Suppr超能文献

高压氧疗法可改善三硝基苯磺酸诱导的大鼠急性远端结肠炎。

Hyperbaric oxygen therapy ameliorates TNBS-induced acute distal colitis in rats.

作者信息

Parra Rogério S, Lopes Alexandre H, Carreira Eleonora U, Feitosa Marley R, Cunha Fernando Q, Garcia Sérgio B, Cunha Thiago M, da Rocha José J R, Féres Omar

机构信息

Division of Coloproctology, Department of Surgery and Anatomy. Ribeirão Preto Medical School, University of São Paulo, Ribeirão Preto, SP Brazil.

Department of Pharmacology, Ribeirão Preto Medical School, University of Sao Paulo, Ribeirão Preto, SP Brazil.

出版信息

Med Gas Res. 2015 Apr 16;5:6. doi: 10.1186/s13618-015-0026-2. eCollection 2015.

Abstract

BACKGROUND

This study investigated the therapeutic effects of hyperbaric oxygen in experimental acute distal colitis focusing on its effect on the production of pro-inflammatory cytokines, nitric oxide and hypoxia-inducible factor 1alpha.

METHODS

Colitis was induced with a rectal infusion of 150 mg/kg of TNBS under anesthesia with Ketamine (50 mg/kg) and Xylazine (10 mg/kg). Control animals received only rectal saline. After colitis induction, animals were subjected to two sessions of hyperbaric oxygen and were then euthanized. The distal intestine was resected for macroscopic analysis, determination of myeloperoxidase activity, western-blotting analyses of inducible nitric oxide synthase and cyclooxygenase-2 expression and immunohistochemical analysis of hypoxia-inducible factor 1alpha and cyclooxygenase-2. Cytokines levels in the distal intestine were measured using an enzyme-linked immunosorbent assay.

RESULTS

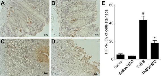
Hyperbaric oxygen therapy attenuated the severity of acute distal colitis, with reduced macroscopic damage score. This effect was associated with prevention in the increase of pro-inflammatory cytokine production; myeloperoxidase activity, in the expression of inducible nitric oxide synthase and cyclooxygenase-2. Finally, hyperbaric oxygen inhibited the acute distal colitis-induced up-regulation of hypoxia-inducible factor 1alpha.

CONCLUSIONS

The results indicate that hyperbaric oxygen attenuates the severity of acute distal colitis through the down-regulation of pro-inflammatory events.

摘要

背景

本研究调查了高压氧对实验性急性远端结肠炎的治疗效果,重点关注其对促炎细胞因子、一氧化氮和缺氧诱导因子1α产生的影响。

方法

在氯胺酮(50mg/kg)和赛拉嗪(10mg/kg)麻醉下,通过直肠注入150mg/kg的三硝基苯磺酸诱导结肠炎。对照动物仅接受直肠生理盐水灌注。诱导结肠炎后,动物接受两疗程的高压氧治疗,然后实施安乐死。切除远端肠道进行宏观分析、测定髓过氧化物酶活性、对诱导型一氧化氮合酶和环氧化酶-2表达进行蛋白质印迹分析以及对缺氧诱导因子1α和环氧化酶-2进行免疫组织化学分析。使用酶联免疫吸附测定法测量远端肠道中的细胞因子水平。

结果

高压氧治疗减轻了急性远端结肠炎的严重程度,宏观损伤评分降低。这种效果与预防促炎细胞因子产生的增加、髓过氧化物酶活性、诱导型一氧化氮合酶和环氧化酶-2的表达有关。最后,高压氧抑制了急性远端结肠炎诱导的缺氧诱导因子1α的上调。

结论

结果表明,高压氧通过下调促炎事件减轻急性远端结肠炎的严重程度。

https://cdn.ncbi.nlm.nih.gov/pmc/blobs/b4c6/4414439/c2600481c27e/13618_2015_26_Fig1_HTML.jpg

文献AI研究员

20分钟写一篇综述,助力文献阅读效率提升50倍。

立即体验

用中文搜PubMed

大模型驱动的PubMed中文搜索引擎

马上搜索

文档翻译

学术文献翻译模型,支持多种主流文档格式。

立即体验