Suppr超能文献

土拉弗朗西斯菌与肺泡Ⅱ型上皮细胞及小鼠呼吸道上皮的相互作用。

Interactions of Francisella tularensis with Alveolar Type II Epithelial Cells and the Murine Respiratory Epithelium.

作者信息

Faron Matthew, Fletcher Joshua R, Rasmussen Jed A, Apicella Michael A, Jones Bradley D

机构信息

Graduate Program in Genetics, University of Iowa, Iowa City, Iowa, United States of America.

Department of Microbiology, University of Iowa, Iowa City, Iowa, United States of America.

出版信息

PLoS One. 2015 May 26;10(5):e0127458. doi: 10.1371/journal.pone.0127458. eCollection 2015.

Abstract

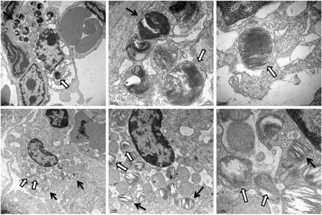
Francisella tularensis is classified as a Tier 1 select agent by the CDC due to its low infectious dose and the possibility that the organism can be used as a bioweapon. The low dose of infection suggests that Francisella is unusually efficient at evading host defenses. Although ~50 cfu are necessary to cause human respiratory infection, the early interactions of virulent Francisella with the lung environment are not well understood. To provide additional insights into these interactions during early Francisella infection of mice, we performed TEM analysis on mouse lungs infected with F. tularensis strains Schu S4, LVS and the O-antigen mutant Schu S4 waaY::TrgTn. For all three strains, the majority of the bacteria that we could detect were observed within alveolar type II epithelial cells at 16 hours post infection. Although there were no detectable differences in the amount of bacteria within an infected cell between the three strains, there was a significant increase in the amount of cellular debris observed in the air spaces of the lungs in the Schu S4 waaY::TrgTn mutant compared to either the Schu S4 or LVS strain. We also studied the interactions of Francisella strains with human AT-II cells in vitro by characterizing the ability of these three strains to invade and replicate within these cells. Gentamicin assay and confocal microscopy both confirmed that F. tularensis Schu S4 replicated robustly within these cells while F. tularensis LVS displayed significantly lower levels of growth over 24 hours, although the strain was able to enter these cells at about the same level as Schu S4 (1 organism per cell), as determined by confocal imaging. The Schu S4 waaY::TrgTn mutant that we have previously described as attenuated for growth in macrophages and mouse virulence displayed interesting properties as well. This mutant induced significant airway inflammation (cell debris) and had an attenuated growth phenotype in the human AT-II cells. These data extend our understanding of early Francisella infection by demonstrating that Francisella enter significant numbers of AT-II cells within the lung and that the capsule and LPS of wild type Schu S4 helps prevent murine lung damage during infection. Furthermore, our data identified that human AT-II cells allow growth of Schu S4, but these same cells supported poor growth of the attenuated LVS strain in vitro. Collectively, these data further our understanding of the role of AT-II cells in Francisella infections.

摘要

由于土拉弗朗西斯菌的感染剂量低且该微生物有可能被用作生物武器,美国疾病控制与预防中心(CDC)将其列为一级选择生物制剂。低感染剂量表明土拉弗朗西斯菌在逃避宿主防御方面异常高效。虽然引起人类呼吸道感染大约需要50个菌落形成单位(cfu),但毒力强的土拉弗朗西斯菌与肺部环境的早期相互作用尚不清楚。为了深入了解小鼠早期感染土拉弗朗西斯菌期间的这些相互作用,我们对感染了土拉弗朗西斯菌Schu S4株、LVS株和O抗原突变株Schu S4 waaY::TrgTn的小鼠肺组织进行了透射电子显微镜(TEM)分析。对于所有这三株菌,在感染后16小时,我们检测到的大多数细菌都存在于II型肺泡上皮细胞内。虽然这三株菌在一个感染细胞内的细菌数量没有可检测到的差异,但与Schu S4株或LVS株相比,Schu S4 waaY::TrgTn突变株的肺脏气腔内观察到的细胞碎片数量显著增加。我们还通过表征这三株菌在人II型肺泡上皮细胞(AT-II细胞)内侵袭和复制的能力,在体外研究了土拉弗朗西斯菌各菌株与人AT-II细胞的相互作用。庆大霉素检测和共聚焦显微镜检查均证实,土拉弗朗西斯菌Schu S4株在这些细胞内大量复制,而土拉弗朗西斯菌LVS株在24小时内的生长水平显著较低,尽管通过共聚焦成像确定该菌株进入这些细胞的水平与Schu S4株大致相同(每个细胞1个菌)。我们之前描述的在巨噬细胞中生长和小鼠毒力方面减弱的Schu S4 waaY::TrgTn突变株也表现出有趣的特性。该突变株诱导了显著的气道炎症(细胞碎片),并且在人AT-II细胞中具有减弱的生长表型。这些数据通过证明土拉弗朗西斯菌进入肺内大量的II型肺泡上皮细胞,以及野生型Schu S4的荚膜和脂多糖有助于预防感染期间的小鼠肺损伤,扩展了我们对土拉弗朗西斯菌早期感染的理解。此外,我们的数据表明人II型肺泡上皮细胞允许Schu S生长,但这些相同的细胞在体外支持减弱株LVS的生长较差。总体而言,这些数据进一步加深了我们对II型肺泡上皮细胞在土拉弗朗西斯菌感染中作用的理解。

https://cdn.ncbi.nlm.nih.gov/pmc/blobs/2de3/4444194/142fb7e69062/pone.0127458.g001.jpg

文献AI研究员

20分钟写一篇综述,助力文献阅读效率提升50倍。

立即体验

用中文搜PubMed

大模型驱动的PubMed中文搜索引擎

马上搜索

文档翻译

学术文献翻译模型,支持多种主流文档格式。

立即体验