Suppr超能文献

聚肌胞佐剂灭活滴眼流感疫苗诱导保护性全身和黏膜免疫安全有效。

Inactivated Eyedrop Influenza Vaccine Adjuvanted with Poly(I:C) Is Safe and Effective for Inducing Protective Systemic and Mucosal Immunity.

作者信息

Kim Eun-Do, Han Soo Jung, Byun Young-Ho, Yoon Sang Chul, Choi Kyoung Sub, Seong Baik Lin, Seo Kyoung Yul

机构信息

Department of Ophthalmology, Eye and Ear Hospital, Severance Hospital, Institute of Vision Research, Yonsei University College of Medicine, Seoul, Republic of Korea; Brain Korea 21 Project for Medical Science, Yonsei University, Seoul, Republic of Korea.

Department of Ophthalmology, Eye and Ear Hospital, Severance Hospital, Institute of Vision Research, Yonsei University College of Medicine, Seoul, Republic of Korea.

出版信息

PLoS One. 2015 Sep 10;10(9):e0137608. doi: 10.1371/journal.pone.0137608. eCollection 2015.

Abstract

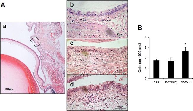
The eye route has been evaluated as an efficient vaccine delivery routes. However, in order to induce sufficient antibody production with inactivated vaccine, testing of the safety and efficacy of the use of inactivated antigen plus adjuvant is needed. Here, we assessed various types of adjuvants in eyedrop as an anti-influenza serum and mucosal Ab production-enhancer in BALB/c mice. Among the adjuvants, poly (I:C) showed as much enhancement in antigen-specific serum IgG and mucosal IgA antibody production as cholera toxin (CT) after vaccinations with trivalent hemagglutinin-subunits or split H1N1 vaccine antigen in mice. Vaccination with split H1N1 eyedrop vaccine antigen plus poly(I:C) showed a similar or slightly lower efficacy in inducing antibody production than intranasal vaccination; the eyedrop vaccine-induced immunity was enough to protect mice from lethal homologous influenza A/California/04/09 (H1N1) virus challenge. Additionally, ocular inoculation with poly(I:C) plus vaccine antigen generated no signs of inflammation within 24 hours: no increases in the mRNA expression levels of inflammatory cytokines nor in the infiltration of mononuclear cells to administration sites. In contrast, CT administration induced increased expression of IL-6 cytokine mRNA and mononuclear cell infiltration in the conjunctiva within 24 hours of vaccination. Moreover, inoculated visualizing materials by eyedrop did not contaminate the surface of the olfactory bulb in mice; meanwhile, intranasally administered materials defiled the surface of the brain. On the basis of these findings, we propose that the use of eyedrop inactivated influenza vaccine plus poly(I:C) is a safe and effective mucosal vaccine strategy for inducing protective anti-influenza immunity.

摘要

眼部途径已被评估为一种有效的疫苗递送途径。然而,为了用灭活疫苗诱导足够的抗体产生,需要测试使用灭活抗原加佐剂的安全性和有效性。在此,我们评估了滴眼剂中各种类型的佐剂作为抗流感血清和BALB/c小鼠黏膜抗体产生增强剂的效果。在这些佐剂中,在用三价血凝素亚基或裂解H1N1疫苗抗原对小鼠进行疫苗接种后,聚肌苷酸胞嘧啶(poly (I:C))在抗原特异性血清IgG和黏膜IgA抗体产生方面的增强作用与霍乱毒素(CT)相当。用裂解H1N1滴眼剂疫苗抗原加poly(I:C)进行疫苗接种在诱导抗体产生方面的效果与鼻内接种相似或略低;滴眼剂疫苗诱导的免疫力足以保护小鼠免受致死性同源甲型流感病毒A/加利福尼亚/04/09(H1N1)攻击。此外,用poly(I:C)加疫苗抗原进行眼部接种在24小时内未产生炎症迹象:炎症细胞因子的mRNA表达水平未增加,单核细胞也未浸润到给药部位。相比之下,接种CT在接种后24小时内可诱导结膜中IL-6细胞因子mRNA表达增加和单核细胞浸润。此外,通过滴眼剂接种的可视化材料未污染小鼠嗅球表面;同时,经鼻给药的材料污染了脑表面。基于这些发现,我们提出使用滴眼剂灭活流感疫苗加poly(I:C)是一种安全有效的黏膜疫苗策略,可诱导保护性抗流感免疫力。

https://cdn.ncbi.nlm.nih.gov/pmc/blobs/f4d5/4565664/a4210ea65c31/pone.0137608.g001.jpg

文献AI研究员

20分钟写一篇综述,助力文献阅读效率提升50倍。

立即体验

用中文搜PubMed

大模型驱动的PubMed中文搜索引擎

马上搜索

文档翻译

学术文献翻译模型,支持多种主流文档格式。

立即体验