Suppr超能文献

雪貂中致命和轻症甲型H1N1流感病毒大流行的临床反应

Clinical response to pandemic H1N1 influenza virus from a fatal and mild case in ferrets.

作者信息

Martínez-Orellana Pamela, Martorell Jaume, Vidaña Beatriz, Majó Natalia, Martínez Jorge, Falcón Ana, Rodríguez-Frandsen Ariel, Casas Inmaculada, Pozo Francisco, García-Migura Lourdes, García-Barreno Blanca, Melero Jose A, Fraile Lorenzo, Nieto Amelia, Montoya Maria

机构信息

Centre de Recerca en Sanitat Animal (CReSA), UAB-IRTA, Campus de la Universitat Autònoma de Barcelona, Bellaterra, Barcelona, Spain.

Departament de Medicina i Cirurgia Animals, Universitat Autònoma de Barcelona (UAB), Barcelona, Spain.

出版信息

Virol J. 2015 Mar 26;12:48. doi: 10.1186/s12985-015-0272-x.

Abstract

BACKGROUND

The majority of pandemic 2009 H1N1 (A(H1N1)pdm09) influenza virus (IV) caused mild symptoms in most infected patients, however, a greater rate of severe disease was observed in healthy young adults and children without co-morbid conditions. The purpose of this work was to study in ferrets the dynamics of infection of two contemporary strains of human A(H1N1)pdm09 IV, one isolated from a patient showing mild disease and the other one from a fatal case.

METHODS

Viral strains isolated from a patient showing mild disease-M (A/CastillaLaMancha/RR5661/2009) or from a fatal case-F (A/CastillaLaMancha/RR5911/2009), both without known comorbid conditions, were inoculated in two groups of ferrets and clinical and pathological conditions were analysed.

RESULTS

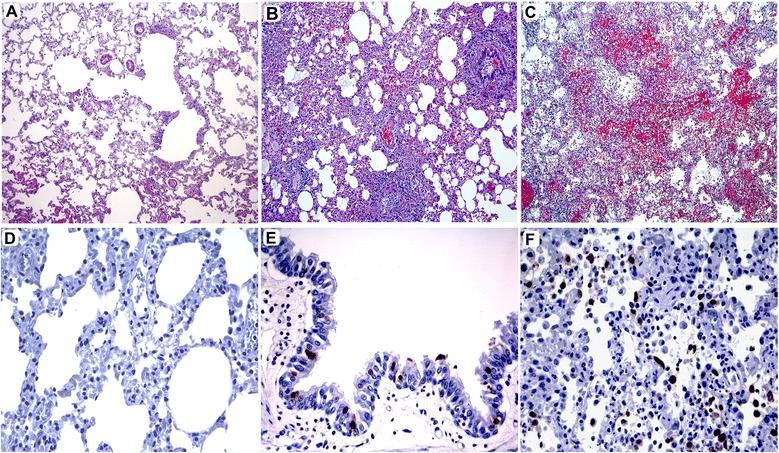
Mild to severe clinical symptoms were observed in animals from both groups. A clinical score distribution was applied in which ferrets with mild clinical signs were distributed on a non-severe group (NS) and ferrets with severe clinical signs on a severe group (S), regardless of the virus used in the infection. Animals on S showed a significant decrease in body weight compared to animals on NS at 4 to 7 days post-infection (dpi). Clinical progress correlated with histopathological findings. Concentrations of haptoglobin (Hp) and serum amyloid A (SAA) increased on both groups after 2 dpi. Clinically severe infected ferrets showed a stronger antibody response and higher viral titres after infection (p = 0.001).

CONCLUSIONS

The severity in the progress of infection was independent from the virus used for infection suggesting that the host immune response was determinant in the outcome of the infection. The diversity observed in ferrets mimicked the variability found in the human population.

摘要

背景

2009年甲型H1N1流感大流行病毒(A(H1N1)pdm09)在大多数感染患者中引起轻微症状,然而,在无合并症的健康年轻成年人和儿童中观察到更高的重症发病率。本研究的目的是在雪貂中研究两种当代人类A(H1N1)pdm09流感病毒株的感染动态,一种从表现为轻症的患者中分离得到,另一种从致命病例中分离得到。

方法

从表现为轻症的患者中分离得到的病毒株-M(A/卡斯蒂利亚-拉曼恰/RR5661/2009)或从致命病例中分离得到的病毒株-F(A/卡斯蒂利亚-拉曼恰/RR5911/2009),两者均无已知合并症,接种到两组雪貂中,并分析临床和病理情况。

结果

两组动物均观察到从轻症到重症的临床症状。应用临床评分分布,将具有轻微临床体征的雪貂分布在非重症组(NS),将具有严重临床体征的雪貂分布在重症组(S),无论感染所用的病毒如何。与NS组动物相比,感染后4至7天(dpi),S组动物体重显著下降。临床进展与组织病理学结果相关。感染后2天,两组的触珠蛋白(Hp)和血清淀粉样蛋白A(SAA)浓度均升高。临床重症感染的雪貂感染后显示出更强的抗体反应和更高的病毒滴度(p = 0.001)。

结论

感染进展的严重程度与用于感染的病毒无关,这表明宿主免疫反应在感染结果中起决定性作用。在雪貂中观察到的多样性模拟了在人类群体中发现的变异性。

https://cdn.ncbi.nlm.nih.gov/pmc/blobs/492a/4380011/991d85fec9e7/12985_2015_272_Fig1_HTML.jpg

文献AI研究员

20分钟写一篇综述,助力文献阅读效率提升50倍。

立即体验

用中文搜PubMed

大模型驱动的PubMed中文搜索引擎

马上搜索

文档翻译

学术文献翻译模型,支持多种主流文档格式。

立即体验