Suppr超能文献

硒蛋白缺乏会增加染色中心碎片化,并破坏顶体形成,导致男性不育。

Seipin deficiency increases chromocenter fragmentation and disrupts acrosome formation leading to male infertility.

作者信息

El Zowalaty A E, Baumann C, Li R, Chen W, De La Fuente R, Ye X

机构信息

1] Department of Physiology and Pharmacology, College of Veterinary Medicine, University of Georgia, Athens, GA, USA [2] Interdisciplinary Toxicology Program, University of Georgia, Athens, GA, USA.

Department of Physiology and Pharmacology, College of Veterinary Medicine, University of Georgia, Athens, GA, USA.

出版信息

Cell Death Dis. 2015 Jul 16;6(7):e1817. doi: 10.1038/cddis.2015.188.

Abstract

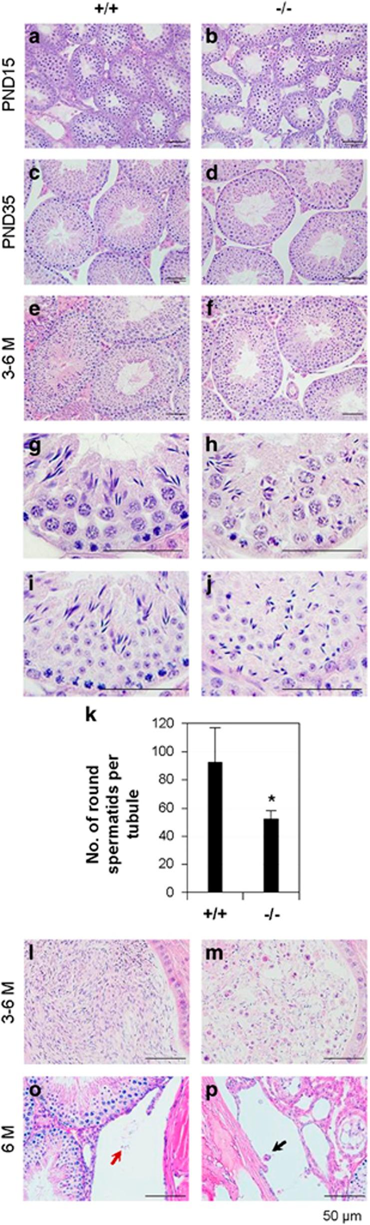
The Berardinelli-Seip congenital lipodystrophy type 2 (Bscl2, seipin) gene is involved in adipogenesis. Bscl2-/- males were infertile but had normal mating behavior. Both Bscl2-/- cauda epididymis sperm count and sperm motility were ~20×less than control. Bscl2-/- seminiferous tubules had relatively normal presence of spermatogonia and spermatocytes but had reduced spermatids and sperm. Spatiotemporal expression analyses in Bscl2+/+ testes demonstrated prominent Bscl2 transcriptional activity in spermatocytes with a plateau reached around postnatal day 28. Seipin protein localization was most abundant in postmeiotic spermatids, suggesting translational repression of Bscl2 mRNA in spermatocytes. In situ end-labeling plus detected increased spermatid apoptosis in Bscl2-/- testis and annexin V detected increased percentage of positive Bscl2-/- round spermatids compared with control. Immunofluorescence of marker proteins synaptonemal complex proteins 3 and 1 (SYCP3 and SYCP1), and H3K9me3 (histone H3 trimethylated at lysine 9) in germ cell spreads detected normal meiotic chromosome pairing and homologous chromosome synapsis in Bscl2-/- spermatocytes, but significantly increased percentages of round spermatids with chromocenter fragmentation and late spermatids and sperm with chromatin vacuoles, indicating defective chromatin condensation in Bscl2-/- spermatids. Bscl2-/- late spermatids were disorganized within the seminiferous epithelium, despite normal appearance of Sertoli cells detected by vimentin immunofluorescence. Peanut agglutinin staining revealed various abnormalities of acrosomes in Bscl2-/- late spermatids, including the absence, irregular-shaped, and fragmented acrosomes, indicating defective acrosome formation in Bscl2-/- late spermatids, which may affect late spermatid orientation in the seminiferous epithelium. Mitotracker strongly stained the midpiece of control sperm but only very weakly labeled the midpiece of Bscl2-/- sperm, indicating defective mitochondrial activity that most likely contributed to reduced Bscl2-/- sperm motility. These data demonstrate novel roles of seipin in spermatid chromatin integrity, acrosome formation, and mitochondrial activity. Increased spermatid apoptosis, increased chromocenter fragmentation, defective chromatin condensation, abnormal acrosome formation, and defective mitochondrial activity contributed to decreased sperm production and defective sperm that resulted in Bscl2-/- male infertility.

摘要

贝拉尔迪内利 - 塞普先天性脂肪营养不良2型(Bscl2,丝蛋白)基因参与脂肪生成。Bscl2基因敲除的雄性小鼠不育,但交配行为正常。Bscl2基因敲除小鼠的附睾尾精子计数和精子活力均比对照组低约20倍。Bscl2基因敲除小鼠的生精小管中精原细胞和精母细胞的存在相对正常,但精子细胞和精子数量减少。对Bscl2基因野生型小鼠睾丸进行的时空表达分析表明,在出生后第28天左右达到平台期时,Bscl2在精母细胞中有显著的转录活性。丝蛋白在减数分裂后的精子细胞中定位最丰富,这表明Bscl2 mRNA在精母细胞中存在翻译抑制。原位末端标记检测到Bscl2基因敲除小鼠睾丸中精子细胞凋亡增加,膜联蛋白V检测到Bscl2基因敲除的圆形精子细胞阳性百分比高于对照组。在生殖细胞铺片中对标记蛋白联会复合体蛋白3和1(SYCP3和SYCP1)以及H3K9me3(赖氨酸9位三甲基化的组蛋白H3)进行免疫荧光检测发现,Bscl2基因敲除小鼠的精母细胞减数分裂染色体配对和同源染色体联会正常,但有染色中心碎片化的圆形精子细胞以及有染色质空泡的晚期精子细胞和精子的百分比显著增加,这表明Bscl2基因敲除小鼠的精子细胞中染色质浓缩存在缺陷。尽管波形蛋白免疫荧光检测显示支持细胞外观正常,但Bscl2基因敲除小鼠的晚期精子细胞在生精上皮内排列紊乱。花生凝集素染色显示Bscl2基因敲除小鼠晚期精子细胞的顶体存在各种异常,包括顶体缺失、形状不规则和碎片化,这表明Bscl2基因敲除小鼠晚期精子细胞的顶体形成存在缺陷,这可能会影响晚期精子细胞在生精上皮中的定向。线粒体追踪染料对对照组精子的中段有强烈染色,但对Bscl2基因敲除小鼠精子的中段染色非常弱,这表明线粒体活性存在缺陷,这很可能是导致Bscl2基因敲除小鼠精子活力降低的原因。这些数据表明丝蛋白在精子细胞染色质完整性、顶体形成和线粒体活性方面具有新的作用。精子细胞凋亡增加、染色中心碎片化增加、染色质浓缩缺陷、顶体形成异常以及线粒体活性缺陷导致精子生成减少和精子缺陷,从而导致Bscl2基因敲除雄性小鼠不育。

https://cdn.ncbi.nlm.nih.gov/pmc/blobs/782a/4650735/e87c1534db55/cddis2015188f1.jpg

文献AI研究员

20分钟写一篇综述,助力文献阅读效率提升50倍。

立即体验

用中文搜PubMed

大模型驱动的PubMed中文搜索引擎

马上搜索

文档翻译

学术文献翻译模型,支持多种主流文档格式。

立即体验