Suppr超能文献

卵巢癌患者来源的异种移植瘤可重现其原发肿瘤并保留寡克隆结构。

Ovarian carcinoma patient derived xenografts reproduce their tumor of origin and preserve an oligoclonal structure.

作者信息

Colombo Pierre-Emmanuel, du Manoir Stanislas, Orsett Béatrice, Bras-Gonçalves Rui, Lambros Mario B, MacKay Alan, Nguyen Tien-Tuan, Boissière Florence, Pourquier Didier, Bibeau Frédéric, Reis-Filho Jorge S, Theillet Charles

机构信息

Department of Surgical Oncology, Institut de Cancérologie de Montpellier, Montpellier, France.

Institut de Recherche en Cancérologie de Montpellier, Université Montpellier, Montpellier, France.

出版信息

Oncotarget. 2015 Sep 29;6(29):28327-40. doi: 10.18632/oncotarget.5069.

Abstract

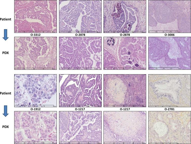
Advanced Epithelial Ovarian Cancer (EOC) patients frequently relapse by 24 months and develop resistant disease. Research on EOC therapies relies on cancer cell lines established decades ago making Patient Derived Xenografts (PDX) attractive models, because they are faithful representations of the original tumor. We established 35 ovarian cancer PDXs resulting from the original graft of 77 EOC samples onto immuno-compromised mice. PDXs covered the diversity of EOC histotypes and graft take was correlated with early patient death. Fourteen PDXs were characterized at the genetic and histological levels. PDXs reproduced phenotypic features of the ovarian tumors of origin and conserved the principal characteristics of the original copy number change (CNC) profiles over several passages. However, CNC fluctuations in specific subregions comparing the original tumor and the PDXs indicated the oligoclonal nature of the original tumors. Detailed analysis by CGH, FISH and exome sequencing of one case, for which several tumor nodules were sampled and grafted, revealed that PDXs globally maintained an oligoclonal structure. No overgrowth of a particular subclone present in the original tumor was observed in the PDXs. This suggested that xenotransplantation of ovarian tumors and growth as PDX preserved at least in part the clonal diversity of the original tumor. We believe our data reinforce the potential of PDX as exquisite tools in pre-clinical assays.

摘要

晚期上皮性卵巢癌(EOC)患者常在24个月内复发并发展为耐药性疾病。EOC治疗的研究依赖于数十年前建立的癌细胞系,这使得患者来源的异种移植物(PDX)成为有吸引力的模型,因为它们能真实反映原始肿瘤。我们将77个EOC样本首次移植到免疫缺陷小鼠体内,建立了35个卵巢癌PDX。PDX涵盖了EOC组织学类型的多样性,且移植物的成功植入与患者早期死亡相关。对14个PDX进行了基因和组织学水平的特征分析。PDX重现了原发卵巢肿瘤的表型特征,并在多次传代过程中保留了原始拷贝数变化(CNC)图谱的主要特征。然而,比较原始肿瘤和PDX在特定亚区域的CNC波动表明原始肿瘤具有寡克隆性质。对一个病例进行了多个肿瘤结节取样和移植,并通过比较基因组杂交(CGH)、荧光原位杂交(FISH)和外显子组测序进行详细分析,结果显示PDX总体上保持了寡克隆结构。在PDX中未观察到原始肿瘤中存在的特定亚克隆过度生长。这表明卵巢肿瘤异种移植及作为PDX生长至少部分保留了原始肿瘤的克隆多样性。我们认为我们的数据增强了PDX作为临床前试验中精确工具的潜力。

https://cdn.ncbi.nlm.nih.gov/pmc/blobs/2c2d/4695063/f7d0b943e88f/oncotarget-06-28327-g001.jpg

文献AI研究员

20分钟写一篇综述,助力文献阅读效率提升50倍。

立即体验

用中文搜PubMed

大模型驱动的PubMed中文搜索引擎

马上搜索

文档翻译

学术文献翻译模型,支持多种主流文档格式。

立即体验