Suppr超能文献

基于鸭肠炎病毒疫苗株感染性克隆构建表达H5N1禽流感病毒血凝素的重组鸭肠炎病毒及其在鸭和鸡体内的效力评估

Construction of a recombinant duck enteritis virus (DEV) expressing hemagglutinin of H5N1 avian influenza virus based on an infectious clone of DEV vaccine strain and evaluation of its efficacy in ducks and chickens.

作者信息

Wang Jichun, Ge Aimin, Xu Mengwei, Wang Zhisheng, Qiao Yongfeng, Gu Yiqi, Liu Chang, Liu Yamei, Hou Jibo

机构信息

Jiangsu Academy of Agricultural Sciences/National Research Center of Veterinary Biologicals Engineering and Technology, Nanjing, 210014, China.

Shandong Vocational Animal Science and Veterinary College, Weifang, 261061, China.

出版信息

Virol J. 2015 Aug 13;12:126. doi: 10.1186/s12985-015-0354-9.

Abstract

BACKGROUND

Highly pathogenic avian influenza virus (AIV) subtype H5N1 remains a threat to poultry. Duck enteritis virus (DEV)-vectored vaccines expressing AIV H5N1 hemagglutinin (HA) may be viable AIV and DEV vaccine candidates.

METHODS

To facilitate the generation and further improvement of DEV-vectored HA(H5) vaccines, we first constructed an infectious clone of DEV Chinese vaccine strain C-KCE (DEV(C-KCE)). Then, we generated a DEV-vectored HA(H5) vaccine (DEV-H5(UL55)) based on the bacterial artificial chromosome (BAC) by inserting a synthesized HA(H5) expression cassette with a pMCMV IE promoter and a consensus HA sequence into the noncoding area between UL55 and LORF11. The immunogenicity and protective efficacy of the resulting recombinant vaccine against DEV and AIV H5N1 were evaluated in both ducks and chickens.

RESULTS

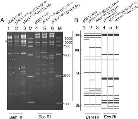
The successful construction of DEV BAC and DEV-H5(UL55) was verified by restriction fragment length polymorphism analysis. Recovered virus from the BAC or mutants showed similar growth kinetics to their parental viruses. The robust expression of HA in chicken embryo fibroblasts infected with the DEV-vectored vaccine was confirmed by indirect immunofluorescence and western blotting analyses. A single dose of 10(6) TCID50 DEV-vectored vaccine provided 100 % protection against duck viral enteritis in ducks, and the hemagglutination inhibition (HI) antibody titer of AIV H5N1 with a peak of 8.2 log2 was detected in 3-week-old layer chickens. In contrast, only very weak HI titers were observed in ducks immunized with 10(7) TCID50 DEV-vectored vaccine. A mortality rate of 60 % (6/10) was observed in 1-week-old specific pathogen free chickens inoculated with 10(6) TCID50 DEV-vectored vaccine.

CONCLUSIONS

We demonstrate the following in this study. (i) The constructed BAC is a whole genome clone of DEV(C-KCE). (ii) The insertion of an HA expression cassette sequence into the noncoding area between UL55 and LORF11 of DEV(C-KCE) affects neither the growth kinetics of the virus nor its protection against DEV. (iii) DEV-H5(UL55) can generate a strong humoral immune response in 3-week-old chickens, despite the virulence of this virus observed in 1-week-old chickens. (iv) DEV-H5(UL55) induces a weak HI titer in ducks. An increase in the HI titers induced by DEV-vectored HA(H5) will be required prior to its wide application.

摘要

背景

高致病性禽流感病毒(AIV)H5N1亚型仍然对家禽构成威胁。表达AIV H5N1血凝素(HA)的鸭肠炎病毒(DEV)载体疫苗可能是可行的AIV和DEV疫苗候选物。

方法

为了促进DEV载体HA(H5)疫苗的产生和进一步改进,我们首先构建了DEV中国疫苗株C-KCE(DEV(C-KCE))的感染性克隆。然后,我们通过将带有pMCMV IE启动子和共有HA序列的合成HA(H5)表达盒插入UL55和LORF11之间的非编码区,基于细菌人工染色体(BAC)产生了DEV载体HA(H5)疫苗(DEV-H5(UL55))。在鸭和鸡中评估了所得重组疫苗对DEV和AIV H5N1的免疫原性和保护效力。

结果

通过限制性片段长度多态性分析验证了DEV BAC和DEV-H5(UL55)的成功构建。从BAC或突变体中回收的病毒显示出与其亲本病毒相似的生长动力学。通过间接免疫荧光和蛋白质印迹分析证实了感染DEV载体疫苗的鸡胚成纤维细胞中HA的强烈表达。单剂量10⁶ TCID₅₀的DEV载体疫苗为鸭提供了100%针对鸭病毒性肠炎的保护,并且在3周龄蛋鸡中检测到AIV H5N1的血凝抑制(HI)抗体效价峰值为8.2 log₂。相比之下,用10⁷ TCID₅₀的DEV载体疫苗免疫的鸭中仅观察到非常弱的HI效价。在接种10⁶ TCID₅₀的DEV载体疫苗的1周龄无特定病原体鸡中观察到60%(6/10)的死亡率。

结论

我们在本研究中证明了以下几点。(i)构建的BAC是DEV(C-KCE)的全基因组克隆。(ii)将HA表达盒序列插入DEV(C-KCE)的UL55和LORF11之间的非编码区既不影响病毒的生长动力学也不影响其对DEV的保护作用。(iii)尽管在1周龄鸡中观察到该病毒具有毒力,但DEV-H5(UL55)可在3周龄鸡中产生强烈的体液免疫反应。(iv)DEV-H5(UL55)在鸭中诱导出较弱的HI效价。在DEV载体HA(H5)广泛应用之前,需要提高其诱导的HI效价。

https://cdn.ncbi.nlm.nih.gov/pmc/blobs/e1f7/4533785/8bb909f2b823/12985_2015_354_Fig1_HTML.jpg

文献AI研究员

20分钟写一篇综述,助力文献阅读效率提升50倍。

立即体验

用中文搜PubMed

大模型驱动的PubMed中文搜索引擎

马上搜索

文档翻译

学术文献翻译模型,支持多种主流文档格式。

立即体验