Suppr超能文献

通过聚合酶链反应-核酸侧向流动免疫测定法快速分子检测耐多药结核病

Rapid Molecular Detection of Multidrug-Resistant Tuberculosis by PCR-Nucleic Acid Lateral Flow Immunoassay.

作者信息

Kamphee Hatairat, Chaiprasert Angkana, Prammananan Therdsak, Wiriyachaiporn Natpapas, Kanchanatavee Airin, Dharakul Tararaj

机构信息

Department of Immunology, Faculty of Medicine Siriraj Hospital, Mahidol University, Bangkok, Thailand.

Department of Microbiology, Faculty of Medicine Siriraj Hospital, Mahidol University, Bangkok, Thailand.

出版信息

PLoS One. 2015 Sep 10;10(9):e0137791. doi: 10.1371/journal.pone.0137791. eCollection 2015.

Abstract

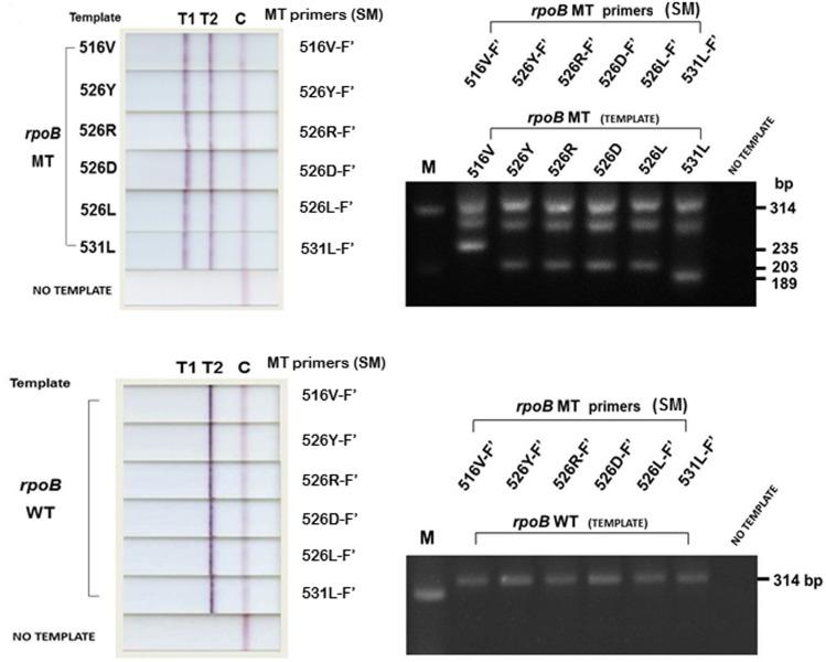
Several existing molecular tests for multidrug-resistant tuberculosis (MDR-TB) are limited by complexity and cost, hindering their widespread application. The objective of this proof of concept study was to develop a simple Nucleic Acid Lateral Flow (NALF) immunoassay as a potential diagnostic alternative, to complement conventional PCR, for the rapid molecular detection of MDR-TB. The NALF device was designed using antibodies for the indirect detection of labeled PCR amplification products. Multiplex PCR was optimized to permit the simultaneous detection of the drug resistant determining mutations in the 81-bp hot spot region of the rpoB gene (rifampicin resistance), while semi-nested PCR was optimized for the S315T mutation detection in the katG gene (isoniazid resistance). The amplification process additionally targeted a conserved region of the genes as Mycobacterium tuberculosis (Mtb) DNA control. The optimized conditions were validated with the H37Rv wild-type (WT) Mtb isolate and Mtb isolates with known mutations (MT) within the rpoB and katG genes. Results indicate the correct identification of WT (drug susceptible) and MT (drug resistant) Mtb isolates, with the least limit of detection (LOD) being 104 genomic copies per PCR reaction. NALF is a simple, rapid and low-cost device suitable for low resource settings where conventional PCR is already employed on a regular basis. Moreover, the use of antibody-based NALF to target primer-labels, without the requirement for DNA hybridization, renders the device generic, which could easily be adapted for the molecular diagnosis of other infectious and non-infectious diseases requiring nucleic acid detection.

摘要

几种现有的耐多药结核病(MDR-TB)分子检测方法受到复杂性和成本的限制,阻碍了它们的广泛应用。本概念验证研究的目的是开发一种简单的核酸侧向流动(NALF)免疫测定法,作为一种潜在的诊断替代方法,以补充传统PCR,用于快速分子检测MDR-TB。NALF装置是利用抗体设计的,用于间接检测标记的PCR扩增产物。对多重PCR进行了优化,以同时检测rpoB基因81bp热点区域(利福平耐药)中的耐药决定突变,而半巢式PCR则针对katG基因中的S315T突变检测进行了优化。扩增过程还靶向结核分枝杆菌(Mtb)DNA控制的基因保守区域。用H37Rv野生型(WT)Mtb菌株和rpoB和katG基因内具有已知突变(MT)的Mtb菌株验证了优化条件。结果表明,WT(药物敏感)和MT(耐药)Mtb菌株得到了正确鉴定,每个PCR反应的最低检测限(LOD)为104个基因组拷贝。NALF是一种简单、快速且低成本的装置,适用于经常使用传统PCR的资源匮乏地区。此外,使用基于抗体的NALF靶向引物标签,无需DNA杂交,使该装置具有通用性,可轻松适用于其他需要核酸检测的感染性和非感染性疾病的分子诊断。

https://cdn.ncbi.nlm.nih.gov/pmc/blobs/1d43/4565584/00f97cd6b859/pone.0137791.g001.jpg

文献AI研究员

20分钟写一篇综述,助力文献阅读效率提升50倍。

立即体验

用中文搜PubMed

大模型驱动的PubMed中文搜索引擎

马上搜索

文档翻译

学术文献翻译模型,支持多种主流文档格式。

立即体验