Suppr超能文献

人类体细胞重编程中的转录组特征和调控。

Transcriptome Signature and Regulation in Human Somatic Cell Reprogramming.

机构信息

Department of Genetics, Yale Stem Cell Center, Yale School of Medicine, New Haven, CT 06520, USA.

Department of Genetics, Yale Stem Cell Center, Yale School of Medicine, New Haven, CT 06520, USA; Department of Cell Biology, Second Military Medical University, Shanghai 200433, China.

出版信息

Stem Cell Reports. 2015 Jun 9;4(6):1125-39. doi: 10.1016/j.stemcr.2015.04.009. Epub 2015 May 21.

Abstract

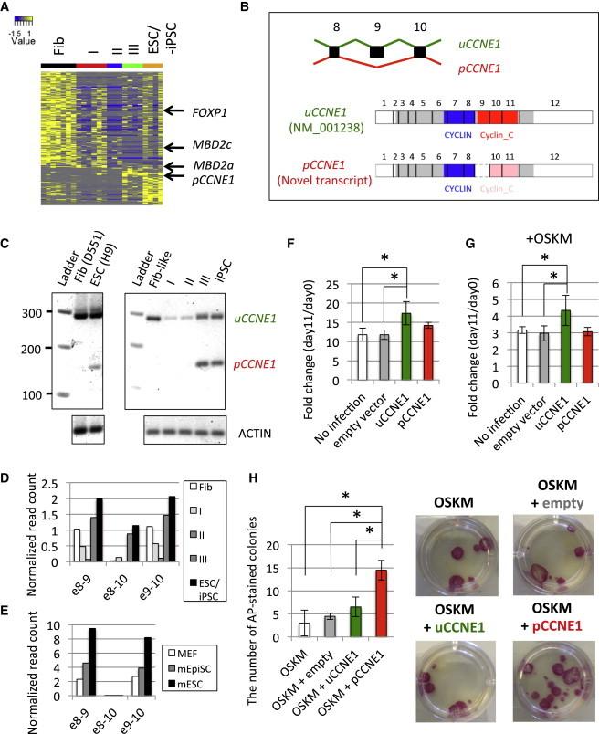
Reprogramming of somatic cells produces induced pluripotent stem cells (iPSCs) that are invaluable resources for biomedical research. Here, we extended the previous transcriptome studies by performing RNA-seq on cells defined by a combination of multiple cellular surface markers. We found that transcriptome changes during early reprogramming occur independently from the opening of closed chromatin by OCT4, SOX2, KLF4, and MYC (OSKM). Furthermore, our data identify multiple spliced forms of genes uniquely expressed at each progressive stage of reprogramming. In particular, we found a pluripotency-specific spliced form of CCNE1 that is specific to human and significantly enhances reprogramming. In addition, single nucleotide polymorphism (SNP) expression analysis reveals that monoallelic gene expression is induced in the intermediate stages of reprogramming, while biallelic expression is recovered upon completion of reprogramming. Our transcriptome data provide unique opportunities in understanding human iPSC reprogramming.

摘要

体细胞重编程产生诱导多能干细胞(iPSCs),这是生物医学研究中非常宝贵的资源。在这里,我们通过对多种细胞表面标志物组合定义的细胞进行 RNA-seq 分析,扩展了之前的转录组研究。我们发现,早期重编程过程中的转录组变化与 OCT4、SOX2、KLF4 和 MYC(OSKM)打开封闭染色质无关。此外,我们的数据还确定了在重编程的每个渐进阶段中独特表达的多个基因的剪接形式。特别是,我们发现了 CCNE1 的一种多能性特异性剪接形式,它是人类特有的,并且显著增强了重编程。此外,单核苷酸多态性(SNP)表达分析表明,单等位基因表达在重编程的中间阶段被诱导,而在重编程完成后恢复双等位基因表达。我们的转录组数据为理解人类 iPSC 重编程提供了独特的机会。

https://cdn.ncbi.nlm.nih.gov/pmc/blobs/a7a8/4471828/5df3e37332e4/gr1.jpg

文献AI研究员

20分钟写一篇综述,助力文献阅读效率提升50倍。

立即体验

用中文搜PubMed

大模型驱动的PubMed中文搜索引擎

马上搜索

文档翻译

学术文献翻译模型,支持多种主流文档格式。

立即体验