4386094/2f166be8e6fb/12870_2015_476_Fig1_HTML.jpg

文献AI研究员

20分钟写一篇综述,助力文献阅读效率提升50倍。

立即体验

用中文搜PubMed

大模型驱动的PubMed中文搜索引擎

马上搜索

文档翻译

学术文献翻译模型,支持多种主流文档格式。

立即体验